XB-ART-10367
J Cell Biol
2000 Sep 04;1505:1177-88.
Show Gene links
Show Anatomy links
Requirement for matrix metalloproteinase stromelysin-3 in cell migration and apoptosis during tissue remodeling in Xenopus laevis.
???displayArticle.abstract???
The matrix metalloproteinase (MMP) stromelysin-3 (ST3) was originally discovered as a gene whose expression was associated with human breast cancer carcinomas and with apoptosis during organogenesis and tissue remodeling. It has been shown previously, in our studies as well as those by others, that ST3 mRNA is highly upregulated during apoptotic tissue remodeling during Xenopus laevis metamorphosis. Using a function-blocking antibody against the catalytic domain of Xenopus ST3, we demonstrate here that ST3 protein is specifically expressed in the cells adjacent to the remodeling extracellular matrix (ECM) that lies beneath the apoptotic larval intestinal epithelium in X. laevis in vivo, and during thyroid hormone-induced intestinal remodeling in organ cultures. More importantly, addition of this antibody, but not the preimmune antiserum or unrelated antibodies, to the medium of intestinal organ cultures leads to an inhibition of thyroid hormone-induced ECM remodeling, apoptosis of the larval epithelium, and the invasion of the adult intestinal primodia into the connective tissue, a process critical for adult epithelial morphogenesis. On the other hand, the antibody has little effect on adult epithelial cell proliferation. Furthermore, a known MMP inhibitor can also inhibit epithelial transformation in vitro. These results indicate that ST3 is required for cell fate determination and cell migration during morphogenesis, most likely through ECM remodeling.
???displayArticle.pubmedLink??? 10974004
???displayArticle.pmcLink??? PMC2175259
Species referenced: Xenopus laevis
Genes referenced: mmp11 prss1 tbx2
???attribute.lit??? ???displayArticles.show???
|
|
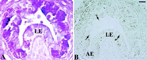
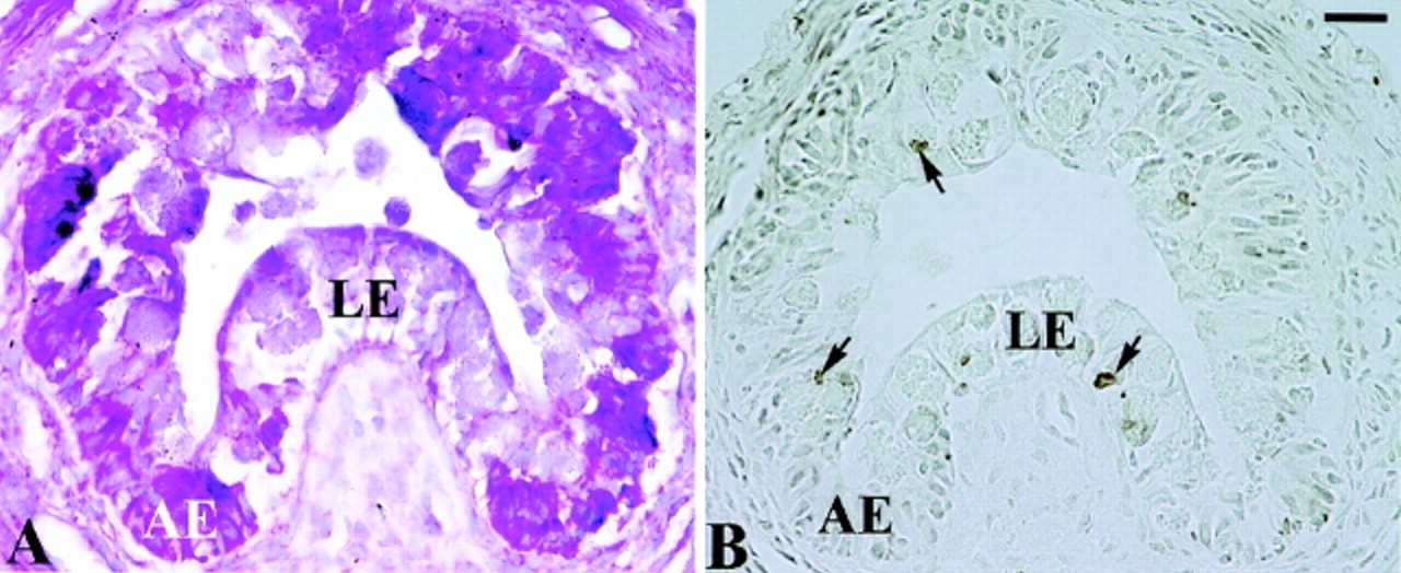
Figure 1. Larval epithelium (LE), but not adult epithelium (AE), undergoes apoptosis during intestinal metamorphosis (stage 61). (A) Methyl greenâpyronin Y staining. AE primordia were strongly stained. (B) TUNEL labeling detected apoptosis only in the larval epithelium (arrows). Bar, 20 μm. |
|
|
Figure 2. ST3 is expressed only during the period of metamorphic transformation in the tadpole intestine. (AâC) A pAb specifically recognizes the catalytic domain of ST3. The full-length ST3, the catalytic domain at the amino half (ST3-N), or the carboxyl half of ST3 (ST3-C) was made through coupled transcriptionâtranslation in vitro in the presence of [35S]methionine (35S-Met) and the reaction mixtures were electrophoresed on an SDS-protein gel (â lanes had no added cDNA clone during in vitro translation). Multiple identical gels were either dried and autoradiographed directly (A) or subjected to Western blot analysis with a pAb against the catalytic domain of ST3 (C) or the corresponding preimmune serum (B). Note that both the full-length (arrow) and the catalytic domain (ST3-N) (white arrowhead) were recognized by the antibody whereas the carboxyl half (ST3-C) (black arrowhead) was not. The preimmune serum did not recognize any of the ST3 polypeptide although an unknown protein from the in vitro translation extract was recognized. (D) Western blot analysis of the ST3 levels in the intestine during metamorphosis. 