Click here to close Hello! We notice that you are using Internet Explorer, which is not supported by Xenbase and may cause the site to display incorrectly. We suggest using a current version of Chrome, FireFox, or Safari.

Profile Publications (54)
XB-PERS-822

Publications By Tim J Mohun

???pagination.result.count???

???pagination.result.page??? 1 2 ???pagination.result.next???


Defective heart chamber growth and myofibrillogenesis after knockout of adprhl1 gene function by targeted disruption of the ancestral catalytic active site., Smith SJ, Towers N, Demetriou K, Mohun TJ., PLoS One. July 29, 2020; 15 (7): e0235433.   


The cardiac-restricted protein ADP-ribosylhydrolase-like 1 is essential for heart chamber outgrowth and acts on muscle actin filament assembly., Smith SJ, Towers N, Saldanha JW, Shang CA, Mahmood SR, Taylor WR, Mohun TJ., Dev Biol. August 15, 2016; 416 (2): 373-88.   


Genome-wide analysis of gene expression during Xenopus tropicalis tadpole tail regeneration., Love NR, Chen Y, Bonev B, Gilchrist MJ, Fairclough L, Lea R, Mohun TJ, Paredes R, Zeef LA, Amaya E., BMC Dev Biol. November 15, 2011; 11 70.   


The secreted integrin ligand nephronectin is necessary for forelimb formation in Xenopus tropicalis., Abu-Daya A, Nishimoto S, Fairclough L, Mohun TJ, Logan MP, Zimmerman LB., Dev Biol. January 15, 2011; 349 (2): 204-12.   


Early cardiac morphogenesis defects caused by loss of embryonic macrophage function in Xenopus., Smith SJ, Mohun TJ., Mech Dev. January 1, 2011; 128 (5-6): 303-15.   


Absence of heartbeat in the Xenopus tropicalis mutation muzak is caused by a nonsense mutation in cardiac myosin myh6., Abu-Daya A, Sater AK, Wells DE, Mohun TJ, Zimmerman LB., Dev Biol. December 1, 2009; 336 (1): 20-9.   


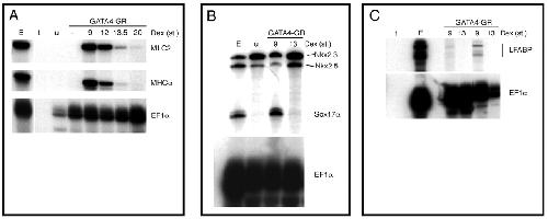
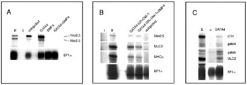
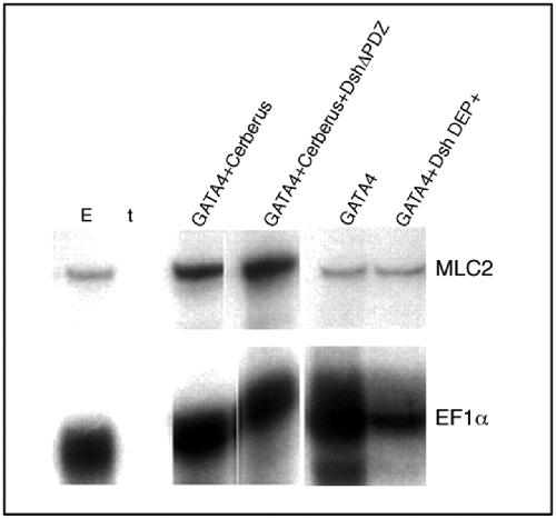
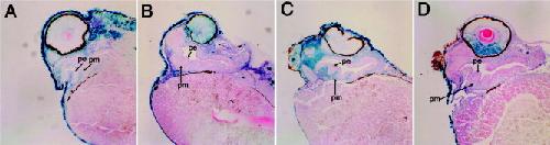
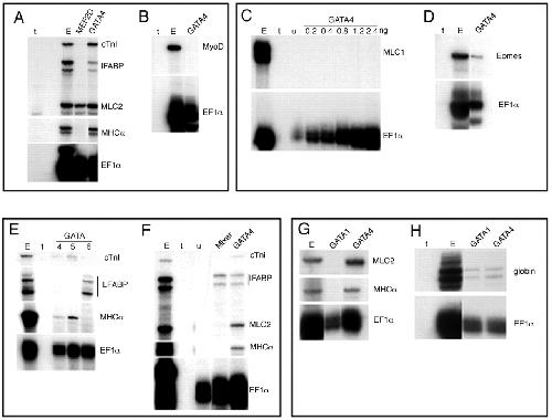
GATA4 and GATA5 are essential for heart and liver development in Xenopus embryos., Haworth KE, Kotecha S, Mohun TJ, Latinkic BV., BMC Dev Biol. July 28, 2008; 8 74.   


