Click here to close Hello! We notice that you are using Internet Explorer, which is not supported by Xenbase and may cause the site to display incorrectly. We suggest using a current version of Chrome, FireFox, or Safari.

Profile Publications (148)
XB-PERS-610

Publications By James L. Maller

???pagination.result.count???

???pagination.result.page??? 1 2 3 ???pagination.result.next???


Pioneering the Xenopus oocyte and egg extract system., Maller JL., J Biol Chem. June 22, 2012; 287 (26): 21640-53.


Regulation of Greatwall kinase during Xenopus oocyte maturation., Yamamoto TM, Blake-Hodek K, Williams BC, Lewellyn AL, Goldberg ML, Maller JL., Mol Biol Cell. July 1, 2011; 22 (13): 2157-64.   


Identification of a polo-like kinase 4-dependent pathway for de novo centriole formation., Eckerdt F, Yamamoto TM, Lewellyn AL, Maller JL., Curr Biol. March 8, 2011; 21 (5): 428-32.


A novel role for greatwall kinase in recovery from DNA damage., Peng A, Yamamoto TM, Goldberg ML, Maller JL., Cell Cycle. November 1, 2010; 9 (21): 4364-9.


Repo-man controls a protein phosphatase 1-dependent threshold for DNA damage checkpoint activation., Peng A, Lewellyn AL, Schiemann WP, Maller JL., Curr Biol. March 9, 2010; 20 (5): 387-96.


Discovery of a distinct domain in cyclin A sufficient for centrosomal localization independently of Cdk binding., Pascreau G, Eckerdt F, Churchill ME, Maller JL., Proc Natl Acad Sci U S A. February 16, 2010; 107 (7): 2932-7.


Phosphorylation of TPX2 by Plx1 enhances activation of Aurora A., Eckerdt F, Pascreau G, Phistry M, Lewellyn AL, DePaoli-Roach AA, Maller JL., Cell Cycle. August 1, 2009; 8 (15): 2413-9.


Phosphorylation of p53 is regulated by TPX2-Aurora A in xenopus oocytes., Pascreau G, Eckerdt F, Lewellyn AL, Prigent C, Maller JL., J Biol Chem. February 27, 2009; 284 (9): 5497-505.   


Cyclin E-dependent localization of MCM5 regulates centrosome duplication., Ferguson RL, Maller JL., J Cell Sci. October 1, 2008; 121 (Pt 19): 3224-32.


Regulation of the Aurora B chromosome passenger protein complex during oocyte maturation in Xenopus laevis., Yamamoto TM, Lewellyn AL, Maller JL., Mol Cell Biol. June 1, 2008; 28 (12): 4196-203.


Spindle pole regulation by a discrete Eg5-interacting domain in TPX2., Eckerdt F, Eyers PA, Lewellyn AL, Prigent C, Maller JL., Curr Biol. April 8, 2008; 18 (7): 519-25.   


DNA damage signaling in early Xenopus embryos., Peng A, Lewellyn AL, Maller JL., Cell Cycle. January 1, 2008; 7 (1): 3-6.


Undamaged DNA transmits and enhances DNA damage checkpoint signals in early embryos., Peng A, Lewellyn AL, Maller JL., Mol Cell Biol. October 1, 2007; 27 (19): 6852-62.


The role of Xenopus membrane progesterone receptor beta in mediating the effect of progesterone on oocyte maturation., Josefsberg Ben-Yehoshua L, Lewellyn AL, Thomas P, Maller JL., Mol Endocrinol. March 1, 2007; 21 (3): 664-73.   


The anaphase-promoting complex/cyclosome inhibitor Emi2 is essential for meiotic but not mitotic cell cycles., Liu J, Grimison B, Lewellyn AL, Maller JL., J Biol Chem. November 17, 2006; 281 (46): 34736-41.


Metaphase arrest by cyclin E-Cdk2 requires the spindle-checkpoint kinase Mps1., Grimison B, Liu J, Lewellyn AL, Maller JL., Curr Biol. October 10, 2006; 16 (19): 1968-73.


Calcium elevation at fertilization coordinates phosphorylation of XErp1/Emi2 by Plx1 and CaMK II to release metaphase arrest by cytostatic factor., Liu J, Maller JL., Curr Biol. August 23, 2005; 15 (16): 1458-68.


Regulation of the G(2)/M transition in Xenopus oocytes by the cAMP-dependent protein kinase., Eyers PA, Liu J, Hayashi NR, Lewellyn AL, Gautier J, Maller JL., J Biol Chem. July 1, 2005; 280 (26): 24339-46.


The Aurora A and Aurora B protein kinases: a single amino acid difference controls intrinsic activity and activation by TPX2., Eyers PA, Churchill ME, Maller JL., Cell Cycle. June 1, 2005; 4 (6): 784-9.


