XB-GENEPAGE-969446
Gene Symbol: tubb4b
Gene Name: tubulin beta 4B class IVb
| RNA-Seq and EST Transcriptome profiles | ???displayGene.tropicalis??? | ???displayGene.laevis???.L | ???displayGene.laevis???.S |
| RNA-Seq stage profile | Data from Owens et al. 2016 | Data from Session et al. 2016 | Data from Session et al. 2016 |
| ???displayGene.geoData??? | tubb4b.L | tubb4b.S | |
| Microarray Data | Data from Yanai et al. 2011 | Data from Yanai et al. 2011 | Data from Yanai et al. 2011 |
| Stage and Tissue Profiles | ||||||||
|
|
|
||||||
| Experimental Regulation (via RNA-seq) | ||
|
| ||
|
Source: Ding et al. 2017 (laevis) |
||
| Literature Images | Sort by: |
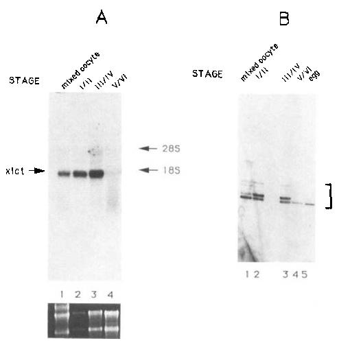
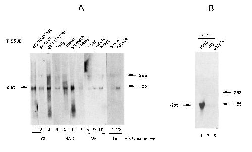
unfertilized egg stage Bieker, et al. 1992 | NF stage 11 to NF stage 29 and 30 Pollet, et al. 2005 | NF stage 29 and 30 Lee, et al. 2023 | unfertilized egg stage to NF stage 33 and 34 Bieker, et al. 1992 | NF stage 66 Bieker, et al. 1992 | |
