Click here to close
Hello! We notice that you are using Internet Explorer, which is not supported by Xenbase and may cause the site to display incorrectly.
We suggest using a current version of Chrome,
FireFox, or Safari.
???displayArticle.abstract??? TGFbeta signals play important roles in establishing the body axes and germ layers in the vertebrate embryo. Vg1 is a TGFbeta-related gene that, due to its maternal expression and vegetal localization in Xenopus, has received close examination as a potential regulator of development in Xenopus, zebrafish, and chick. However, a mammalian Vg1 ortholog has not been identified. To isolate mammalian Vg1 we screened a mouse expression library with a Vg1-specific monoclonal antibody and identified a single cross-reactive clone encoding mouse Gdf1. Gdf1 is expressed uniformly throughout the embryonic region at 5.5-6.5 days postcoitum and later in the node, midbrain, spinal cord, paraxial mesoderm, lateral plate mesoderm, and limb bud. When expressed in Xenopus embryos, native GDF1 is not processed, similar to Vg1. In contrast, a chimeric protein containing the prodomain of Xenopus BMP2 fused to the GDF1 mature domain is efficiently processed and signals via Smad2 to induce mesendoderm and axial duplication. Finally, right-sided expression of chimeric GDF1, but not native GDF1, reverses laterality and results in right-sided Xnr1 expression and reversal of intestinal and heart looping. Therefore, GDF1 can regulate left-right patterning, consistent with the Gdf1 loss-of-function analysis in the mouse (C. T. Rankin, T. Bunton, A. M. Lawler, and S. J. Lee, 2000, Nature Genet. 24, 262-265) and a proposed role for Vg1 in Xenopus. Our results establish that Gdf1 is posttranslationally regulated, that mature GDF1 activates a Smad2-dependent signaling pathway, and that mature GDF1 is sufficient to reverse the left-right axis. Moreover, these findings demonstrate that GDF1 and Vg1 are equivalent in biochemical and functional assays, suggesting that Gdf1 provides a Vg1-like function in the mammalian embryo.
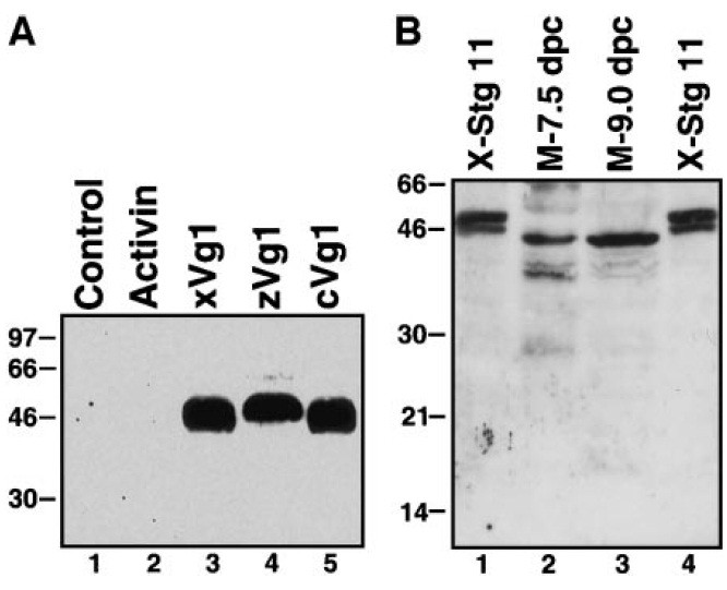
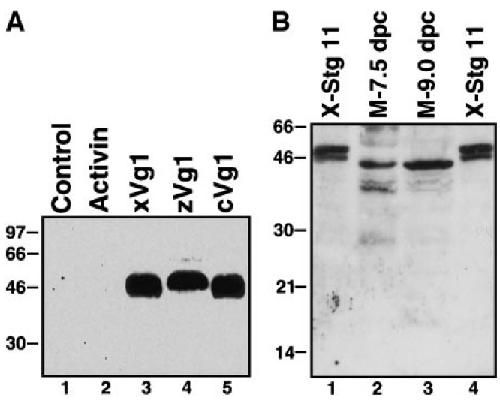
FIG. 1. The Vg1 orthologs are antigenically related and mouse
embryos express a Vg1-cross-reactive protein. (A) Western blot of in
vitro translated proteins using an anti-Vg1 monoclonal antibody.
Lane 1, no template control; lane 2, ActivinbB; lane 3, Xenopus
Vg1; lane 4, zebrafish Vg1; lane 5, chick Vg1. (B) Western blot
analysis of Xenopus and mouse embryo extracts. Lanes 1 and 4,
Xenopus gastrula embryo (stage 11); lane 2, 7.5 days p.c. mouse
embryo; lane 3, 9.0 days p.c. mouse embryo. Endogenous xVg1 is a
glycosylated doublet (46–48 kDa) and a major cross-reacting protein
(44 kDa) was detected in mouse embryo extracts. Size markers
indicated on left (kDa).
