Click here to close Hello! We notice that you are using Internet Explorer, which is not supported by Xenbase and may cause the site to display incorrectly. We suggest using a current version of Chrome, FireFox, or Safari.

Profile Publications (80)
XB-PERS-639

Publications By Louis Du Pasquier

???pagination.result.count???

???pagination.result.page??? 1 2 ???pagination.result.next???


Genome evolution in the allotetraploid frog Xenopus laevis., Session AM, Uno Y, Kwon T, Chapman JA, Toyoda A, Takahashi S, Fukui A, Hikosaka A, Suzuki A, Kondo M, van Heeringen SJ, Quigley I, Heinz S, Ogino H, Ochi H, Hellsten U, Lyons JB, Simakov O, Putnam N, Stites J, Kuroki Y, Tanaka T, Michiue T, Watanabe M, Bogdanovic O, Lister R, Georgiou G, Paranjpe SS, van Kruijsbergen I, Shu S, Carlson J, Kinoshita T, Ohta Y, Mawaribuchi S, Jenkins J, Grimwood J, Schmutz J, Mitros T, Mozaffari SV, Suzuki Y, Haramoto Y, Yamamoto TS, Takagi C, Heald R, Miller K, Haudenschild C, Kitzman J, Nakayama T, Izutsu Y, Robert J, Fortriede J, Burns K, Lotay V, Karimi K, Yasuoka Y, Dichmann DS, Flajnik MF, Houston DW, Shendure J, DuPasquier L, Vize PD, Zorn AM, Ito M, Marcotte EM, Wallingford JB, Ito Y, Asashima M, Ueno N, Matsuda Y, Veenstra GJ, Fujiyama A, Harland RM, Taira M, Rokhsar DS., Nature. October 20, 2016; 538 (7625): 336-343.   


The fate of duplicated immunity genes in the dodecaploid Xenopus ruwenzoriensis., Du Pasquier L, Wilson M, Sammut B., Front Biosci (Landmark Ed). January 1, 2009; 14 (1): 177-91.


Transgenesis procedures in Xenopus., Chesneau A, Sachs LM, Chai N, Chen Y, Du Pasquier L, Loeber J, Pollet N, Reilly M, Weeks DL, Bronchain OJ., Biol Cell. September 1, 2008; 100 (9): 503-21.


Costimulatory receptors in jawed vertebrates: conserved CD28, odd CTLA4 and multiple BTLAs., Bernard D, Hansen JD, Du Pasquier L, Lefranc MP, Benmansour A, Boudinot P., Dev Comp Immunol. January 1, 2007; 31 (3): 255-71.


Survivin increased vascular development during Xenopus ontogenesis., Du Pasquier D, Phung AC, Ymlahi-Ouazzani Q, Sinzelle L, Ballagny C, Bronchain O, Du Pasquier L, Mazabraud A., Differentiation. June 1, 2006; 74 (5): 244-53.   


An evolutionarily conserved target motif for immunoglobulin class-switch recombination., Zarrin AA, Alt FW, Chaudhuri J, Stokes N, Kaushal D, Du Pasquier L, Tian M., Nat Immunol. December 1, 2004; 5 (12): 1275-81.


Innate immunity in early chordates and the appearance of adaptive immunity., Du Pasquier L., C R Biol. June 1, 2004; 327 (6): 591-601.


Immunoglobulin superfamily receptors in protochordates: before RAG time., Du Pasquier L, Zucchetti I, De Santis R., Immunol Rev. April 1, 2004; 198 233-48.


Heterogeneity of endothelial junctions is reflected by differential expression and specific subcellular localization of the three JAM family members., Aurrand-Lions M, Johnson-Leger C, Wong C, Du Pasquier L, Imhof BA., Blood. December 15, 2001; 98 (13): 3699-707.


Major histocompatibility complex and immunoglobulin loci visualized by in situ hybridization on Xenopus chromosomes., Courtet M, Flajnik M, Du Pasquier L., Dev Comp Immunol. March 1, 2001; 25 (2): 149-57.


Biochemical analysis of the Xenopus laevis TCR/CD3 complex supports the "stepwise evolution" model., Göbel TW, Meier EL, Du Pasquier L., Eur J Immunol. October 1, 2000; 30 (10): 2775-81.


B-cell development in the amphibian Xenopus., Du Pasquier L, Robert J, Courtet M, Mussmann R., Immunol Rev. June 1, 2000; 175 201-13.


Trans-species polymorphism of the major histocompatibility complex-encoded proteasome subunit LMP7 in an amphibian genus, Xenopus., Nonaka M, Yamada-Namikawa C, Flajnik MF, Du Pasquier L., Immunogenetics. March 1, 2000; 51 (3): 186-92.