10 μg/lane of protein isolated from the small intestine of X. laevis tadpoles at the indicated stages was subjected to Western blot analysis with the antibody against the catalytic domain of ST3. Stage 58, stages 59â62, and stages 63â66 (end of metamorphosis) correspond to the onset of metamorphic climax, the period of larval epithelial cell death and adult epithelial cell proliferation, and the period of adult epithelial cell differentiation and epithelial morphogenesis, respectively. |
|
|
Figure 3. Immunohistochemical analysis reveals a correlation of ST3 expression with ECM remodeling in the X. laevis small intestine during metamorphosis. (A) No ST3 could be detected at stage 58, when the larval epithelium (indicated by E) degeneration has yet to take place. CT, connective tissue. (B) ST3 protein could be detected in fibroblasts (arrow) by stage 60. M, muscle. (C) Fibroblasts/fibroblast-like cells expressing ST3 (arrowheads) were present adjacent to the metamorphosing epithelium at stage 61. Ty, typhlosole. (D and E) ST3-expressing fibroblasts (arrows) near the degenerating larval epithelium (LE) and the adult epithelial primordia (AE) at stage 61. Note that the labeling in the larval epithelium was due to nonspecific binding by the fragments of dying cells. The adult epithelium was protruding into the connective tissue. (F) Relatively few cells with weak ST3 levels (arrow) could be detected in the crest of intestinal folds (Fo) at stage 63. (G) No ST3 expression could be detected at stage 65. (H) Electron micrograph of the epithelialâconnective tissue interface at stage 58 showing a thin but continuous basal lamina (BL). (I) Electron micrograph of the epithelialâconnective tissue interface showing a multiply folded basal lamina at stage 61. Bars: (AâG) 20 μm; (H and I) 0.5 μm. |
|
|
Figure 4. ST3 expression correlates with ECM remodeling during TH-induced metamorphosis in vitro. Fragments of the small intestine from stage 58 tadpoles were cultured in vitro in the presence (AâD) or absence (E) of a physiological concentration (10 nM, 3,3â²,5-triiodothyronine) of TH. ST3 expression and epithelialâconnective tissue interfaces were analyzed as in the legend to Fig. 2. (A) No ST3 expression was detected in the connective tissue (CT) during the first day of TH treatment. (B) ST3-expressing cells (arrows) in the connective tissue after 3 d of TH treatment. The degenerating epithelium (indicated by E) possessed many lysosome-like granules (Ly). (C) Weak staining (arrow) remained in the connective tissue after 5 d of treatment with TH. (D) No signal was detected with the preimmune serum after 3 d of TH treatment. (E) Absence of ST3 expression in the explant cultured in the absence of TH for 3 d where epithelial cells retained their simple columnar structure. (FâH) Electron micrographs of the epithelialâconnective tissue interface of intestinal explants cultured for 3 d in the presence (F and H) or absence (G) of TH and in the presence (H) and absence (F and G) of 1% anti-ST3 antiserum. Note that in the presence of TH (F), the basal lamina (BL) was multiply folded. However, it remained mostly thin when the anti-ST3 antiserum was added to the TH-containing medium (H). Bars: (AâE) 20 μm; (FâH) 0.5 μm. |
