Click here to close Hello! We notice that you are using Internet Explorer, which is not supported by Xenbase and may cause the site to display incorrectly. We suggest using a current version of Chrome, FireFox, or Safari.

Profile Publications (47)
XB-PERS-722

Publications By Douglas W Houston

???pagination.result.count???

???pagination.result.page??? 1


Sponge bHLH Gene Expression in Xenopus laevis Disrupts Inner Ear and Lateral Line Neurosensory Development and Otic Afferent Pathfinding., Elliott KL, Gordy C, Ingvalson H, Holliday C, Halyko J, Houston DW, Degnan BM, Fritzsch B., Int J Mol Sci. June 7, 2025; 26 (12):


Genome-wide analysis of copy-number variation in humans with cleft lip and/or cleft palate identifies COBLL1, RIC1, and ARHGEF38 as clefting genes., Lansdon LA, Dickinson A, Arlis S, Liu H, Hlas A, Hahn A, Bonde G, Long A, Standley J, Tyryshkina A, Wehby G, Lee NR, Daack-Hirsch S, Mohlke K, Girirajan S, Darbro BW, Cornell RA, Houston DW, Murray JC, Manak JR., Am J Hum Genet. January 5, 2023; 110 (1): 71-91.   


Maternal Wnt11b regulates cortical rotation during Xenopus axis formation: analysis of maternal-effect wnt11b mutants., Houston DW, Elliott KL, Coppenrath K, Wlizla M, Horb ME., Development. September 1, 2022; 149 (17):   


Topologically correct central projections of tetrapod inner ear afferents require Fzd3., Duncan JS, Fritzsch B, Houston DW, Ketchum EM, Kersigo J, Deans MR, Elliott KL., Sci Rep. July 16, 2019; 9 (1): 10298.   


A single KH domain in Bicaudal-C links mRNA binding and translational repression functions to maternal development., Dowdle ME, Park S, Blaser Imboden S, Fox CA, Houston DW, Sheets MD., Development. May 15, 2019; 146 (10):   


Culture and Host Transfer of Xenopus Oocytes for Maternal mRNA Depletion and Genome Editing Experiments., Houston DW., Methods Mol Biol. January 1, 2019; 1920 1-16.


Transplantation of Ears Provides Insights into Inner Ear Afferent Pathfinding Properties., Gordy C, Straka H, Houston DW, Fritzsch B, Elliott KL., Dev Neurobiol. November 1, 2018; 78 (11): 1064-1080.   


Oocyte Host-Transfer and Maternal mRNA Depletion Experiments in Xenopus., Houston DW., Cold Spring Harb Protoc. October 1, 2018; 2018 (10):


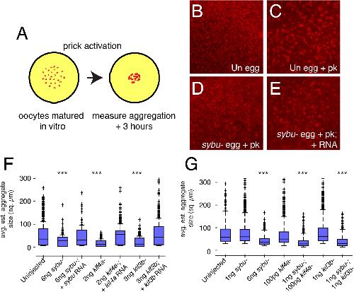
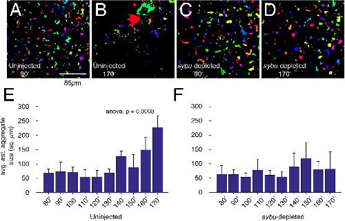
Role of maternal Xenopus syntabulin in germ plasm aggregation and primordial germ cell specification., Oh D, Houston DW., Dev Biol. December 15, 2017; 432 (2): 237-247.   


Identification of Isthmin 1 as a Novel Clefting and Craniofacial Patterning Gene in Humans., Lansdon LA, Darbro BW, Petrin AL, Hulstrand AM, Standley JM, Brouillette RB, Long A, Mansilla MA, Cornell RA, Murray JC, Houston DW, Manak JR., Genetics. January 21, 2017; 208 (1): 283-296.   


RNA Localization in the Vertebrate Oocyte: Establishment of Oocyte Polarity and Localized mRNA Assemblages., Oh D, Houston DW., Results Probl Cell Differ. January 1, 2017; 63 189-208.


