Click here to close Hello! We notice that you are using Internet Explorer, which is not supported by Xenbase and may cause the site to display incorrectly. We suggest using a current version of Chrome, FireFox, or Safari.

Profile Publications (97)
XB-PERS-747

Publications By Chris Wylie

???pagination.result.count???

???pagination.result.page??? 1 2 ???pagination.result.next???


Nodal signalling in Xenopus: the role of Xnr5 in left/right asymmetry and heart development., Tadjuidje E, Kofron M, Mir A, Wylie C, Heasman J, Cha SW., Open Biol. August 1, 2016; 6 (8):   


Par6b regulates the dynamics of apicobasal polarity during development of the stratified Xenopus epidermis., Wang S, Cha SW, Zorn AM, Wylie C., PLoS One. October 8, 2013; 8 (10): e76854.   


Regulation of classical cadherin membrane expression and F-actin assembly by alpha-catenins, during Xenopus embryogenesis., Nandadasa S, Tao Q, Shoemaker A, Cha SW, Wylie C., PLoS One. January 1, 2012; 7 (6): e38756.   


Foxi2 is an animally localized maternal mRNA in Xenopus, and an activator of the zygotic ectoderm activator Foxi1e., Cha SW, McAdams M, Kormish J, Wylie C, Kofron M., PLoS One. January 1, 2012; 7 (7): e41782.   


The roles of maternal Vangl2 and aPKC in Xenopus oocyte and embryo patterning., Cha SW, Tadjuidje E, Wylie C, Heasman J., Development. September 1, 2011; 138 (18): 3989-4000.   


The functions of maternal Dishevelled 2 and 3 in the early Xenopus embryo., Tadjuidje E, Cha SW, Louza M, Wylie C, Heasman J., Dev Dyn. July 1, 2011; 240 (7): 1727-36.   


Intercellular signaling pathways active during and after growth and differentiation of the lumbar vertebral growth plate., Dahia CL, Mahoney EJ, Durrani AA, Wylie C., Spine (Phila Pa 1976). June 15, 2011; 36 (14): 1071-80.


Nectin-2 and N-cadherin interact through extracellular domains and induce apical accumulation of F-actin in apical constriction of Xenopus neural tube morphogenesis., Morita H, Nandadasa S, Yamamoto TS, Terasaka-Iioka C, Wylie C, Ueno N., Development. April 1, 2010; 137 (8): 1315-25.   


Wnt11/5a complex formation caused by tyrosine sulfation increases canonical signaling activity., Cha SW, Tadjuidje E, White J, Wells J, Mayhew C, Wylie C, Heasman J., Curr Biol. September 29, 2009; 19 (18): 1573-80.   


N- and E-cadherins in Xenopus are specifically required in the neural and non-neural ectoderm, respectively, for F-actin assembly and morphogenetic movements., Nandadasa S, Tao Q, Menon NR, Heasman J, Wylie C., Development. April 1, 2009; 136 (8): 1327-38.   


Wnt5a and Wnt11 interact in a maternal Dkk1-regulated fashion to activate both canonical and non-canonical signaling in Xenopus axis formation., Cha SW, Tadjuidje E, Tao Q, Wylie C, Heasman J., Development. November 1, 2008; 135 (22): 3719-29.   


The Xenopus laevis isoform of G protein-coupled receptor 3 (GPR3) is a constitutively active cell surface receptor that participates in maintaining meiotic arrest in X. laevis oocytes., Deng J, Lang S, Wylie C, Hammes SR., Mol Endocrinol. August 1, 2008; 22 (8): 1853-65.


Long- and short-range signals control the dynamic expression of an animal hemisphere-specific gene in Xenopus., Mir A, Kofron M, Heasman J, Mogle M, Lang S, Birsoy B, Wylie C., Dev Biol. March 1, 2008; 315 (1): 161-72.   


The role of FoxC1 in early Xenopus development., Cha JY, Birsoy B, Kofron M, Mahoney E, Lang S, Wylie C, Heasman J., Dev Dyn. October 1, 2007; 236 (10): 2731-41.   


G-protein-coupled signals control cortical actin assembly by controlling cadherin expression in the early Xenopus embryo., Tao Q, Nandadasa S, McCrea PD, Heasman J, Wylie C., Development. July 1, 2007; 134 (14): 2651-61.   