Two ancient allelic lineages at the single classical class I locus in the Xenopus MHC., Flajnik MF, Ohta Y, Greenberg AS, Salter-Cid L, Carrizosa A, Du Pasquier L, Kasahara M., J Immunol. October 1, 1999; 163 (7): 3826-33.


Axolotl MHC architecture and polymorphism., Sammut B, Du Pasquier L, Ducoroy P, Laurens V, Marcuz A, Tournefier A., Eur J Immunol. September 1, 1999; 29 (9): 2897-907.


Duplication and MHC linkage of the CTX family of genes in Xenopus and in mammals., Du Pasquier L, Courtet M, Chrétien I., Eur J Immunol. May 1, 1999; 29 (5): 1729-39.


CTX, a Xenopus thymocyte receptor, defines a molecular family conserved throughout vertebrates., Chrétien I, Marcuz A, Courtet M, Katevuo K, Vainio O, Heath JK, White SJ, Du Pasquier L., Eur J Immunol. December 1, 1998; 28 (12): 4094-104.


Development of the early B cell population in Xenopus., Mussmann R, Courtet M, Du Pasquier L., Eur J Immunol. September 1, 1998; 28 (9): 2947-59.


Conservation of a master hematopoietic switch gene during vertebrate evolution: isolation and characterization of Ikaros from teleost and amphibian species., Hansen JD, Strassburger P, Du Pasquier L., Eur J Immunol. November 1, 1997; 27 (11): 3049-58.


Microsites for immunoglobulin switch recombination breakpoints from Xenopus to mammals., Mussmann R, Courtet M, Schwager J, Du Pasquier L., Eur J Immunol. October 1, 1997; 27 (10): 2610-9.


The T cell receptor beta genes of Xenopus., Chretien I, Marcuz A, Fellah J, Charlemagne J, Du Pasquier L., Eur J Immunol. March 1, 1997; 27 (3): 763-71.


Cross-linking CTX, a novel thymocyte-specific molecule, inhibits the growth of lymphoid tumor cells in Xenopus., Robert J, Chretien I, Guiet C, Du Pasquier L., Mol Immunol. February 1, 1997; 34 (2): 133-43.


Effects of thymectomy and tolerance induction on tumor immunity in adult Xenopus laevis., Robert J, Guiet C, Cohen N, Du Pasquier L., Int J Cancer. January 27, 1997; 70 (3): 330-4.


Is Xenopus IgX an analog of IgA?, Mussmann R, Du Pasquier L, Hsu E., Eur J Immunol. December 1, 1996; 26 (12): 2823-30.


Why is CTX all the RAGE?, Du Pasquier L, Chrétien I., Res Immunol. May 1, 1996; 147 (4): 261-6.


CTX, a novel molecule specifically expressed on the surface of cortical thymocytes in Xenopus., Chrétien I, Robert J, Marcuz A, Garcia-Sanz JA, Courtet M, Du Pasquier L., Eur J Immunol. April 1, 1996; 26 (4): 780-91.


Membrane exon sequences of the three Xenopus Ig classes explain the evolutionary origin of mammalian isotypes., Mussmann R, Wilson M, Marcuz A, Courtet M, Du Pasquier L., Eur J Immunol. February 1, 1996; 26 (2): 409-14.


RING3 is linked to the Xenopus major histocompatibility complex., Salter-Cid L, Du Pasquier L, Flajnik M., Immunogenetics. January 1, 1996; 44 (5): 397-9.


Identification of a candidate CD5 homologue in the amphibian Xenopus laevis., Jürgens JB, Gartland LA, Du Pasquier L, Horton JD, Göbel TW, Cooper MD., J Immunol. November 1, 1995; 155 (9): 4218-23.


Ontogeny of the alloimmune response against a transplanted tumor in Xenopus laevis., Robert J, Guiet C, Du Pasquier L., Differentiation. October 1, 1995; 59 (3): 135-44.


A Xenopus lymphoid tumor cell line with complete Ig genes rearrangements and T-cell characteristics., Du Pasquier L, Courtet M, Robert J., Mol Immunol. June 1, 1995; 32 (8): 583-93.


The third component of Xenopus complement: cDNA cloning, structural and functional analysis, and evidence for an alternate C3 transcript., Lambris JD, Pappas J, Mavroidis M, Wang Y, Manzone H, Schwager J, Du Pasquier L, Silibovsky R, Swager J [corrected to Schwager J., Eur J Immunol. February 1, 1995; 25 (2): 572-8.