Genome evolution in the allotetraploid frog Xenopus laevis., Session AM, Uno Y, Kwon T, Chapman JA, Toyoda A, Takahashi S, Fukui A, Hikosaka A, Suzuki A, Kondo M, van Heeringen SJ, Quigley I, Heinz S, Ogino H, Ochi H, Hellsten U, Lyons JB, Simakov O, Putnam N, Stites J, Kuroki Y, Tanaka T, Michiue T, Watanabe M, Bogdanovic O, Lister R, Georgiou G, Paranjpe SS, van Kruijsbergen I, Shu S, Carlson J, Kinoshita T, Ohta Y, Mawaribuchi S, Jenkins J, Grimwood J, Schmutz J, Mitros T, Mozaffari SV, Suzuki Y, Haramoto Y, Yamamoto TS, Takagi C, Heald R, Miller K, Haudenschild C, Kitzman J, Nakayama T, Izutsu Y, Robert J, Fortriede J, Burns K, Lotay V, Karimi K, Yasuoka Y, Dichmann DS, Flajnik MF, Houston DW, Shendure J, DuPasquier L, Vize PD, Zorn AM, Ito M, Marcotte EM, Wallingford JB, Ito Y, Asashima M, Ueno N, Matsuda Y, Veenstra GJ, Fujiyama A, Harland RM, Taira M, Rokhsar DS., Nature. October 20, 2016; 538 (7625): 336-343.   


A gradient of maternal Bicaudal-C controls vertebrate embryogenesis via translational repression of mRNAs encoding cell fate regulators., Park S, Blaser S, Marchal MA, Houston DW, Sheets MD., Development. March 1, 2016; 143 (5): 864-71.   


Ear manipulations reveal a critical period for survival and dendritic development at the single-cell level in Mauthner neurons., Elliott KL, Houston DW, DeCook R, Fritzsch B., Dev Neurobiol. December 1, 2015; 75 (12): 1339-51.   


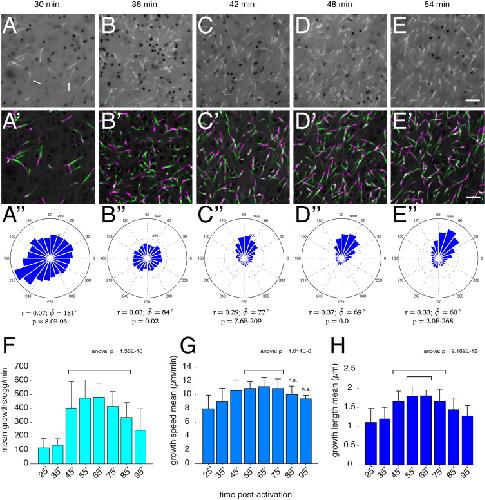
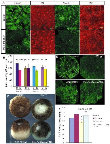
The dynamics of plus end polarization and microtubule assembly during Xenopus cortical rotation., Olson DJ, Oh D, Houston DW., Dev Biol. May 15, 2015; 401 (2): 249-63.   


Sensory afferent segregation in three-eared frogs resemble the dominance columns observed in three-eyed frogs., Elliott KL, Houston DW, Fritzsch B., Sci Rep. February 9, 2015; 5 8338.   


Regulation of neurogenesis by Fgf8a requires Cdc42 signaling and a novel Cdc42 effector protein., Hulstrand AM, Houston DW., Dev Biol. October 15, 2013; 382 (2): 385-99.   


Maternal Dead-End1 is required for vegetal cortical microtubule assembly during Xenopus axis specification., Mei W, Jin Z, Lai F, Schwend T, Houston DW, King ML, Yang J., Development. June 1, 2013; 140 (11): 2334-44.   


Transplantation of Xenopus laevis tissues to determine the ability of motor neurons to acquire a novel target., Elliott KL, Houston DW, Fritzsch B., PLoS One. January 1, 2013; 8 (2): e55541.   


Regulation of cell polarity and RNA localization in vertebrate oocytes., Houston DW., Int Rev Cell Mol Biol. January 1, 2013; 306 127-85.


Differential role of Axin RGS domain function in Wnt signaling during anteroposterior patterning and maternal axis formation., Schneider PN, Slusarski DC, Houston DW., PLoS One. January 1, 2012; 7 (9): e44096.   


Maternal mRNA knock-down studies: antisense experiments using the host-transfer technique in Xenopus laevis and Xenopus tropicalis., Olson DJ, Hulstrand AM, Houston DW., Methods Mol Biol. January 1, 2012; 917 167-82.


Cortical rotation and messenger RNA localization in Xenopus axis formation., Houston DW., Wiley Interdiscip Rev Dev Biol. January 1, 2012; 1 (3): 371-88.   


Use of fully modified 2'-O-methyl antisense oligos for loss-of-function studies in vertebrate embryos., Schneider PN, Olthoff JT, Matthews AJ, Houston DW., Genesis. March 1, 2011; 49 (3): 117-23.   


Fertilization of Xenopus oocytes using the host transfer method., Schneider PN, Hulstrand AM, Houston DW., J Vis Exp. November 2, 2010; (45):   


Identification of germ plasm-associated transcripts by microarray analysis of Xenopus vegetal cortex RNA., Cuykendall TN, Houston DW., Dev Dyn. June 1, 2010; 239 (6): 1838-48.   


The use of antisense oligonucleotides in Xenopus oocytes., Hulstrand AM, Schneider PN, Houston DW., Methods. May 1, 2010; 51 (1): 75-81.