Targeted cell-ablation in Xenopus embryos using the conditional, toxic viral protein M2(H37A)., Smith SJ, Kotecha S, Towers N, Mohun TJ., Dev Dyn. August 1, 2007; 236 (8): 2159-71.


Pan-myocardial expression of Cre recombinase throughout mouse development., Breckenridge R, Kotecha S, Towers N, Bennett M, Mohun T., Genesis. March 1, 2007; 45 (3): 135-44.   


High-resolution episcopic microscopy: a rapid technique for high detailed 3D analysis of gene activity in the context of tissue architecture and morphology., Weninger WJ, Geyer SH, Mohun TJ, Rasskin-Gutman D, Matsui T, Ribeiro I, Costa Lda F, Izpisúa-Belmonte JC, Müller GB., Anat Embryol (Berl). June 1, 2006; 211 (3): 213-21.


Xenopus laevis transgenesis by sperm nuclear injection., Smith SJ, Fairclough L, Latinkic BV, Sparrow DB, Mohun TJ., Nat Protoc. January 1, 2006; 1 (5): 2195-203.


Frog transgenesis made simple., Smith SJ, Mohun TJ., Nat Methods. December 1, 2005; 2 (12): 897-8.


XTbx1 is a transcriptional activator involved in head and pharyngeal arch development in Xenopus laevis., Ataliotis P, Ivins S, Mohun TJ, Scambler PJ., Dev Dyn. April 1, 2005; 232 (4): 979-91.   


The MLC1v gene provides a transgenic marker of myocardium formation within developing chambers of the Xenopus heart., Smith SJ, Ataliotis P, Kotecha S, Towers N, Sparrow DB, Mohun TJ., Dev Dyn. April 1, 2005; 232 (4): 1003-12.   


Cryopreservation of sperm of Xenopus laevis and Xenopus tropicalis., Sargent MG, Mohun TJ., Genesis. January 1, 2005; 41 (1): 41-6.


Transcriptional regulation of the cardiac-specific MLC2 gene during Xenopus embryonic development., Latinkic BV, Cooper B, Smith S, Kotecha S, Towers N, Sparrow D, Mohun TJ., Development. February 1, 2004; 131 (3): 669-79.   


Induction of cardiomyocytes by GATA4 in Xenopus ectodermal explants., Latinkić BV, Kotecha S, Mohun TJ., Development. August 1, 2003; 130 (16): 3865-76.   


Xenopus Cyr61 regulates gastrulation movements and modulates Wnt signalling., Latinkic BV, Mercurio S, Bennett B, Hirst EM, Xu Q, Lau LF, Mohun TJ, Smith JC., Development. June 1, 2003; 130 (11): 2429-41.   


XPOX2-peroxidase expression and the XLURP-1 promoter reveal the site of embryonic myeloid cell development in Xenopus., Smith SJ, Kotecha S, Towers N, Latinkic BV, Mohun TJ., Mech Dev. September 1, 2002; 117 (1-2): 173-86.   