Somatic mutations during an immune response in Xenopus tadpoles., Wilson M, Marcuz A, du Pasquier L., Dev Immunol. January 1, 1995; 4 (3): 227-34.


Exon-intron organization of Xenopus MHC class II beta chain genes., Kobari F, Sato K, Shum BP, Tochinai S, Katagiri M, Ishibashi T, Du Pasquier L, Flajnik MF, Kasahara M., Immunogenetics. January 1, 1995; 42 (5): 376-85.


Lymphoid tumors of Xenopus laevis with different capacities for growth in larvae and adults., Robert J, Guiet C, Du Pasquier L., Dev Immunol. January 1, 1994; 3 (4): 297-307.


Isolation of a classical MHC class I cDNA from an amphibian. Evidence for only one class I locus in the Xenopus MHC., Shum BP, Avila D, Du Pasquier L, Kasahara M, Flajnik MF., J Immunol. November 15, 1993; 151 (10): 5376-86.


A novel type of class I gene organization in vertebrates: a large family of non-MHC-linked class I genes is expressed at the RNA level in the amphibian Xenopus., Flajnik MF, Kasahara M, Shum BP, Salter-Cid L, Taylor E, Du Pasquier L., EMBO J. November 1, 1993; 12 (11): 4385-96.


Diversity of expressed V and J regions of immunoglobulin light chains in Xenopus laevis., Stewart SE, Du Pasquier L, Steiner LA., Eur J Immunol. August 1, 1993; 23 (8): 1980-6.


Evolution of the MHC: isolation of class II beta-chain cDNA clones from the amphibian Xenopus laevis., Sato K, Flajnik MF, Du Pasquier L, Katagiri M, Kasahara M., J Immunol. April 1, 1993; 150 (7): 2831-43.


What limits affinity maturation of antibodies in Xenopus--the rate of somatic mutation or the ability to select mutants?, Wilson M, Hsu E, Marcuz A, Courtet M, Du Pasquier L, Steinberg C., EMBO J. December 1, 1992; 11 (12): 4337-47.


Changes in the amphibian antibody repertoire are correlated with metamorphosis and not with age or size., Hsu E, Du Pasquier L., Dev Immunol. January 1, 1992; 2 (1): 1-6.


Sequences of C mu and the VH1 family in LG7, a clonable strain of Xenopus, homozygous for the immunoglobulin loci., Wilson M, Marcuz A, Courtet M, Du Pasquier L., Dev Immunol. January 1, 1992; 3 (1): 13-24.


In vitro growth of thymic tumor cell lines from Xenopus., Du Pasquier L, Robert J., Dev Immunol. January 1, 1992; 2 (4): 295-307.


Light chain heterogeneity in the amphibian Xenopus., Hsu E, Lefkovits I, Flajnik M, Du Pasquier L., Mol Immunol. September 1, 1991; 28 (9): 985-94.


The ontogeny of diversification at the immunoglobulin heavy chain locus in Xenopus., Schwager J, Bürckert N, Courtet M, Du Pasquier L., EMBO J. September 1, 1991; 10 (9): 2461-70.


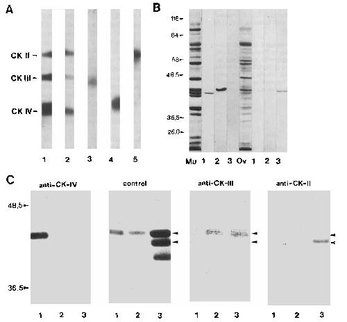
Differential expression of creatine kinase isozymes during development of Xenopus laevis: an unusual heterodimeric isozyme appears at metamorphosis., Robert J, Du Pasquier L, Kobel HR., Differentiation. February 1, 1991; 46 (1): 23-34.   


Evolution of the MHC: antigenicity and unusual tissue distribution of Xenopus (frog) class II molecules., Flajnik MF, Ferrone S, Cohen N, Du Pasquier L., Mol Immunol. May 1, 1990; 27 (5): 451-62.


Expression of MHC class II antigens during Xenopus development., Du Pasquier L, Flajnik MF., Dev Immunol. January 1, 1990; 1 (2): 85-95.


Genetic basis of the antibody repertoire in Xenopus: analysis of the Vh diversity., Schwager J, Bürckert N, Courtet M, Du Pasquier L., EMBO J. October 1, 1989; 8 (10): 2989-3001.


Conservation of structural and functional domains in complement component C3 of Xenopus and mammals., Grossberger D, Marcuz A, Du Pasquier L, Lambris JD., Proc Natl Acad Sci U S A. February 1, 1989; 86 (4): 1323-7.

???pagination.result.page??? 1 2 ???pagination.result.next???