Wnt11/beta-catenin signaling in both oocytes and early embryos acts through LRP6-mediated regulation of axin., Kofron M, Birsoy B, Houston D, Tao Q, Wylie C, Heasman J., Development. February 1, 2007; 134 (3): 503-13.   


FoxI1e activates ectoderm formation and controls cell position in the Xenopus blastula., Mir A, Kofron M, Zorn AM, Bajzer M, Haque M, Heasman J, Wylie CC., Development. February 1, 2007; 134 (4): 779-88.   


Jun NH2-terminal kinase (JNK) prevents nuclear beta-catenin accumulation and regulates axis formation in Xenopus embryos., Liao G, Tao Q, Kofron M, Chen JS, Schloemer A, Davis RJ, Hsieh JC, Wylie C, Heasman J, Kuan CY., Proc Natl Acad Sci U S A. October 31, 2006; 103 (44): 16313-8.   


Maternal XTcf1 and XTcf4 have distinct roles in regulating Wnt target genes., Standley HJ, Destrée O, Kofron M, Wylie C, Heasman J., Dev Biol. January 15, 2006; 289 (2): 318-28.   


Vg 1 is an essential signaling molecule in Xenopus development., Birsoy B, Kofron M, Schaible K, Wylie C, Heasman J., Development. January 1, 2006; 133 (1): 15-20.   


Maternal Xenopus Zic2 negatively regulates Nodal-related gene expression during anteroposterior patterning., Houston DW, Wylie C., Development. November 1, 2005; 132 (21): 4845-55.   


A novel G protein-coupled receptor, related to GPR4, is required for assembly of the cortical actin skeleton in early Xenopus embryos., Tao Q, Lloyd B, Lang S, Houston D, Zorn A, Wylie C., Development. June 1, 2005; 132 (12): 2825-36.   


Maternal wnt11 activates the canonical wnt signaling pathway required for axis formation in Xenopus embryos., Tao Q, Yokota C, Puck H, Kofron M, Birsoy B, Yan D, Asashima M, Wylie CC, Lin X, Heasman J., Cell. March 25, 2005; 120 (6): 857-71.   


Microarray-based identification of VegT targets in Xenopus., Taverner NV, Kofron M, Shin Y, Kabitschke C, Gilchrist MJ, Wylie C, Cho KW, Heasman J, Smith JC., Mech Dev. March 1, 2005; 122 (3): 333-54.   


aPKC, Crumbs3 and Lgl2 control apicobasal polarity in early vertebrate development., Chalmers AD, Pambos M, Mason J, Lang S, Wylie C, Papalopulu N., Development. March 1, 2005; 132 (5): 977-86.   


Lysophosphatidic acid signaling controls cortical actin assembly and cytoarchitecture in Xenopus embryos., Lloyd B, Tao Q, Lang S, Wylie C., Development. February 1, 2005; 132 (4): 805-16.   


XPACE4 is a localized pro-protein convertase required for mesoderm induction and the cleavage of specific TGFbeta proteins in Xenopus development., Birsoy B, Berg L, Williams PH, Smith JC, Wylie CC, Christian JL, Heasman J., Development. February 1, 2005; 132 (3): 591-602.   


New roles for FoxH1 in patterning the early embryo., Kofron M, Puck H, Standley H, Wylie C, Old R, Whitman M, Heasman J., Development. October 1, 2004; 131 (20): 5065-78.   


The role of Mixer in patterning the early Xenopus embryo., Kofron M, Wylie C, Heasman J., Development. May 1, 2004; 131 (10): 2431-41.


The role of maternal CREB in early embryogenesis of Xenopus laevis., Sundaram N, Tao Q, Wylie C, Heasman J., Dev Biol. September 15, 2003; 261 (2): 337-52.


The Xenopus LIM-homeodomain protein Xlim5 regulates the differential adhesion properties of early ectoderm cells., Houston DW, Wylie C., Development. June 1, 2003; 130 (12): 2695-704.   


A novel role for a nodal-related protein; Xnr3 regulates convergent extension movements via the FGF receptor., Yokota C, Kofron M, Zuck M, Houston DW, Isaacs H, Asashima M, Wylie CC, Heasman J., Development. May 1, 2003; 130 (10): 2199-212.   


Cloning and expression of Xenopus Lrp5 and Lrp6 genes., Houston DW, Wylie C., Mech Dev. September 1, 2002; 117 (1-2): 337-42.   


The roles of three signaling pathways in the formation and function of the Spemann Organizer., Xanthos JB, Kofron M, Tao Q, Schaible K, Wylie C, Heasman J., Development. September 1, 2002; 129 (17): 4027-43.   