|
|
Figure 6 (A) α2M capture assay shows that the anti-ST3 antibody blocks ST3 function. Anti-ST3 antibody inhibited the formation of ST3âα2M complex. In vitroâsynthesized, 35S-labeled ST3 catalytic domain was incubated with α2M (1 μg in 10 μl reaction) in the absence (lanes 1 and 2) or presence of anti-ST3 antiserum (lanes 3â6) or preimmune serum (lanes 7â10). The resulting mixture was electrophoresed on a native polyacrylamide gel. The gel was stained with Coomassie blue (bottom) and then dried and autoradiographed (top). The serum concentrations were 0.5% for lanes 3 and 7, 1% for lanes 4 and 8, and 2% for lanes 5, 6, 9, and 10. Lane 11 had 3.7 μg α2M to facilitate its identification by Coomassie blue staining. The arrowhead and arrow indicate the position of α2M and α2MâST3 complex, respectively. (α2M and α2MâST3 complex migrated at the same position. This is because α2M is 725 kD whereas ST3 catalytic domain is only â¼20 kD. The small size difference between α2M and α2MâST3 complex could not be resolved on this gel.) The faster migrating band in lanes 3â6 is the antibodyâST3 complex. The band migrating above the α2MâST3 complex is likely due to the nonspecific binding of ST3 by a protein in the in vitro translation extract, as it was also present in the absence of any α2M (lane 1) and a protein at this position was also detectable by Coomassie blue staining in all lanes, except lane 11, which had only α2M. Unlike α2MâST3, this band was not inhibited by the antibody. Its apparent increase in lanes 3â6 was due to the increased background smear caused by the anti-ST3 antibody. (B) Anti-ST3 antibody prevents cleavage of α1-antitrypsin by ST3. Purified ST3 catalytic domain was incubated with α1-antitrypsin in vitro in the presence of increasing concentrations (1, 2.5, 5, and 10%) of anti-ST3 or preimmune serum. The full-length and large fragment of α1-antitrypsin generated by ST3 cleavage were detected by Western blot analysis of the reaction product. Note that as little as 1% of the antiserum inhibited all of the cleavage of α1-trypsin by ST3 (lane 3) and most of the binding of ST3 to α2M (A, lane 4). The arrow and arrowhead indicate the position of the ST3-generated large fragment and full-length α1-antitrypsin, respectively. |
|
|
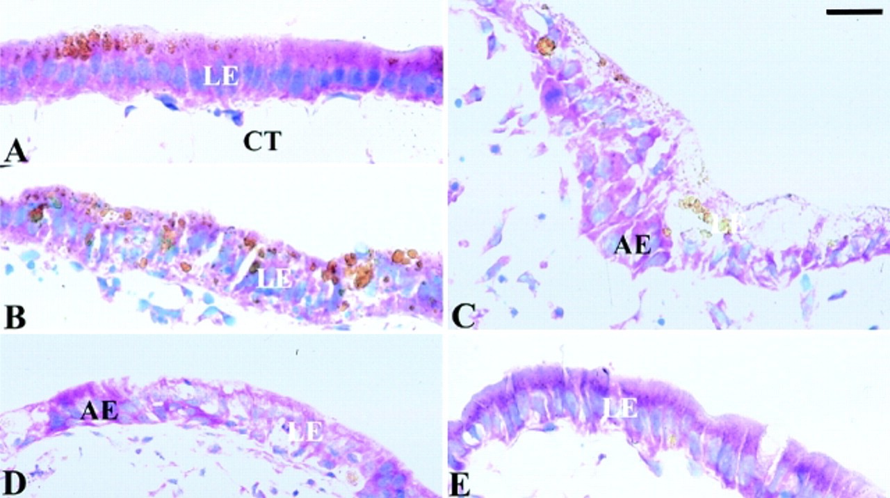
Figure 8. Anti-ST3 antibody inhibits adult epithelial primordia invasion into the connective tissue. Intestinal explants were cultured for 2â5 d in the presence (AâD) or absence (E) of TH and in the presence (D and E) or absence (AâC) of 1% anti-ST3 antiserum. A, 2 d; B, 3 d; CâE, 5 d. The larval epithelium (LE) remains stained red after 2 d (A) but its staining decreased as it underwent apoptosis after 3 d (B) in the presence of TH. The adult epithelial primordia (AE) stained red that were not detectable within the first 3â4 d, developed just beneath the degenerating larval epithelium after 5 d (C) and grew into the connective tissue (CT) in the presence of