Distinct enhancers regulate skeletal and cardiac muscle-specific expression programs of the cardiac alpha-actin gene in Xenopus embryos., Latinkić BV, Cooper B, Towers N, Sparrow D, Kotecha S, Mohun TJ., Dev Biol. May 1, 2002; 245 (1): 57-70.   


Xenopus Smad3 is specifically expressed in the chordoneural hinge, notochord and in the endocardium of the developing heart., Howell M, Mohun TJ, Hill CS., Mech Dev. June 1, 2001; 104 (1-2): 147-50.   


A role for BMP signalling in heart looping morphogenesis in Xenopus., Breckenridge RA, Mohun TJ, Amaya E., Dev Biol. April 1, 2001; 232 (1): 191-203.   


Xenopus Hand2 expression marks anterior vascular progenitors but not the developing heart., Smith SJ, Kotecha S, Towers N, Mohun TJ., Dev Dyn. December 1, 2000; 219 (4): 575-81.   


Regulation of the tinman homologues in Xenopus embryos., Sparrow DB, Cai C, Kotecha S, Latinkic B, Cooper B, Towers N, Evans SM, Mohun TJ., Dev Biol. November 1, 2000; 227 (1): 65-79.   


A simplified method of generating transgenic Xenopus., Sparrow DB, Latinkic B, Mohun TJ., Nucleic Acids Res. February 15, 2000; 28 (4): E12.


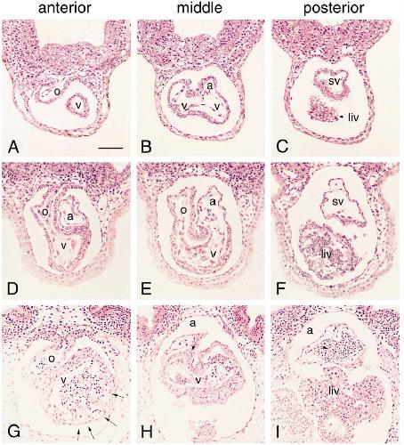
The morphology of heart development in Xenopus laevis., Mohun TJ, Leong LM, Weninger WJ, Sparrow DB., Dev Biol. February 1, 2000; 218 (1): 74-88.   


Localized XId3 mRNA activation in Xenopus embryos by cytoplasmic polyadenylation., Afouda AB, Reynaud-Deonauth S, Mohun T, Spohr G., Mech Dev. October 1, 1999; 88 (1): 15-31.   


MEF-2 function is modified by a novel co-repressor, MITR., Sparrow DB, Miska EA, Langley E, Reynaud-Deonauth S, Kotecha S, Towers N, Spohr G, Kouzarides T, Mohun TJ., EMBO J. September 15, 1999; 18 (18): 5085-98.


Differential expression of two skeletal muscle beta-tropomyosin mRNAs during Xenopus laevis development., Gaillard C, Lerivray H, Thézé N, Cooper B, Lepetit D, Mohun T, Thiébaud P., Int J Dev Biol. March 1, 1999; 43 (2): 175-8.   


Vertebrate tinman homologues XNkx2-3 and XNkx2-5 are required for heart formation in a functionally redundant manner., Fu Y, Yan W, Mohun TJ, Evans SM., Development. November 1, 1998; 125 (22): 4439-49.   


Thylacine 1 is expressed segmentally within the paraxial mesoderm of the Xenopus embryo and interacts with the Notch pathway., Sparrow DB, Jen WC, Kotecha S, Towers N, Kintner C, Mohun TJ., Development. June 1, 1998; 125 (11): 2041-51.   


Xenopus eHAND: a marker for the developing cardiovascular system of the embryo that is regulated by bone morphogenetic proteins., Sparrow DB, Kotecha S, Towers N, Mohun TJ., Mech Dev. February 1, 1998; 71 (1-2): 151-63.   


Ubc9p and the conjugation of SUMO-1 to RanGAP1 and RanBP2., Saitoh H, Sparrow DB, Shiomi T, Pu RT, Nishimoto T, Mohun TJ, Dasso M., Curr Biol. January 15, 1998; 8 (2): 121-4.