Repression of organizer genes in dorsal and ventral Xenopus cells mediated by maternal XTcf3., Houston DW, Kofron M, Resnik E, Langland R, Destree O, Wylie C, Heasman J., Development. September 1, 2002; 129 (17): 4015-25.   


Plakoglobin is required for maintenance of the cortical actin skeleton in early Xenopus embryos and for cdc42-mediated wound healing., Kofron M, Heasman J, Lang SA, Wylie CC., J Cell Biol. August 19, 2002; 158 (4): 695-708.   


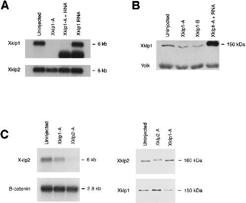
Surface contraction waves (SCWs) in the Xenopus egg are required for the localization of the germ plasm and are dependent upon maternal stores of the kinesin-like protein Xklp1., Quaas J, Wylie C., Dev Biol. March 15, 2002; 243 (2): 272-80.   


The role of maternal axin in patterning the Xenopus embryo., Kofron M, Klein P, Zhang F, Houston DW, Schaible K, Wylie C, Heasman J., Dev Biol. September 1, 2001; 237 (1): 183-201.


Maternal VegT is the initiator of a molecular network specifying endoderm in Xenopus laevis., Xanthos JB, Kofron M, Wylie C, Heasman J., Development. January 1, 2001; 128 (2): 167-80.


Beta-catenin signaling activity dissected in the early Xenopus embryo: a novel antisense approach., Heasman J, Kofron M, Wylie C., Dev Biol. June 1, 2000; 222 (1): 124-34.   


Mesoderm induction in Xenopus is a zygotic event regulated by maternal VegT via TGFbeta growth factors., Kofron M, Demel T, Xanthos J, Lohr J, Sun B, Sive H, Osada S, Wright C, Wylie C, Heasman J., Development. December 1, 1999; 126 (24): 5759-70.


Expression of the Lewis group carbohydrate antigens during Xenopus development., Yoshida-Noro C, Heasman J, Goldstone K, Vickers L, Wylie C., Glycobiology. December 1, 1999; 9 (12): 1323-30.


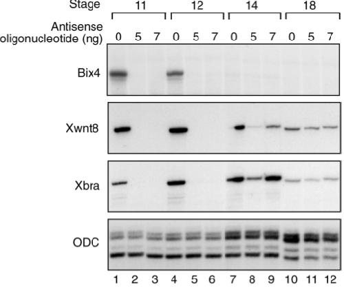
Bix4 is activated directly by VegT and mediates endoderm formation in Xenopus development., Casey ES, Tada M, Fairclough L, Wylie CC, Heasman J, Smith JC., Development. October 1, 1999; 126 (19): 4193-200.   


Confocal microscopy on Xenopus laevis oocytes and embryos., Robb DL, Wylie C., Methods Mol Biol. January 1, 1999; 122 173-83.


The role of maternal VegT in establishing the primary germ layers in Xenopus embryos., Zhang J, Houston DW, King ML, Payne C, Wylie C, Heasman J., Cell. August 21, 1998; 94 (4): 515-24.   


Evidence that dorsal-ventral differences in gap junctional communication in the early Xenopus embryo are generated by beta-catenin independent of cell adhesion effects., Krufka A, Johnson RG, Wylie CC, Heasman J., Dev Biol. August 1, 1998; 200 (1): 92-102.


What my mother told me: Examining the roles of maternal gene products in a vertebrate., Wylie CC, Heasman J., Trends Cell Biol. November 1, 1997; 7 (11): 459-62.   


Modified mRNA rescue of maternal CK1/8 mRNA depletion in Xenopus oocytes., Raats JM, Gell D, Vickers L, Heasman J, Wylie C., Antisense Nucleic Acid Drug Dev. August 1, 1997; 7 (4): 263-77.


The roles of maternal alpha-catenin and plakoglobin in the early Xenopus embryo., Kofron M, Spagnuolo A, Klymkowsky M, Wylie C, Heasman J., Development. April 1, 1997; 124 (8): 1553-60.   


A kinesin-like protein is required for germ plasm aggregation in Xenopus., Robb DL, Heasman J, Raats J, Wylie C., Cell. November 29, 1996; 87 (5): 823-31.   

???pagination.result.page??? 1 2 ???pagination.result.next???