TH alone. In the presence of both TH and anti-ST3 antiserum (D), the primordia (AE) developed as well. However, they did not protrude into the connective tissue. Note that although the antiserum inhibited apoptosis as assayed after 3 d of treatment (see Fig. 7), it did not completely block the process but simply delayed it, similar to the observation that homologous deletion of gelatinase B resulted in a delay in terminal hypertrophic chondrocyte apoptosis during mouse development (Vu et al. 1998). Thus, after longer treatment, e.g., 5 d, larval epithelium was induced by TH to degenerate, as also reflected by the reduced staining in D. In the absence of TH (E), the larval epithelium remained unchanged. Preimmune serum had no effect on the adult epithelial primordia development (not shown). Bars, 20 μm. |
|
|
|
|
|
|
|
|
Figure 6. (A) α2M capture assay shows that the anti-ST3 antibody blocks ST3 function. Anti-ST3 antibody inhibited the formation of ST3–α2M complex. In vitro–synthesized, 35S-labeled ST3 catalytic domain was incubated with α2M (1 μg in 10 μl reaction) in the absence (lanes 1 and 2) or presence of anti-ST3 antiserum (lanes 3–6) or preimmune serum (lanes 7–10). The resulting mixture was electrophoresed on a native polyacrylamide gel. The gel was stained with Coomassie blue (bottom) and then dried and autoradiographed (top). The serum concentrations were 0.5% for lanes 3 and 7, 1% for lanes 4 and 8, and 2% for lanes 5, 6, 9, and 10. Lane 11 had 3.7 μg α2M to facilitate its identification by Coomassie blue staining. The arrowhead and arrow indicate the position of α2M and α2M–ST3 complex, respectively. (α2M and α2M–ST3 complex migrated at the same position. This is because α2M is 725 kD whereas ST3 catalytic domain is only ∼20 kD. The small size difference between α2M and α2M–ST3 complex could not be resolved on this gel.) The faster migrating band in lanes 3–6 is the antibody–ST3 complex. The band migrating above the α2M–ST3 complex is likely due to the nonspecific binding of ST3 by a protein in the in vitro translation extract, as it was also present in the absence of any α2M (lane 1) and a protein at this position was also detectable by Coomassie blue staining in all lanes, except lane 11, which had only α2M. Unlike α2M–ST3, this band was not inhibited by the antibody. Its apparent increase in lanes 3–6 was due to the increased background smear caused by the anti-ST3 antibody. (B) Anti-ST3 antibody prevents cleavage of α1-antitrypsin by ST3. Purified ST3 catalytic domain was incubated with α1-antitrypsin in vitro in the presence of increasing concentrations (1, 2.5, 5, and 10%) of anti-ST3 or preimmune serum. The full-length and large fragment of α1-antitrypsin generated by ST3 cleavage were detected by Western blot analysis of the reaction product. Note that as little as 1% of the antiserum inhibited all of the cleavage of α1-trypsin by ST3 (lane 3) and most of the binding of ST3 to α2M (A, lane 4). The arrow and arrowhead indicate the position of the ST3-generated large fragment and full-length α1-antitrypsin, respectively. |
|
|
|
|
|
References [+] :
Basset,
A novel metalloproteinase gene specifically expressed in stromal cells of breast carcinomas.
