XB-GENEPAGE-6454243
Gene Symbol: gdf6
Gene Name: growth differentiation factor 6
|
Anatomy stages
|
| NF stage 10.5 to NF stage 37 and 38 |
| RNA-Seq and EST Transcriptome profiles | ???displayGene.tropicalis??? | ???displayGene.laevis???.L | ???displayGene.laevis???.S |
| RNA-Seq stage profile | Data from Session et al. 2016 | Data from Session et al. 2016 | |
| ???displayGene.geoData??? | gdf6.L | gdf6.S |
| Stage and Tissue Profiles | ||||||||
|
|
|
||||||
| Experimental Regulation (via RNA-seq) | ||
|
| ||
|
Source: Ding et al. 2017 (laevis) |
||
| Literature Images | Sort by: |
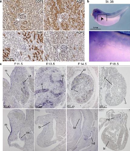
NF stage 11 to NF stage 32 Chang, et al. 1999 | NF stage 37 and 38 Martens, et al. 2020 | NF stage 37 and 38 Martens, et al. 2020 |
