Click here to close Hello! We notice that you are using Internet Explorer, which is not supported by Xenbase and may cause the site to display incorrectly. We suggest using a current version of Chrome, FireFox, or Safari.

Profile Publications (16)
XB-PERS-837

Publications By Raphael Thuret

???pagination.result.count???

???pagination.result.page??? 1


Foxm1 regulates neural progenitor fate during spinal cord regeneration., Pelzer D, Phipps LS, Thuret R, Gallardo-Dodd CJ, Baker SM, Dorey K., EMBO Rep. September 6, 2021; 22 (9): e50932.   


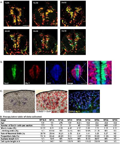
Analysis of neural progenitors from embryogenesis to juvenile adult in Xenopus laevis reveals biphasic neurogenesis and continuous lengthening of the cell cycle., Thuret R, Auger H, Papalopulu N., Biol Open. November 30, 2015; 4 (12): 1772-81.   


aPKC phosphorylates p27Xic1, providing a mechanistic link between apicobasal polarity and cell-cycle control., Sabherwal N, Thuret R, Lea R, Stanley P, Papalopulu N., Dev Cell. December 8, 2014; 31 (5): 559-71.   


Spatiotemporal lipid profiling during early embryo development of Xenopus laevis using dynamic ToF-SIMS imaging., Tian H, Fletcher JS, Thuret R, Henderson A, Papalopulu N, Vickerman JC, Lockyer NP., J Lipid Res. September 1, 2014; 55 (9): 1970-80.


Heparanase 2, mutated in urofacial syndrome, mediates peripheral neural development in Xenopus., Roberts NA, Woolf AS, Stuart HM, Thuret R, McKenzie EA, Newman WG, Hilton EN., Hum Mol Genet. August 15, 2014; 23 (16): 4302-14.   


Characterization of a novel Xenopus tropicalis cell line as a model for in vitro studies., Sinzelle L, Thuret R, Hwang HY, Herszberg B, Paillard E, Bronchain OJ, Stemple DL, Dhorne-Pollet S, Pollet N., Genesis. March 1, 2012; 50 (3): 316-24.   


A bromodeoxyuridine (BrdU) based protocol for characterizing proliferating progenitors in Xenopus embryos., Auger H, Thuret R, El Yakoubi W, Papalopulu N., Methods Mol Biol. January 1, 2012; 917 461-75.


Following the fate of neural progenitors by homotopic/homochronic grafts in Xenopus embryos., Thuret R, Papalopulu N., Methods Mol Biol. January 1, 2012; 916 203-15.


pTransgenesis: a cross-species, modular transgenesis resource., Love NR, Thuret R, Chen Y, Ishibashi S, Sabherwal N, Paredes R, Alves-Silva J, Dorey K, Noble AM, Guille MJ, Sasai Y, Papalopulu N, Amaya E., Development. December 1, 2011; 138 (24): 5451-8.   


Database of queryable gene expression patterns for Xenopus., Gilchrist MJ, Christensen MB, Bronchain O, Brunet F, Chesneau A, Fenger U, Geach TJ, Ironfield HV, Kaya F, Kricha S, Lea R, Massé K, Néant I, Paillard E, Parain K, Perron M, Sinzelle L, Souopgui J, Thuret R, Ymlahi-Ouazzani Q, Pollet N., Dev Dyn. June 1, 2009; 238 (6): 1379-88.   


Identification of CUG-BP1/EDEN-BP target mRNAs in Xenopus tropicalis., Graindorge A, Le Tonquèze O, Thuret R, Pollet N, Osborne HB, Audic Y., Nucleic Acids Res. April 1, 2008; 36 (6): 1861-70.   


Evaluation of time profile reconstruction from complex two-color microarray designs., Fierro AC, Thuret R, Engelen K, Bernot G, Marchal K, Pollet N., BMC Bioinformatics. January 3, 2008; 9 (1): 1.   


Exploring nervous system transcriptomes during embryogenesis and metamorphosis in Xenopus tropicalis using EST analysis., Fierro AC, Thuret R, Coen L, Perron M, Demeneix BA, Wegnez M, Gyapay G, Weissenbach J, Wincker P, Mazabraud A, Pollet N., BMC Genomics. May 16, 2007; 8 118.   


Identification of post-transcriptionally regulated Xenopus tropicalis maternal mRNAs by microarray., Graindorge A, Thuret R, Pollet N, Osborne HB, Audic Y., Nucleic Acids Res. February 7, 2006; 34 (3): 986-95.   


Post-transcriptional regulation in Xenopus embryos: role and targets of EDEN-BP., Osborne HB, Gautier-Courteille C, Graindorge A, Barreau C, Audic Y, Thuret R, Pollet N, Paillard L., Biochem Soc Trans. December 1, 2005; 33 (Pt 6): 1541-3.


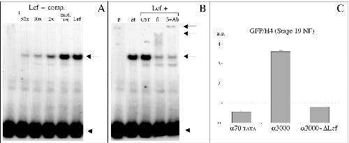
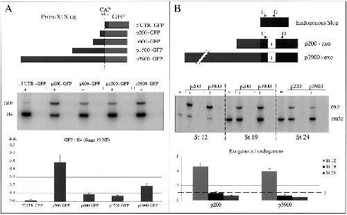
Cloning and characterization of three Xenopus slug promoters reveal direct regulation by Lef/beta-catenin signaling., Vallin J, Thuret R, Giacomello E, Faraldo MM, Thiery JP, Broders F., J Biol Chem. August 10, 2001; 276 (32): 30350-8.   

???pagination.result.page??? 1