, Pubmed
Basset, A novel metalloproteinase gene specifically expressed in stromal cells of breast carcinomas. , Pubmed
Berry, The expression pattern of thyroid hormone response genes in remodeling tadpole tissues defines distinct growth and resorption gene expression programs. 1998, Pubmed , Xenbase
Berry, The expression pattern of thyroid hormone response genes in the tadpole tail identifies multiple resorption programs. 1998, Pubmed , Xenbase
Birkedal-Hansen, Matrix metalloproteinases: a review. 1993, Pubmed
Boudreau, Suppression of ICE and apoptosis in mammary epithelial cells by extracellular matrix. 1995, Pubmed
Brown, The thyroid hormone-induced tail resorption program during Xenopus laevis metamorphosis. 1996, Pubmed , Xenbase
Damjanovski, Spatial and temporal regulation of collagenases-3, -4, and stromelysin -3 implicates distinct functions in apoptosis and tissue remodeling during frog metamorphosis. 1999, Pubmed , Xenbase
Frisch, Integrins and anoikis. 1997, Pubmed
Gavrieli, Identification of programmed cell death in situ via specific labeling of nuclear DNA fragmentation. 1992, Pubmed
Giannelli, Induction of cell migration by matrix metalloprotease-2 cleavage of laminin-5. 1997, Pubmed
GROSS, Collagenolytic activity in amphibian tissues: a tissue culture assay. 1962, Pubmed
Holmbeck, MT1-MMP-deficient mice develop dwarfism, osteopenia, arthritis, and connective tissue disease due to inadequate collagen turnover. 1999, Pubmed
Houenou, A serine protease inhibitor, protease nexin I, rescues motoneurons from naturally occurring and axotomy-induced cell death. 1995, Pubmed
Ishizuya-Oka, Anteroposterior gradient of epithelial transformation during amphibian intestinal remodeling: immunohistochemical detection of intestinal fatty acid-binding protein. 1997, Pubmed , Xenbase
Ishizuya-Oka, Inductive action of epithelium on differentiation of intestinal connective tissue of Xenopus laevis tadpoles during metamorphosis in vitro. 1994, Pubmed , Xenbase
Ishizuya-Oka, Development of the connective tissue in the digestive tract of the larval and metamorphosing Xenopus laevis. 1987, Pubmed , Xenbase
Ishizuya-Oka, Apoptosis and cell proliferation in the Xenopus small intestine during metamorphosis. 1996, Pubmed , Xenbase
Ishizuya-Oka, Induction of metamorphosis by thyroid hormone in anuran small intestine cultured organotypically in vitro. 1991, Pubmed , Xenbase
Ishizuya-Oka, Transient expression of stromelysin-3 mRNA in the amphibian small intestine during metamorphosis. 1996, Pubmed , Xenbase
Ishizuya-Oka, Programmed cell death and heterolysis of larval epithelial cells by macrophage-like cells in the anuran small intestine in vivo and in vitro. 1992, Pubmed , Xenbase
Ishizuya-Oka, Connective tissue is involved in adult epithelial development of the small intestine during anuran metamorphosis in vitro. 1992, Pubmed
Jacobson, Programmed cell death in animal development. 1997, Pubmed
Kleiner, Structural biochemistry and activation of matrix metalloproteases. 1993, Pubmed
Lefebvre, Developmental expression of mouse stromelysin-3 mRNA. 1995, Pubmed
Lefebvre, The breast cancer-associated stromelysin-3 gene is expressed during mouse mammary gland apoptosis. 1992, Pubmed
Masson, In vivo evidence that the stromelysin-3 metalloproteinase contributes in a paracrine manner to epithelial cell malignancy. 1998, Pubmed
Matrisian, The matrix-degrading metalloproteinases. 1992, Pubmed
Muller, Increased stromelysin 3 gene expression is associated with increased local invasiveness in head and neck squamous cell carcinomas. 1993, Pubmed
Murphy, Regulation of matrix metalloproteinase activity. 1994, Pubmed
Nagase, Cell surface activation of progelatinase A (proMMP-2) and cell migration. 1998, Pubmed
Nagase, Activation mechanisms of the precursors of matrix metalloproteinases 1, 2 and 3. 1992, Pubmed
Niki, An epidermal factor which induces thyroid hormone-dependent regression of mesenchymal tissues of the tadpole tail. 1986, Pubmed
