Click here to close Hello! We notice that you are using Internet Explorer, which is not supported by Xenbase and may cause the site to display incorrectly. We suggest using a current version of Chrome, FireFox, or Safari.

Profile Publications (38)
XB-PERS-743

Publications By Margaret Saha

???pagination.result.count???

???pagination.result.page??? 1


Deciphering the Calcium Code: A Review of Calcium Activity Analysis Methods Employed to Identify Meaningful Activity in Early Neural Development., Paudel S, Yue M, Nalamalapu R, Saha MS., Biomolecules. January 22, 2024; 14 (1):   


Tissue Rotation of the Xenopus Anterior-Posterior Neural Axis Reveals Profound but Transient Plasticity at the Mid-Gastrula Stage., Bolkhovitinov L, Weselman BT, Shaw GA, Dong C, Giribhattanavar J, Saha MS., J Dev Biol. September 10, 2022; 10 (3):   


The tweety Gene Family: From Embryo to Disease., Nalamalapu RR, Yue M, Stone AR, Murphy S, Saha MS., Front Mol Neurosci. June 28, 2021; 14 672511.   


Xenopus embryos show a compensatory response following perturbation of the Notch signaling pathway., Solini GE, Pownall ME, Hillenbrand MJ, Tocheny CE, Paudel S, Halleran AD, Bianchi CH, Huyck RW, Saha MS., Dev Biol. April 15, 2020; 460 (2): 99-107.   


Fluorescent Calcium Imaging and Subsequent In Situ Hybridization for Neuronal Precursor Characterization in Xenopus laevis., Ablondi EF, Paudel S, Sehdev M, Marken JP, Halleran AD, Rahman A, Kemper P, Saha MS., J Vis Exp. February 18, 2020; (156):


Calcium Activity Dynamics Correlate with Neuronal Phenotype at a Single Cell Level and in a Threshold-Dependent Manner., Paudel S, Ablondi E, Sehdev M, Marken J, Halleran A, Rahman A, Kemper P, Saha MS., Int J Mol Sci. April 16, 2019; 20 (8):   


Expression of trpv channels during Xenopus laevis embryogenesis., Dong C, Paudel S, Amoh NY, Saha MS., Gene Expr Patterns. December 1, 2018; 30 64-70.   


Calcium Signaling in Vertebrate Development and Its Role in Disease., Paudel S, Sindelar R, Saha M., Int J Mol Sci. October 30, 2018; 19 (11):   


Transcriptome of Xenopus andrei, an octoploid frog, during embryonic development., Pownall ME, Cutler RR, Saha MS., Data Brief. May 16, 2018; 19 501-505.   


Histological Observation of Teratogenic Phenotypes Induced in Frog Embryo Assays., Pownall ME, Saha MS., Methods Mol Biol. January 1, 2018; 1797 309-323.


A Markovian Entropy Measure for the Analysis of Calcium Activity Time Series., Marken JP, Halleran AD, Rahman A, Odorizzi L, LeFew MC, Golino CA, Kemper P, Saha MS., PLoS One. December 15, 2016; 11 (12): e0168342.   


Methylmercury exposure during early Xenopus laevis development affects cell proliferation and death but not neural progenitor specification., Huyck RW, Nagarkar M, Olsen N, Clamons SE, Saha MS., Neurotoxicol Teratol. January 1, 2015; 47 102-13.   


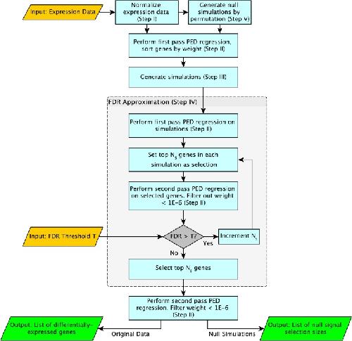
A regression-based differential expression detection algorithm for microarray studies with ultra-low sample size., Vasiliu D, Clamons S, McDonough M, Rabe B, Saha M., PLoS One. January 1, 2015; 10 (3): e0118198.   


Characterization of tweety gene (ttyh1-3) expression in Xenopus laevis during embryonic development., Halleran AD, Sehdev M, Rabe BA, Huyck RW, Williams CC, Saha MS., Gene Expr Patterns. January 1, 2015; 17 (1): 38-44.   


The role of voltage-gated calcium channels in neurotransmitter phenotype specification: Coexpression and functional analysis in Xenopus laevis., Lewis BB, Miller LE, Herbst WA, Saha MS., J Comp Neurol. August 1, 2014; 522 (11): 2518-31.   


Dissection, culture, and analysis of Xenopus laevis embryonic retinal tissue., McDonough MJ, Allen CE, Ng-Sui-Hing NK, Rabe BA, Lewis BB, Saha MS., J Vis Exp. December 23, 2012; (70):


Cloning and characterization of GABAA α subunits and GABAB subunits in Xenopus laevis during development., Kaeser GE, Rabe BA, Saha MS., Dev Dyn. April 1, 2011; 240 (4): 862-73.   


