XB-GENEPAGE-6258378
Gene Symbol: col1a1
Gene Name: collagen, type I, alpha 1
| RNA-Seq and EST Transcriptome profiles | ???displayGene.tropicalis??? | ???displayGene.laevis???.L | ???displayGene.laevis???.S |
| RNA-Seq stage profile | Data from Owens et al. 2016 | Data from Session et al. 2016 | Data from Session et al. 2016 |
| ???displayGene.geoData??? | col1a1.L | col1a1.S | |
| Microarray Data | Data from Yanai et al. 2011 | Data from Yanai et al. 2011 | Data from Yanai et al. 2011 |
| Stage and Tissue Profiles | ||||||||
|
|
|
||||||
| Experimental Regulation (via RNA-seq) | ||
|
| ||
|
Source: Ding et al. 2017 (laevis) |
||
| Community Submitted Images | Sort by: |
NF stage 10 | NF stage 10 | NF stage 10 | NF stage 15 | NF stage 15 | 4 more [+] |
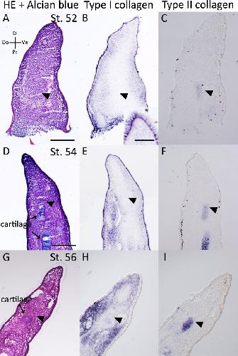
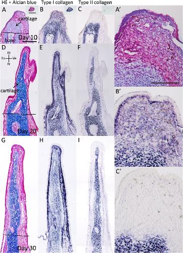
| Literature Images | Sort by: |
NF stage 28 Goto, et al. 2000 | NF stage 25 to NF stage 29 and 30 Goto, et al. 2000 | NF stage 25 to NF stage 37 and 38 Grimaldi, et al. 2004 | NF stage 29 and 30 to NF stage 40 Getwan, et al. 2021 | NF stage 52 to NF stage 56 Mitogawa, et al. 2015 | 8 more [+] |
