XB-GENEPAGE-6257823
Gene Symbol: ascl4
Gene Name: achaete-scute family bHLH transcription factor 4
|
Anatomy stages
|
| NF stage 13 to NF stage 40 |
| RNA-Seq and EST Transcriptome profiles | ???displayGene.tropicalis??? | ???displayGene.laevis???.L | ???displayGene.laevis???.S |
| RNA-Seq stage profile | Data from Session et al. 2016 | Data from Session et al. 2016 | |
| ???displayGene.geoData??? | ascl4.L | ascl4.S |
| Stage and Tissue Profiles | ||||||||
|
|
|
||||||
| Experimental Regulation (via RNA-seq) | ||
|
| ||
|
Source: Ding et al. 2017 (laevis) |
||
| Literature Images | Sort by: |
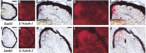
NF stage 18 Wallingford, et al. 2002 | NF stage 18 Cavodeassi, et al. 2001 | NF stage 13 to NF stage 21 Wallingford, et al. 2002 | NF stage 13 to NF stage 21 Wallingford, et al. 2002 | NF stage 32 Wang, et al. 2005 | 3 more [+] |
