Click here to close Hello! We notice that you are using Internet Explorer, which is not supported by Xenbase and may cause the site to display incorrectly. We suggest using a current version of Chrome, FireFox, or Safari.

Profile Publications (86)
XB-PERS-679

Publications By Jonathan M.W. Slack

???pagination.result.count???

???pagination.result.page??? 1 2 ???pagination.result.next???


Imparting regenerative capacity to limbs by progenitor cell transplantation., Lin G, Chen Y, Slack JM., Dev Cell. January 14, 2013; 24 (1): 41-51.   


Micro-computed tomography for visualizing limb skeletal regeneration in young Xenopus frogs., Chen Y, Lin G, Chen Y, Fok A, Slack JM., Anat Rec (Hoboken). October 1, 2012; 295 (10): 1562-5.


Transgenic analysis of signaling pathways required for Xenopus tadpole spinal cord and muscle regeneration., Lin G, Chen Y, Slack JM., Anat Rec (Hoboken). October 1, 2012; 295 (10): 1532-40.


Origin of muscle satellite cells in the Xenopus embryo., Daughters RS, Chen Y, Slack JM., Development. March 1, 2011; 138 (5): 821-30.   


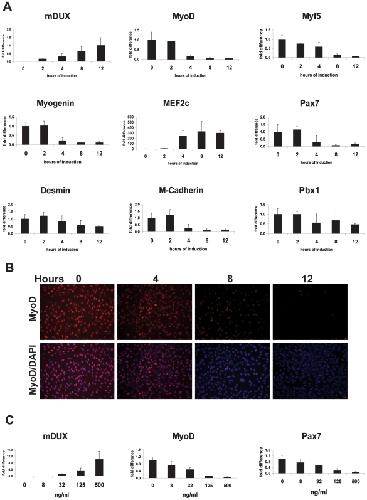
Biphasic myopathic phenotype of mouse DUX, an ORF within conserved FSHD-related repeats., Bosnakovski D, Daughters RS, Xu Z, Slack JM, Kyba M., PLoS One. September 16, 2009; 4 (9): e7003.   


Use of adenovirus for ectopic gene expression in Xenopus., Dutton JR, Daughters RS, Chen Y, O'Neill KE, Slack JM., Dev Dyn. June 1, 2009; 238 (6): 1412-21.   


Requirement for Wnt and FGF signaling in Xenopus tadpole tail regeneration., Lin G, Slack JM., Dev Biol. April 15, 2008; 316 (2): 323-35.   


The Xenopus tadpole: a new model for regeneration research., Slack JM, Lin G, Chen Y., Cell Mol Life Sci. January 1, 2008; 65 (1): 54-63.


The spark of life: electricity and regeneration., Slack JM., Sci STKE. September 25, 2007; 2007 (405): pe54.


Regeneration of neural crest derivatives in the Xenopus tadpole tail., Lin G, Chen Y, Slack JM., BMC Dev Biol. May 24, 2007; 7 56.   


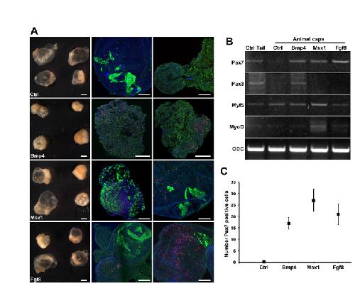
Temporal requirement for bone morphogenetic proteins in regeneration of the tail and limb of Xenopus tadpoles., Beck CW, Christen B, Barker D, Slack JM., Mech Dev. September 1, 2006; 123 (9): 674-88.   


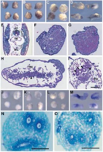
Control of muscle regeneration in the Xenopus tadpole tail by Pax7., Chen Y, Lin G, Slack JM., Development. June 1, 2006; 133 (12): 2303-13.   


Amphibian muscle regeneration--dedifferentiation or satellite cells?, Slack JM., Trends Cell Biol. June 1, 2006; 16 (6): 273-5.


Independent induction and formation of the dorsal and ventral fins in Xenopus laevis., Tucker AS, Slack JM., Dev Dyn. July 1, 2004; 230 (3): 461-7.   


Cell lineage tracing during Xenopus tail regeneration., Gargioli C, Slack JM., Development. June 1, 2004; 131 (11): 2669-79.


Cellular and molecular mechanisms of regeneration in Xenopus., Slack JM, Beck CW, Gargioli C, Christen B., Philos Trans R Soc Lond B Biol Sci. May 29, 2004; 359 (1445): 745-51.


Molecular pathways needed for regeneration of spinal cord and muscle in a vertebrate., Beck CW, Christen B, Slack JM., Dev Cell. September 1, 2003; 5 (3): 429-39.   


Regeneration-specific expression pattern of three posterior Hox genes., Christen B, Beck CW, Lombardo A, Slack JM., Dev Dyn. February 1, 2003; 226 (2): 349-55.   


Experimental conversion of liver to pancreas., Horb ME, Shen CN, Tosh D, Slack JM., Curr Biol. January 21, 2003; 13 (2): 105-15.   


Integrating developmental biology into the undergraduate curriculum at the University of Bath, United Kingdom., Slack JM., Int J Dev Biol. January 1, 2003; 47 (2-3): 99-104.


Expression of amylase and other pancreatic genes in Xenopus., Horb ME, Slack JM., Mech Dev. May 1, 2002; 113 (2): 153-7.   