Niki, Epidermal tissue requirement for tadpole tail regression induced by thyroid hormone. 1982, Pubmed
Nöel, Stromelysin-3 expression promotes tumor take in nude mice. 1996, Pubmed
Odake, Inhibition of matrix metalloproteinases by peptidyl hydroxamic acids. 1994, Pubmed
Patterton, Transcriptional activation of the matrix metalloproteinase gene stromelysin-3 coincides with thyroid hormone-induced cell death during frog metamorphosis. 1995, Pubmed , Xenbase
Pei, Furin-dependent intracellular activation of the human stromelysin-3 zymogen. 1995, Pubmed
Pei, Hydrolytic inactivation of a breast carcinoma cell-derived serpin by human stromelysin-3. 1994, Pubmed
Reddy, Oxidative dissociation of human alpha 2-macroglobulin tetramers into dysfunctional dimers. 1994, Pubmed
Ruoslahti, Anchorage dependence, integrins, and apoptosis. 1994, Pubmed
Sang, Computational sequence analysis of matrix metalloproteinases. 1996, Pubmed
Shi, Biphasic intestinal development in amphibians: embryogenesis and remodeling during metamorphosis. 1996, Pubmed , Xenbase
Shi, Regulation of apoptosis during development: input from the extracellular matrix (review). 1998, Pubmed , Xenbase
Stetler-Stevenson, Tumor cell interactions with the extracellular matrix during invasion and metastasis. 1993, Pubmed
Stolow, Identification and characterization of a novel collagenase in Xenopus laevis: possible roles during frog development. 1996, Pubmed , Xenbase
Su, Thyroid hormone induces apoptosis in primary cell cultures of tadpole intestine: cell type specificity and effects of extracellular matrix. 1997, Pubmed , Xenbase
Sympson, Targeted expression of stromelysin-1 in mammary gland provides evidence for a role of proteinases in branching morphogenesis and the requirement for an intact basement membrane for tissue-specific gene expression. 1994, Pubmed
Timpl, Supramolecular assembly of basement membranes. 1996, Pubmed
Tryggvason, Proteolytic degradation of extracellular matrix in tumor invasion. 1987, Pubmed
Turgeon, The role of thrombin-like (serine) proteases in the development, plasticity and pathology of the nervous system. 1997, Pubmed
Turgeon, Thrombin perturbs neurite outgrowth and induces apoptotic cell death in enriched chick spinal motoneuron cultures through caspase activation. 1998, Pubmed
Uria, Matrix metalloproteinases and their expression in mammary gland. 1998, Pubmed
Van Wart, The cysteine switch: a principle of regulation of metalloproteinase activity with potential applicability to the entire matrix metalloproteinase gene family. 1990, Pubmed
Vu, MMP-9/gelatinase B is a key regulator of growth plate angiogenesis and apoptosis of hypertrophic chondrocytes. 1998, Pubmed
Vukicevic, Identification of multiple active growth factors in basement membrane Matrigel suggests caution in interpretation of cellular activity related to extracellular matrix components. 1992, Pubmed
Wang, Thyroid hormone-induced gene expression program for amphibian tail resorption. 1993, Pubmed , Xenbase
Werb, Extracellular matrix remodeling and the regulation of epithelial-stromal interactions during differentiation and involution. 1996, Pubmed
Werb, Extracellular matrix remodeling during morphogenesis. 1998, Pubmed
Witty, Matrix metalloproteinases are expressed during ductal and alveolar mammary morphogenesis, and misregulation of stromelysin-1 in transgenic mice induces unscheduled alveolar development. 1995, Pubmed
Witty, Decreased tumor formation in 7,12-dimethylbenzanthracene-treated stromelysin-1 transgenic mice is associated with alterations in mammary epithelial cell apoptosis. 1995, Pubmed
Woessner, Matrix metalloproteinases and their inhibitors in connective tissue remodeling. 1991, Pubmed
Yoshizato, Stimulation of glucose utilization and lactate production in cultured human fibroblasts by thyroid hormone. 1980, Pubmed
Yoshizato, Biochemistry and cell biology of amphibian metamorphosis with a special emphasis on the mechanism of removal of larval organs. 1989, Pubmed
