XB-GENEPAGE-5822251
Gene Symbol: satb2
Gene Name: SATB homeobox 2
|
Anatomy stages
|
| NF stage 10.5 to NF stage 41 |
| RNA-Seq and EST Transcriptome profiles | ???displayGene.tropicalis??? | ???displayGene.laevis???.L | ???displayGene.laevis???.S |
| RNA-Seq stage profile | Data from Session et al. 2016 | Data from Session et al. 2016 | |
| ???displayGene.geoData??? | satb2.L | satb2.S |
| Stage and Tissue Profiles | ||||||||
|
|
|
||||||
| Experimental Regulation (via RNA-seq) | ||
|
| ||
|
Source: Ding et al. 2017 (laevis) |
||
| Literature Images | Sort by: |
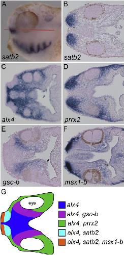
NF stage 10.5 Popov, et al. 2017 | NF stage 33 and 34 Square, et al. 2015 | NF stage 35 and 36 Square, et al. 2015 | NF stage 37 and 38 Square, et al. 2015 | NF stage 33 and 34 to NF stage 37 and 38 Square, et al. 2015 | 1 more [+] |
