Click here to close Hello! We notice that you are using Internet Explorer, which is not supported by Xenbase and may cause the site to display incorrectly. We suggest using a current version of Chrome, FireFox, or Safari.

Profile Publications (10)
XB-PERS-840

Publications By Paul R. Mueller

???pagination.result.count???

???pagination.result.page??? 1


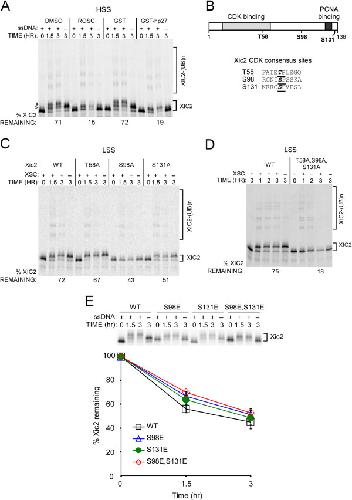
Proteolysis of Xenopus Cip-type CDK inhibitor, p16Xic2, is regulated by PCNA binding and CDK2 phosphorylation., Zhu XN, Kim DH, Lin HR, Budhavarapu VN, Rosenbaum HB, Mueller PR, Yew PR., Cell Div. April 22, 2013; 8 (1): 5.   


Non-catalytic function for ATR in the checkpoint response., McSherry TD, Kitazono AA, Javaheri A, Kron SJ, Mueller PR., Cell Cycle. August 15, 2007; 6 (16): 2019-30.


Measurement of Wee kinase activity., Mueller PR, Leise WF., Methods Mol Biol. January 1, 2005; 296 299-328.


Xenopus Cds1 is regulated by DNA-dependent protein kinase and ATR during the cell cycle checkpoint response to double-stranded DNA ends., McSherry TD, Mueller PR., Mol Cell Biol. November 1, 2004; 24 (22): 9968-85.


A conserved role for retinoid signaling in vertebrate pancreas development., Stafford D, Hornbruch A, Mueller PR, Prince VE., Dev Genes Evol. September 1, 2004; 214 (9): 432-41.


Inhibition of the cell cycle is required for convergent extension of the paraxial mesoderm during Xenopus neurulation., Leise WF, Mueller PR., Development. April 1, 2004; 131 (8): 1703-15.   


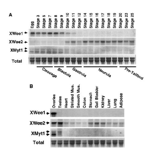
Multiple Cdk1 inhibitory kinases regulate the cell cycle during development., Leise W, Mueller PR., Dev Biol. September 1, 2002; 249 (1): 156-73.   


Role for a Xenopus Orc2-related protein in controlling DNA replication., Carpenter PB, Mueller PR, Dunphy WG., Nature. January 25, 1996; 379 (6563): 357-60.


Myt1: a membrane-associated inhibitory kinase that phosphorylates Cdc2 on both threonine-14 and tyrosine-15., Mueller PR, Coleman TR, Kumagai A, Dunphy WG., Science. October 6, 1995; 270 (5233): 86-90.


Cell cycle regulation of a Xenopus Wee1-like kinase., Mueller PR, Coleman TR, Dunphy WG., Mol Biol Cell. January 1, 1995; 6 (1): 119-34.

???pagination.result.page??? 1