Vegetally localized Xenopus trim36 regulates cortical rotation and dorsal axis formation., Cuykendall TN, Houston DW., Development. September 1, 2009; 136 (18): 3057-65.   


Maternal Interferon Regulatory Factor 6 is required for the differentiation of primary superficial epithelia in Danio and Xenopus embryos., Sabel JL, d'Alençon C, O'Brien EK, Van Otterloo E, Lutz K, Cuykendall TN, Schutte BC, Houston DW, Cornell RA., Dev Biol. January 1, 2009; 325 (1): 249-62.   


Maternal Tgif1 regulates nodal gene expression in Xenopus., Kerr TC, Cuykendall TN, Luettjohann LC, Houston DW., Dev Dyn. October 1, 2008; 237 (10): 2862-73.   


Calcium fluxes in dorsal forerunner cells antagonize beta-catenin and alter left-right patterning., Schneider I, Houston DW, Rebagliati MR, Slusarski DC., Development. January 1, 2008; 135 (1): 75-84.   


Image analysis of calcium release dynamics., Freisinger CM, Houston DW, Slusarski DC., Methods Mol Biol. January 1, 2008; 468 145-56.


Wnt11/beta-catenin signaling in both oocytes and early embryos acts through LRP6-mediated regulation of axin., Kofron M, Birsoy B, Houston D, Tao Q, Wylie C, Heasman J., Development. February 1, 2007; 134 (3): 503-13.   


Maternal Xenopus Zic2 negatively regulates Nodal-related gene expression during anteroposterior patterning., Houston DW, Wylie C., Development. November 1, 2005; 132 (21): 4845-55.   


A novel G protein-coupled receptor, related to GPR4, is required for assembly of the cortical actin skeleton in early Xenopus embryos., Tao Q, Lloyd B, Lang S, Houston D, Zorn A, Wylie C., Development. June 1, 2005; 132 (12): 2825-36.   


The Xenopus LIM-homeodomain protein Xlim5 regulates the differential adhesion properties of early ectoderm cells., Houston DW, Wylie C., Development. June 1, 2003; 130 (12): 2695-704.   


A novel role for a nodal-related protein; Xnr3 regulates convergent extension movements via the FGF receptor., Yokota C, Kofron M, Zuck M, Houston DW, Isaacs H, Asashima M, Wylie CC, Heasman J., Development. May 1, 2003; 130 (10): 2199-212.   


Cloning and expression of Xenopus Lrp5 and Lrp6 genes., Houston DW, Wylie C., Mech Dev. September 1, 2002; 117 (1-2): 337-42.   


pygopus Encodes a nuclear protein essential for wingless/Wnt signaling., Belenkaya TY, Han C, Standley HJ, Lin X, Houston DW, Heasman J, Lin X., Development. September 1, 2002; 129 (17): 4089-101.   


Repression of organizer genes in dorsal and ventral Xenopus cells mediated by maternal XTcf3., Houston DW, Kofron M, Resnik E, Langland R, Destree O, Wylie C, Heasman J., Development. September 1, 2002; 129 (17): 4015-25.   


The role of maternal axin in patterning the Xenopus embryo., Kofron M, Klein P, Zhang F, Houston DW, Schaible K, Wylie C, Heasman J., Dev Biol. September 1, 2001; 237 (1): 183-201.


DEADSouth is a germ plasm specific DEAD-box RNA helicase in Xenopus related to eIF4A., MacArthur H, Houston DW, Bubunenko M, Mosquera L, King ML., Mech Dev. July 1, 2000; 95 (1-2): 291-5.   


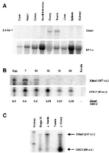
A critical role for Xdazl, a germ plasm-localized RNA, in the differentiation of primordial germ cells in Xenopus., Houston DW, King ML., Development. February 1, 2000; 127 (3): 447-56.   


Germ plasm and molecular determinants of germ cell fate., Houston DW, King ML., Curr Top Dev Biol. January 1, 2000; 50 155-81.


Xcat2 RNA is a translationally sequestered germ plasm component in Xenopus., MacArthur H, Bubunenko M, Houston DW, King ML., Mech Dev. June 1, 1999; 84 (1-2): 75-88.   


The role of maternal VegT in establishing the primary germ layers in Xenopus embryos., Zhang J, Houston DW, King ML, Payne C, Wylie C, Heasman J., Cell. August 21, 1998; 94 (4): 515-24.   


A Xenopus DAZ-like gene encodes an RNA component of germ plasm and is a functional homologue of Drosophila boule., Houston DW, Zhang J, Maines JZ, Wasserman SA, King ML., Development. January 1, 1998; 125 (2): 171-80.   

???pagination.result.page??? 1