Myogenesis in Xenopus embryos., Gurdon JB, Lemaire P, Mohun TJ., Methods Cell Biol. January 1, 1997; 52 53-66.


Xom: a Xenopus homeobox gene that mediates the early effects of BMP-4., Ladher R, Mohun TJ, Smith JC, Snape AM., Development. August 1, 1996; 122 (8): 2385-94.   


The RSRF/MEF2 protein SL1 regulates cardiac muscle-specific transcription of a myosin light-chain gene in Xenopus embryos., Chambers AE, Logan M, Kotecha S, Towers N, Sparrow D, Mohun TJ., Genes Dev. June 1, 1994; 8 (11): 1324-34.   


Induction of cardiac muscle differentiation in isolated animal pole explants of Xenopus laevis embryos., Logan M, Mohun T., Development. July 1, 1993; 118 (3): 865-75.   


Muscle-specific expression of SRF-related genes in the early embryo of Xenopus laevis., Chambers AE, Kotecha S, Towers N, Mohun TJ., EMBO J. December 1, 1992; 11 (13): 4981-91.


Xenopus embryos contain a somite-specific, MyoD-like protein that binds to a promoter site required for muscle actin expression., Taylor MV, Gurdon JB, Hopwood ND, Towers N, Mohun TJ., Genes Dev. July 1, 1991; 5 (7): 1149-60.


Expression of genes encoding the transcription factor SRF during early development of Xenopus laevis: identification of a CArG box-binding activity as SRF., Mohun TJ, Chambers AE, Towers N, Taylor MV., EMBO J. April 1, 1991; 10 (4): 933-40.


Temporal and tissue-specific expression of the proto-oncogene c-fos during development in Xenopus laevis., Mohun TJ, Garrett N, Taylor MV., Development. December 1, 1989; 107 (4): 835-46.


The CArG promoter sequence is necessary for muscle-specific transcription of the cardiac actin gene in Xenopus embryos., Mohun TJ, Taylor MV, Garrett N, Gurdon JB., EMBO J. April 1, 1989; 8 (4): 1153-61.


Embryonic induction and muscle gene activation., Gurdon JB, Mohun TJ, Sharpe CR, Taylor MV., Trends Genet. February 1, 1989; 5 (2): 51-6.


Vimentin expression in oocytes, eggs and early embryos of Xenopus laevis., Tang P, Sharpe CR, Mohun TJ, Wylie CC., Development. June 1, 1988; 103 (2): 279-87.   


An amphibian cytoskeletal-type actin gene is expressed exclusively in muscle tissue., Mohun TJ, Garrett N., Development. October 1, 1987; 101 (2): 393-402.   


Upstream sequences required for tissue-specific activation of the cardiac actin gene in Xenopus laevis embryos., Mohun TJ, Garrett N, Gurdon JB., EMBO J. December 1, 1986; 5 (12): 3185-93.


Actin genes in Xenopus and their developmental control., Gurdon JB, Mohun TJ, Brennan S, Cascio S., J Embryol Exp Morphol. November 1, 1985; 89 Suppl 125-36.   


Activation of muscle-specific actin genes in Xenopus development by an induction between animal and vegetal cells of a blastula., Gurdon JB, Fairman S, Mohun TJ, Brennan S., Cell. July 1, 1985; 41 (3): 913-22.   


All components required for the eventual activation of muscle-specific actin genes are localized in the subequatorial region of an uncleaved amphibian egg., Gurdon JB, Mohun TJ, Fairman S, Brennan S., Proc Natl Acad Sci U S A. January 1, 1985; 82 (1): 139-43.


Region-specific regulation of the actin multi-gene family in early amphibian embryos., Mohun TJ, Brennan S, Gurdon JB., Philos Trans R Soc Lond B Biol Sci. December 4, 1984; 307 (1132): 337-42.

???pagination.result.page??? 1 2 ???pagination.result.next???