Click here to close
Hello! We notice that you are using Internet Explorer, which is not supported by Xenbase and may cause the site to display incorrectly.
We suggest using a current version of Chrome,
FireFox, or Safari.
???displayArticle.abstract???
Lysyl oxidase (Lox) is a copper-dependent amine oxidase that catalyzes the cross-linking of collagen and elastin fibers in the extracellular matrix (ECM). In mammals, four closely related Lox-like enzymes have been described that share a highly conserved catalytic domain with Lox. We have characterized Xenopus laevis cDNAs for Lox, Loxl-1, and Loxl-3, and show that they are expressed during early embryonic development. Using RT-PCR we detected maternal transcripts for Xloxl-1, but levels remained low until tailbud stages. Transcripts for Xlox and Xloxl-3 were not detected until early neurulae, although transcripts for Xlox remained at low levels until tailbud stages. Whole mount in situ hybridization showed that transcripts for Xloxl-1 and Xloxl-3 are localized in the notochord, while transcripts for Xlox are found in the notochord, somites, and head. X. laevis Lox-like enzymes were inhibited by incubating embryos, from cleavage stages to tadpole stages, in beta-aminopropionitrile, a specific inhibitor of the catalytic domain. The resulting embryos appeared to differentiate normally but suffered from poor collagen fiber formation. Defects included kinks in the notochord, a posterior shift of the somites, abnormal gut coiling, and the formation of edemas. Our data suggest that Lox-related enzymes are required for the proper formation of the ECM during X. laevis development.
Fig. 1 The deduced amino acid sequences of X. laevis
(Xl) Lox (A), Loxl-1 (B), and the partial sequence of
Loxl-3 (C) aligned to the amino acid sequence of their
human (Hs) orthologues. Conserved amino acids are
replaced with a in the human sequence. The C-terminal
catalytic domain (shaded box), including the copperbinding
motif (black box, white lettering), is indicated
for each enzyme. (A) The putative BMP1 cleavage site
(M175–D180) of Xlox is indicated (clear box). Cleavage
occurs at a conserved Gly–Asp bond in mammals. (B)
The proline-rich region of Xloxl-1 is indicated (clear
box), as are the conserved tribasic cleavage site (R72–
R74) and the non-conserved BMP1 cleavage sites of human
Loxl-1 (G114–D115 and S337–D338) (highlighted in
bold and underlined). (D) Schematic diagram of the
domain structure of Lox-related proteins. The position
of the C-terminal catalytic (Lox) domain, the N-terminal
proline-rich (pro-rich) domain (Loxl-1), and the Nterminal
scavenger-receptor cysteine-rich (SRCR) domains
(Loxl-2, Loxl-3, and Loxl-4) is illustrated.
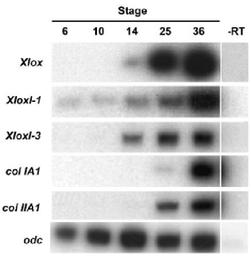
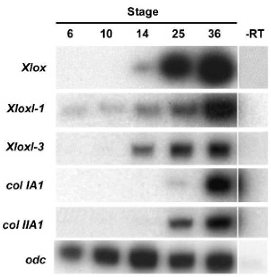
Fig. 2 Temporal expression of Xlox, Xloxl-1, and Xloxl-3. RT-PCR
analysis of total RNA, using gene-specific primers for Xlox, Xloxl-
1, Xloxl-3, a1 type I collagen (colIA1), a1 type II collagen (colIIA1),
and ubiquitously expressed ornithine decarboxylase (odc). RNA was
prepared from 32-cell embryos (stage 6), early gastrulae (stage 10),
early neurulae (stage 15), early tailbud (stage 25), and late tailbud
(stage 36) stages. RT is stage 25 RNA minus reverse transcriptase.
Xlox is first detected at stage 14, but transcript levels have increased
greatly by stage 25. Xloxl-1 is expressed at all stages tested and
displays a large increase in expression levels during tailbud stages
(compare stage 25 with stage 36). Xloxl-3 is first detected at stage 14
and is maintained at similar levels at all subsequent stages tested.
All three Lox-related genes are expressed prior to collIa1 and collIIa1,
which encode known substrates for Lox activity.
Fig. 3 Spatial expression of Xlox, Xloxl-1, and Xloxl-3. (AâC) Expression
of Xlox was first detected in the notochord at stage 14 (A)
and expanded into the head and somites of tailbud stage embryos
(BâC). (A) Dorsal view of a stage 14 embryo with anterior uppermost.
