XB-GENEPAGE-484645
Gene Symbol: foxf2
Gene Name: forkhead box F2
|
Anatomy stages
|
| NF stage 13 to NF stage 66 |
| RNA-Seq and EST Transcriptome profiles | ???displayGene.tropicalis??? | ???displayGene.laevis???.L | ???displayGene.laevis???.S |
| RNA-Seq stage profile | Data from Owens et al. 2016 | Data from Session et al. 2016 | Data from Session et al. 2016 |
| ???displayGene.geoData??? | foxf2.L | foxf2.S | |
| Microarray Data | Data from Yanai et al. 2011 | Data from Yanai et al. 2011 | Data from Yanai et al. 2011 |
| Stage and Tissue Profiles | ||||||||
|
|
|
||||||
| Experimental Regulation (via RNA-seq) | ||
|
| ||
|
Source: Ding et al. 2017 (laevis) |
||
| Literature Images | Sort by: |
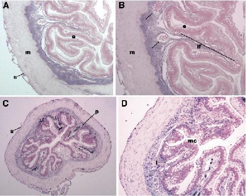
NF stage 29 and 30 McLin, et al. 2010 | NF stage 29 and 30 to NF stage 43 McLin, et al. 2010 | NF stage 43 McLin, et al. 2010 | NF stage 66 McLin, et al. 2010 | NF stage 66 McLin, et al. 2010 | |