Notch is required for outgrowth of the Xenopus tail bud., Beck CW, Slack JM., Int J Dev Biol. March 1, 2002; 46 (2): 255-8.


The role of BMP signaling in outgrowth and patterning of the Xenopus tail bud., Beck CW, Whitman M, Slack JM., Dev Biol. October 15, 2001; 238 (2): 303-14.   


Endoderm specification and differentiation in Xenopus embryos., Horb ME, Slack JM., Dev Biol. August 15, 2001; 236 (2): 330-43.   


Abdominal B-type Hox gene expression in Xenopus laevis., Lombardo A, Slack JM., Mech Dev. August 1, 2001; 106 (1-2): 191-5.   


An amphibian with ambition: a new role for Xenopus in the 21st century., Beck CW, Slack JM., Genome Biol. January 1, 2001; 2 (10): REVIEWS1029.   


Regional gene expression in the epithelia of the Xenopus tadpole gut., Chalmers AD, Slack JM, Beck CW., Mech Dev. August 1, 2000; 96 (1): 125-8.   


The Xenopus tadpole gut: fate maps and morphogenetic movements., Chalmers AD, Slack JM., Development. January 1, 2000; 127 (2): 381-92.   


Gut specific expression using mammalian promoters in transgenic Xenopus laevis., Beck CW, Slack JM., Mech Dev. November 1, 1999; 88 (2): 221-7.   


The first pure embryonic inducing factor., Slack JM., Bioessays. June 1, 1999; 21 (6): 525-32.


A developmental pathway controlling outgrowth of the Xenopus tail bud., Beck CW, Slack JM., Development. April 1, 1999; 126 (8): 1611-20.   


Anteroposterior patterning by mutual repression of orthodenticle and caudal-type transcription factors., Isaacs HV, Andreazzoli M, Slack JM., Evol Dev. January 1, 1999; 1 (3): 143-52.


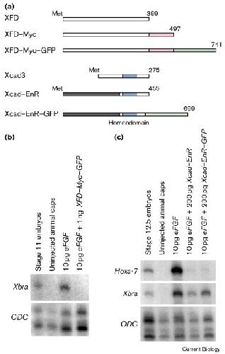
Spatial response to fibroblast growth factor signalling in Xenopus embryos., Christen B, Slack JM., Development. January 1, 1999; 126 (1): 119-25.


Expression and functions of FGF-3 in Xenopus development., Lombardo A, Isaacs HV, Slack JM., Int J Dev Biol. November 1, 1998; 42 (8): 1101-7.   


All limbs are not the same., Christen B, Slack JM., Nature. September 17, 1998; 395 (6699): 230-1.


Development of the gut in Xenopus laevis., Chalmers AD, Slack JM., Dev Dyn. August 1, 1998; 212 (4): 509-21.   


Regulation of Hox gene expression and posterior development by the Xenopus caudal homologue Xcad3., Isaacs HV, Pownall ME, Slack JM., EMBO J. June 15, 1998; 17 (12): 3413-27.


Two phases of Hox gene regulation during early Xenopus development., Pownall ME, Isaacs HV, Slack JM., Curr Biol. May 21, 1998; 8 (11): 673-6.   


Postgastrulation effects of fibroblast growth factor on Xenopus development., Lombardo A, Slack JM., Dev Dyn. May 1, 1998; 212 (1): 75-85.


Analysis of the developing Xenopus tail bud reveals separate phases of gene expression during determination and outgrowth., Beck CW, Slack JM., Mech Dev. March 1, 1998; 72 (1-2): 41-52.   


FGF-8 is associated with anteroposterior patterning and limb regeneration in Xenopus., Christen B, Slack JM., Dev Biol. December 15, 1997; 192 (2): 455-66.   


Inhibition of eFGF expression in Xenopus embryos by antisense mRNA., Lombardo A, Slack JM., Dev Dyn. February 1, 1997; 208 (2): 162-9.


eFGF, Xcad3 and Hox genes form a molecular pathway that establishes the anteroposterior axis in Xenopus., Pownall ME, Tucker AS, Slack JM, Isaacs HV., Development. December 1, 1996; 122 (12): 3881-92.   


Developmental biology. High hops of transgenic frogs., Slack JM., Nature. October 31, 1996; 383 (6603): 765-6.


XFGF-9: a new fibroblast growth factor from Xenopus embryos., Song J, Slack JM., Dev Dyn. August 1, 1996; 206 (4): 427-36.


eFGF is expressed in the dorsal midline of Xenopus laevis., Isaacs HV, Pownall ME, Slack JM., Int J Dev Biol. August 1, 1995; 39 (4): 575-9.   


Tail bud determination in the vertebrate embryo., Tucker AS, Slack JM., Curr Biol. July 1, 1995; 5 (7): 807-13.   


Spatial and temporal expression of basic fibroblast growth factor (FGF-2) mRNA and protein in early Xenopus development., Song J, Slack JM., Mech Dev. December 1, 1994; 48 (3): 141-51.


Developmental biology. How to make the gradient., Slack JM., Nature. October 6, 1994; 371 (6497): 477-8.


eFGF regulates Xbra expression during Xenopus gastrulation., Isaacs HV, Pownall ME, Slack JM., EMBO J. October 3, 1994; 13 (19): 4469-81.

???pagination.result.page??? 1 2 ???pagination.result.next???