Cloning and characterization of voltage-gated calcium channel alpha1 subunits in Xenopus laevis during development., Lewis BB, Wester MR, Miller LE, Nagarkar MD, Johnson MB, Saha MS., Dev Dyn. November 1, 2009; 238 (11): 2891-902.   


Expression patterns of glycine transporters (xGlyT1, xGlyT2, and xVIAAT) in Xenopus laevis during early development., Wester MR, Teasley DC, Byers SL, Saha MS., Gene Expr Patterns. April 1, 2008; 8 (4): 261-70.   


The use of microarray technology in nonmammalian vertebrate systems., Sipe CW, Saha MS., Methods Mol Biol. January 1, 2007; 382 1-16.


The role of early lineage in GABAergic and glutamatergic cell fate determination in Xenopus laevis., Li M, Sipe CW, Hoke K, August LL, Wright MA, Saha MS., J Comp Neurol. April 20, 2006; 495 (6): 645-57.   


In silico gene selection strategy for custom microarray design., Dondeti VR, Sipe CW, Saha MS., Biotechniques. November 1, 2004; 37 (5): 768-70, 772, 774-6.


Short upstream region drives dynamic expression of hypoxia-inducible factor 1alpha during Xenopus development., Sipe CW, Gruber EJ, Saha MS., Dev Dyn. June 1, 2004; 230 (2): 229-38.   


The vesicular glutamate transporter 1 (xVGlut1) is expressed in discrete regions of the developing Xenopus laevis nervous system., Gleason KK, Dondeti VR, Hsia HL, Cochran ER, Gumulak-Smith J, Saha MS., Gene Expr Patterns. August 1, 2003; 3 (4): 503-7.   


Tissue-specific developmental expression of OAX, a Xenopus repetitive element., Whitford KL, Oakes JA, Scholnick J, Saha MS., Mech Dev. June 1, 2000; 94 (1-2): 209-12.   


Elucidating the origins of the vascular system: a fate map of the vascular endothelial and red blood cell lineages in Xenopus laevis., Mills KR, Kruep D, Saha MS., Dev Biol. May 15, 1999; 209 (2): 352-68.   


Differential expression of Xenopus ribosomal protein gene XlrpS1c., Scholnick J, Sinor C, Oakes J, Outten W, Saha M., Biochim Biophys Acta. October 9, 1997; 1354 (1): 72-82.   


Neovascularization of the Xenopus embryo., Cleaver O, Tonissen KF, Saha MS, Krieg PA., Dev Dyn. September 1, 1997; 210 (1): 66-77.   


Retinoic acid can block differentiation of the myocardium after heart specification., Drysdale TA, Patterson KD, Saha M, Krieg PA., Dev Biol. August 15, 1997; 188 (2): 205-15.   


Dorsal-ventral patterning during neural induction in Xenopus: assessment of spinal cord regionalization with xHB9, a marker for the motor neuron region., Saha MS, Miles RR, Grainger RM., Dev Biol. July 15, 1997; 187 (2): 209-23.   


Xenopus gamma-crystallin gene expression: evidence that the gamma-crystallin gene family is transcribed in lens and nonlens tissues., Smolich BD, Tarkington SK, Saha MS, Grainger RM., Mol Cell Biol. February 1, 1994; 14 (2): 1355-63.


Characterization of Xenopus laevis gamma-crystallin-encoding genes., Smolich BD, Tarkington SK, Saha MS, Stathakis DG, Grainger RM., Gene. June 30, 1993; 128 (2): 189-95.


Interphotoreceptor retinoid-binding protein (IRBP), a major 124 kDa glycoprotein in the interphotoreceptor matrix of Xenopus laevis. Characterization, molecular cloning and biosynthesis., Gonzalez-Fernandez F, Kittredge KL, Rayborn ME, Hollyfield JG, Landers RA, Saha M, Grainger RM., J Cell Sci. May 1, 1993; 105 ( Pt 1) 7-21.   


A Xenopus homebox gene defines dorsal-ventral domains in the developing brain., Saha MS, Michel RB, Gulding KM, Grainger RM., Development. May 1, 1993; 118 (1): 193-202.   


Early opsin expression in Xenopus embryos precedes photoreceptor differentiation., Saha MS, Grainger RM., Brain Res Mol Brain Res. March 1, 1993; 17 (3-4): 307-18.


A labile period in the determination of the anterior-posterior axis during early neural development in Xenopus., Saha MS, Grainger RM., Neuron. June 1, 1992; 8 (6): 1003-14.


Recent progress on the mechanisms of embryonic lens formation., Grainger RM, Henry JJ, Saha MS, Servetnick M., Eye (Lond). January 1, 1992; 6 ( Pt 2) 117-22.


Embryonic lens induction: more than meets the optic vesicle., Saha MS, Spann CL, Grainger RM., Cell Differ Dev. December 1, 1989; 28 (3): 153-71.

???pagination.result.page??? 1