XB-GENEPAGE-482276
Gene Symbol: cdh3
Gene Name: cadherin 3
|
Anatomy stages
|
| unfertilized egg stage to NF stage 66 |
| RNA-Seq and EST Transcriptome profiles | ???displayGene.tropicalis??? | ???displayGene.laevis???.L | ???displayGene.laevis???.S |
| RNA-Seq stage profile | Data from Owens et al. 2016 | Data from Session et al. 2016 | Data from Session et al. 2016 |
| ???displayGene.geoData??? | cdh3.L | cdh3.S | |
| Microarray Data | Data from Yanai et al. 2011 | Data from Yanai et al. 2011 | Data from Yanai et al. 2011 |
| Stage and Tissue Profiles | ||||||||
|
|
|
||||||
| Experimental Regulation (via RNA-seq) | ||
|
| ||
|
Source: Ding et al. 2017 (laevis) |
||
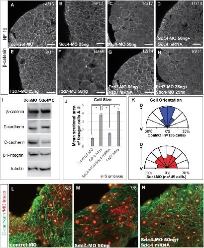
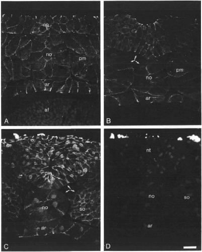
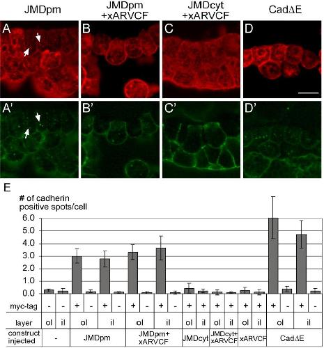
| Literature Images | Sort by: |
unfertilized egg stage Münchberg, et al. 1997 | unfertilized egg stage to NF stage 2 (2-cell) Müller, et al. 2001 | NF stage 8 Li, et al. 2016 | NF stage 8 Rozario, et al. 2014 | NF stage 9 to NF stage 10 Gorny, et al. 2012 | 36 more [+] |