FIG. 2. Mouse GDF1 is antigenically related to xVg1. (A) Protein
sequence alignments of full-length GDF1 and the partial GDF1
clone isolated by immunoscreening. The internal methionine
residue that serves as a start codon in the partial clone is underlined.
(B) Western blot of in vitro translated proteins with an
anti-Vg1 monoclonal antibody. Lane 1, no template control; lane 2,
ActivinbB; lane 3, Xenopus Vg1; lane 4, full-length GDF1. Size
markers indicated on left (kDa).
FIG. 3. Sequence similarity of the GDF1 mature domain and the
Vg1 orthologs. (A) Percentage of identity and similarity comparisons
(identity/similarity) of GDF1 with GDF and Vg1 proteins. (B)
BLAST results for the carboxy-terminal 20 amino acids of xVg1
containing a putative receptor binding site. Amino acids highlighted
in gray indicate the five-residue loop between b sheets 7 and
8 and the two residues in light gray are proposed to be critical in
conferring receptor binding specificity. x, Xenopus; z, zebrafish; sb,
red sea bream; n, Japanese common newt; c, chick; m, mouse; h,
human; su, sea urchin; am, amphioxus Branchiostoma belcheri;
amphi, amphioxus Branchiostoma floridae; s, European starfish;
as, ascidian Ptychodera flava.
FIG. 5. Posttranslational processing and mesendoderm-inducing activity of GDF1. (A) Embryos were injected at the one-cell stage with
2 ng of RNA encoding Xenopus Vg1 (xVg1), BMP2âVg1 (BVg1), GDF1, or BMP2âGDF1 (BGdf1) and extracts were prepared at the gastrula
stage for Western blotting with an anti-Vg1 monoclonal antibody. Extracts of uninjected embryos were also analyzed (Control). The
unprocessed precursor proteins (P) and processed mature proteins (M) are indicated. Size markers indicated on left (kDa). (BâE) Embryos
were injected at the one-cell stage with 100 pg of RNA encoding BMP2âVg1 (C), GDF1 (D), or BMP2âGDF1 (E), animal pole explants were
isolated from injected and uninjected embryos (B) at the blastula stage and were cultured to the tailbud stage (stage 25). (F) Embryos were
injected as above and explants were collected at the gastrula stage (top panel) or tailbud stage (bottom panel) for RT-PCR analysis. Gastrula
markers are Brachyury (Xbra, mesoderm), Goosecoid (Gsc, dorsal mesoderm), Sox17 (endoderm), Nodal-related-1 (Xnr1, mesendoderm), and
VegT (mesendoderm). Tailbud markers are Muscle Actin (M. Actin, somitic muscle) and Collagen type II (Coll II, notochord). EF1a is a
control for RNA recovery and loading. Intact embryos (Embryo) served as a positive control and an identical reaction without reverse
transcriptase controlled for PCR contamination (Embryo-RT). Bar, 400mm.
FIG. 6. Axis induction by mature GDF1. At the four-cell stage a
single ventralblastomere was injected with 100 pg of RNA encoding
BMP2âVg1 (B), native GDF1 (C), or BMP2âGDF1 (D). (A)
Uninjected embryo (Control). Arrowhead indicates anterior end of
ectopic axis. Bar, 500 mm.
FIG. 7. Smad2-dependent signaling by mature GDF1. Embryos
were injected at the one-cell stage with 100 pg of BMP2âVg1 (BVg1),
BMP2âGDF1 (BGdf1), or Nodal-related-1 (Xnr1) alone or in combination
with 1 ng of a truncated form of Cerberus (CerS), 2 ng of a
truncated Activin type II receptor (D1XAR1), or 2 ng of the
Smad2-interaction domain of FAST1 (SID). Explants were collected
at the gastrula stage for RT-PCR analysis of Brachyury (Xbra) and
Goosecoid (Gsc) expression. Positive and negative PCR controls are
as described in the legend to Fig. 5.
FIG. 8. Reversal of leftâright patterning by mature GDF1. A single rightblastomere was injected at the four-cell with 100 pg of BMP2âVg1
(DâF), GDF1 (GâI), or BMP2âGDF1 (JâL) or was not injected (AâC, Control). At the early tailbud stage (stage 23â24) expression of Xnr1 in
lateral plate mesoderm was examined by in situ hybridization (A, B, D, E, G, H, J, K). Leftlateral (A, D, G, J) and rightlateral (B, E, H, K)
views of single embryos are presented. At the late tadpole stage (stage 45) the direction of intestinal looping was examined. Ventral view
(C, F, I, L); arrow indicates direction of looping. Bar, 300 mm (lateral views) or 400 mm (ventral views).