|
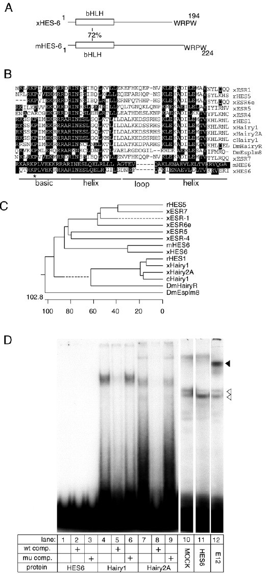
Fig. 1. Xenopus and mouse Hes6 define a new family of
WRPW-bHLH proteins. (A) Mouse (m) and Xenopus
(x) cDNAs encode related WRPW-bHLH proteins with
72% sequence identity in the bHLH domains and 52%
overall. (B) Alignment of the basic helix-loop-helix
regions of the WRPW-bHLH proteins shown in C.
Residues identical to those in mouse Hes6 are boxed.
Note the overall higher level of sequence similarity
between mouse and Xenopus Hes6 relative to the other
WRPW-bHLH proteins, and the shorter loop domain.
(C) Sequence similarity tree showing the relationship of
Xenopus and mouse Hes6 to other WRPW-bHLH
proteins identified in Xenopus (xEsr1, 4, 5, 6e and 7,
Xhairy1 and Xhairy2a), rat (r) (Hes1 and Hes5), chick
(cHairy1) and Drosophila (Dm) hairy, and Esplm8).
Note that mouse and Xenopus Hes6 define a new
subfamily. (D) Lanes 1-9, Hes6, Xhairy1 and Xhairy2A
were expressed in bacteria as GST fusion proteins and
purified by affinity chromatography on glutathioneagarose
beads. 150 ng of each protein was mixed with a
32P labeled oligonucleotide containing an N-boxbinding
site (Van Doren et al., 1994). For competition,
each reaction included a 20-fold excess of unlabeled
oligonucleotide, either wild type (wt) or mutant (mu)
(see Materials and Methods). Up to 2 mg of Hes6 tested
in this assay failed to give detectable binding. Lanes 10-
12; in vitro translated Hes6 (lane 11) and E12 (lane12)
proteins were mixed with an E-box probe. Closed arrow
denotes specific binding by the E12 protein. Open
arrows indicate nonspecific shift, which is also observed
in mock translated extract (lane 10). |
|
Fig. 2. Expression of Mouse and Xenopus
Hes6 during embryogenesis. (A-F) Hes6 RNA
expression in Mouse embryos. (A) Expression
is first seen at E8.75 in the midbrain
(A, arrowhead) and primordia of sensory
cranial ganglia (arrows). (B) Expression in
DRG is noted at E9.25 (arrow). (C) By E9.5,
Hes6 is expressed in the hindbrain and neural
tube (arrowheads), and expression in DRG is
clearly established (arrow). (D) By E10.5,
extensive expression of Hes6 occurs in the
DRG indicated by arrow and somite by
arrowhead. (E) Expression of Hes6 in the
intermediate zone in the neural tube
(arrowhead; arrow points to DRG) and (F) in
subregions of hindbrain (arrow points to Hes6-
expressing cells and arrowhead indicates
ventricular side) is shown in E10.5 embryo
sectioned following whole-mount in situ
hybridization. (G-J) In situ hybridization of
adjacent sections at the hindlimb level of a
E10.5 mouse embryo. Expression of NeuroD
(H, arrowhead) and Hes6 (I, arrowhead)
overlaps with that of Ngn1 (G) but is highest in
the region adjacent to marginal zone where
terminally differentiated neurons are marked
by SCG10 (J, arrowhead). (K-M) Mouse
embryos at 28-somite stage were probed with
Hes6 (K), NeuroD (L), and Scg10 (M). The
12th DRG for each of the embryo is indicated
by the arrows. Note that expression of Hes6
and NeuroD precedes that of Scg10 by three to
four somites. Note also expression of Hes6 in
the somites at this stage (K; arrowhead).
(N-P) Hes6 RNA expression was localized in
Xenopus embryos by whole-mount in situ
hybridization. (N) Expression of Hes6 in the
nervous system is first detected at open neural plate stages in scattered cells within the three domains where primary neurons form, including a
medial domain (m) corresponding to motoneurons, and a lateral domain (l) corresponding to sensory neurons. (O) By late neurulae stages, higher
levels of Hes6 expression are detected during secondary neurogenesis in the brain (arrow) and eye (arrowhead). Note also the expression of Hes6 in
the tailbud domain (TBD). (P) Tissue section of late neurulae embryo at the level of the hindbrain (otic vesicle: OV) shows extensive Hes6
expression within the intermediate zone of the neural tube along the entire dorsal ventral axis but excluded from the floor plate (fp) and roof plate. |
|
Fig. 3. Regulation of Hes6 expression in Xenopus and mouse
embryos (A-D) Xenopus embryos were injected with RNA
encoding ICD (A,B), Xngn1 (C) or Xash3 (D), at the two-cell
stage along with lacZ RNA as a tracer. At neural plate stages the
embryos were fixed, stained for X-gal, which produces a lightblue
reaction product, and for the expression of Hes6 (A,C,D) or
Esr7 (B) by whole-mount in situ hybridization, which produces a
dark blue-purple staining pattern. Shown are dorsal views with
the injected side oriented up, and anterior to the left. Note that
both Xngn1 (39/41embryos) and Xash3 (50/51 embryos) induce
the expression of Hes6, and that ICD induces the expression of
Esr7 but not that of Hes6. (E-J) Requirement of Ngn1 for Hes6
expression in proximal cranial ganglia. (E) Ngn1+/-;Hes6tlacz/tlacZ
embryo at E10 shows staining for X-gal in both proximal
(arrowheads) and distal ganglia (arrows).