(B) Dorsal view of a stage 25 embryo with the head on the
left. (C) Lateral view of stage 30 embryo with the head on the left.
(DâH) Expression of Xloxl-1 was first detected in the presumptive
notochord (the dorsal marginal zone) of gastrulae, (D), and continued
to be expressed in the notochord at subsequent stages.
(D) Dorsal-vegetal view of three gastrulae (stages 11â12) with animal
pole uppermost. (E) Dorsal view of two stage 14 embryos with
anterior uppermost. (F) Lateral view of stage 20 embryo with the
head to the left. This embryo has been cracked open to reveal the
intensely stained notochord. (G) Lateral view of a stage 30 embryo
with the head on the left. (H) A cross-section of a St 30 embryo
shows that expression is localized to the notochord (no). The unstained
neural tube (nt) and somites (so) are also labeled. (IâK)
Expression of Xloxl-3 was first detected in the notochord at St 14 (I)
and continued to be expressed in the notochord at subsequent
stages. (I) Dorsal view of stage 14 embryo with head uppermost. (J)
Lateral view of stage 24 embryo with the head to the left. (K)
Lateral view of a stage 28 embryo with the head to the left.
Fig. 4 Developmental defects in b-aminoproprionitrile (b-APN)-
treated embryos. Embryos were incubated in 0.25mM b-APN from
stage 6 (32 cells) until stage 45. (A) Stage 33/34 control embryo. (B)
Stage 33/34 b-APN-treated embryo. There is no obvious difference
between this embryo and the control. (C) Stage 41 control embryo.
(D) Stage 41 b-APN-treated embryo. The tail of this embryo has
failed to fully elongate and the dorsal fin has a ruffled appearance.
(E) Stage 45 control embryo. (F) Stage 45 b-APN-treated embryo.
This embryo is clearly much shorter than the control and has developed
a number of pronounced kinks in the axial structures of
the tail. Although not obvious in this photograph, the gut has failed
to coil.
Fig. 5 Muscle defects in b-aminoproprionitrile (b-APN)-treated
embryos. Embryos were incubated in 0.25mM b-APN from stage 6
(32 cells) and probed with a monoclonal antibody (12/101) that
detects a muscle-specific antigen. (A) Stage 32 control embryo. (B)
Stage 32 b-APN-treated embryo. There is no obvious difference
between axial muscles of this embryo and those of the control. Note
that the anterior muscles align with the otic vesicle (arrows). (C)
Stage 40 control embryo. (D) Stage 40 b-APN-treated embryo. The
axial muscles of this embryo have shifted in a posterior direction
and the anterior muscles no longer align with the otic vesicle. The
characteristic chevron pattern of the muscles is not evident in the b-
APN-treated embryo.
Fig. 6 Notochord defects in b-aminoproprionitrile (b-APN)-treated
embryos. Embryos were incubated in 0.25mM b-APN from stage 6
(32 cells) and probed with a monoclonal antibody (MZ15) that
detects a notochord (n)- and otic vesicle (ov)-specific antigen. (A)
Stage 36 b-APN-treated embryo showing that the notochord is essentially
straight. (B) Stage 45 b-APN-treated embryo with
pronounced kinks in the posterior notochord. At this stage MZ15
does not detect anterior notochord, but the kinks extend into this
region. (C) A higher magnified view of the MZ15-stained notochord
in (B).
Fig. 7 b-aminoproprionitrile (b-APN) disrupts collagen fiber formation
in the notochord sheath. Stage 42 embryos treated with
0.25mM b-APN were processed for transmission electron microscopy
analysis and observed at 20,000 magnification. (A) In control
embryos, collagen runs in long uninterrupted fibers around the
notochord. (B) In b-APN-treated embryos the fibers are relatively
short and disorganized. The notochord lies to the left of the notochord
sheath (ns) in both photographs. Bars5200 nm.
lox (lysyl oxidase) gene expression in Xenopus laevis embryo, assayed via in situ hybridization, NF stage 14, dorsal view, anterior down.
lox (lysyl oxidase) gene expression in Xenopus laevis embryo, assayed via in situ hybridization, NF stage 25, dorsal view, anteriorleft.
lox (lysyl oxidase) gene expression in Xenopus laevis embryo, assayed via in situ hybridization, NF stage 30, lateral view, anteriorleft, dorsal up.
loxl1 (lysyl oxidase like 1) gene expression in Xenopus laevis embryo, assayed via in situ hybridization, NF stage 30, lateral view, anteriorleft, dorsal up.