(F) Ngn1-/-;Hes6tlacz/tlacZ embryo shows staining only in the
distal ganglia (arrows). Hes6tlacz/tlacZ and Hes6tlacZ/+ embryos
show identical X-gal staining patterns (data not shown).
(G-J) Adjacent transverse sections of Ngn1+/-;Hes6tlacZ/+ embryo
(G and I) and Ngn1-/-;Hes6tlacZ/+ embryo (H and J) at E9.5 are
shown. Trigeminal neural crest cells are visualized by Sox10 in
both embryos (G, H; arrows), but b-galactosidase is detected only
in the Ngn1+/-;Hes6tlacZ/+ embryo (I,J; arrows). |
|
Fig. 5. Hes6 promotes neuronal differentiation. (A-H) Two-cell-stage
embryos were injected with Hes6 RNA along with lacZ RNA as a
tracer. Embryos were fixed and stained with X-gal at neural plate
stages and then processed for the staining for probes that correspond
to various genes expressed during primary neurogenesis as indicated.
Hes6 induces an increase in the number of cells expressing Xmyt1
(11/15 embryos), Drebrin (8/9), Nscl1 (10/10), Xmmot-1 (12/13),
Elrc (11/11), N-tubulin 90/108), Xngn1 (15/17) and Xaml (10/10).
(I,J) For comparison, embryos were injected with RNA encoding a
dominant negative form of Su(H), XSu(H)DBM, and stained with
probes of N-tubulin and Xngn1 (Wettstein et al., 1997). Note that the
levels of Xngn1 increase on the injected side, but the striped pattern
of expression is retained, and that N-tubulin-expressing cells
subsequently form at a higher density in each stripe. |
|
Fig. 6. Hes6 induces the expression of the hairy genes. (A-D) Hes6
was ectopically expressed along with lacZ in Xenopus embryos,
which were processed at the neural plate stage as described in the
legend to Fig. 3. Note that the expression of both Xhairy1 (B, 53/54
embryos) and Xhairy2a (C, 39/42 embryos) is upregulated in
response to Hes6, while Zic2 expression (A, 34/37 embryos) and
Slug expression (D, 23/30 embryos) do not change appreciably.
(E) RNase protection analysis of Xhairy1 RNA levels in animal caps
injected with RNA encoding Xhairy2a (0.5 ng, H2A), Xhairy2a-Gal4
(0.5 ng, H2AG4), Hes6 (0.5 ng, H6), Xhairy2a and Hes6 (0.5/0.5 ng,
H6/H2A), a DNA-binding mutant of Hes6 (2 ng, H6DBM), or both
Xhairy2A and a DNA-binding mutant of Hes6 (2/0.5 ng,
H6DBM/H2A). Xhairy1 RNA levels are expressed in arbitrary units
after normalizing to the levels of an endogenous control Ef1a RNA
(Materials and Methods). Note that both Hes6 and Hes6DBM induce
Xhairy1 expression above that in control animal caps (CONT), while
Xhairy2A represses. Hes6 and the DNA-binding mutant reverses the
inhibitory effect of Xhairy2a. |
|
Fig. 7. DNA-binding mutant of Hes6 promotes neuronal
differentiation. (A-D) RNAs as indicated were ectopically expressed
along with lacZ in Xenopus embryos, which were processed at the
neural plate stage as described in the legend to Fig. 3 for N-tubulin
expression. Note that Hes6 (23/26 embryos) and the DNA-binding
mutant of Hes6 (23/36 embryos) promote neuronal differentiation,
while Esr7 inhibits (13/15 embryos). A DNA-binding mutant of Esr7
does not produce significant changes (14/15 embryos unchanged). |
|
Fig. 8. Physical interactions between Hes6 and the hairy proteins.
(A) Equivalent amounts of GST fusion protein bound to beads were
incubated with 35S-labeled Hes6 and Xhairy2A and washed; the
bound proteins were detected by gel electrophoresis and
autoradiography (see Materials and Methods). 20% of the 35S
labelled Hes6 and Xhairy2A added to each binding reaction is shown
on the left, and the bound proteins are shown on the right. Note that
both Hes6 and Xhairy2A do not show appreciable binding to GST
alone, but bind to varying extents to each other. Notably Hes6 binds
better to the hairy proteins than to itself, while Xhairy2A binds to all
proteins. (B) Embryos were injected with RNA encoding a Myctagged
form of Hes6 alone, or along with RNA encoding His-tagged
forms of Xhairy2A, Xhairy1, Esr7 or Hes6. Note that Hes6 binds to
both His-tagged Xhairy2a (H2A), and Xhairy1 (H1), but not to Esr7,
or to itself. |