Xenopus Polo-like kinase Plx1: a multifunctional mitotic kinase., Liu J, Maller JL., Oncogene. January 10, 2005; 24 (2): 238-47.


Activation of p90 Rsk1 is sufficient for differentiation of PC12 cells., Silverman E, Frödin M, Gammeltoft S, Maller JL., Mol Cell Biol. December 1, 2004; 24 (24): 10573-83.


The DNA damage checkpoint in embryonic cell cycles is dependent on the DNA-to-cytoplasmic ratio., Conn CW, Lewellyn AL, Maller JL., Dev Cell. August 1, 2004; 7 (2): 275-81.


A feedback loop in the polo-like kinase activation pathway., Erikson E, Haystead TA, Qian YW, Maller JL., J Biol Chem. July 30, 2004; 279 (31): 32219-24.


The polo box is required for multiple functions of Plx1 in mitosis., Liu J, Lewellyn AL, Chen LG, Maller JL., J Biol Chem. May 14, 2004; 279 (20): 21367-73.


Regulation of Xenopus Aurora A activation by TPX2., Eyers PA, Maller JL., J Biol Chem. March 5, 2004; 279 (10): 9008-15.


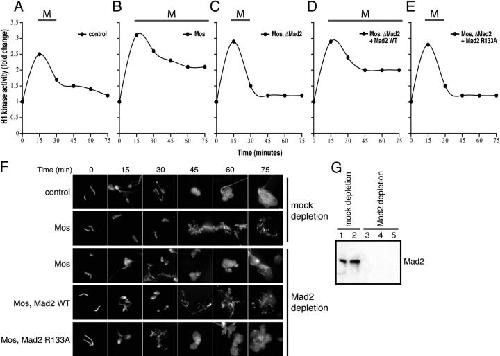
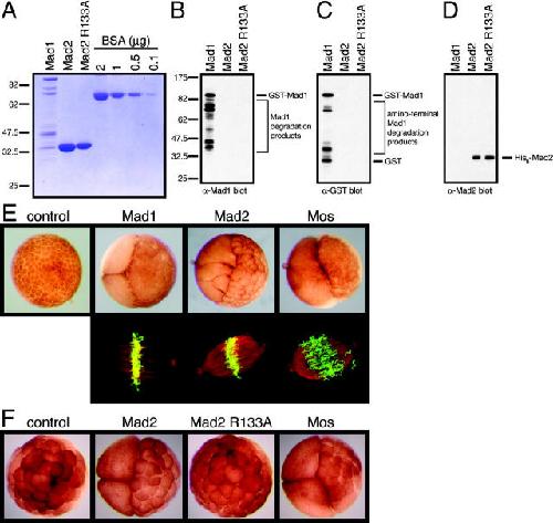
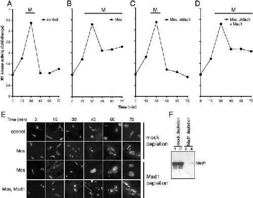
Spindle checkpoint proteins Mad1 and Mad2 are required for cytostatic factor-mediated metaphase arrest., Tunquist BJ, Eyers PA, Chen LG, Lewellyn AL, Maller JL., J Cell Biol. December 22, 2003; 163 (6): 1231-42.   


Identification of novel phosphorylation sites on Xenopus laevis Aurora A and analysis of phosphopeptide enrichment by immobilized metal-affinity chromatography., Haydon CE, Eyers PA, Aveline-Wolf LD, Resing KA, Maller JL, Ahn NG., Mol Cell Proteomics. October 1, 2003; 2 (10): 1055-67.   


A novel mechanism for activation of the protein kinase Aurora A., Eyers PA, Erikson E, Chen LG, Maller JL., Curr Biol. April 15, 2003; 13 (8): 691-7.


Under arrest: cytostatic factor (CSF)-mediated metaphase arrest in vertebrate eggs., Tunquist BJ, Maller JL., Genes Dev. March 15, 2003; 17 (6): 683-710.


Regulating the regulators: Aurora A activation and mitosis., Eyers PA, Maller JL., Cell Cycle. January 1, 2003; 2 (4): 287-9.


A role for G1/S cyclin-dependent protein kinases in the apoptotic response to ionizing radiation., Finkielstein CV, Chen LG, Maller JL., J Biol Chem. October 11, 2002; 277 (41): 38476-85.


The spindle checkpoint kinase bub1 and cyclin e/cdk2 both contribute to the establishment of meiotic metaphase arrest by cytostatic factor., Tunquist BJ, Schwab MS, Chen LG, Maller JL., Curr Biol. June 25, 2002; 12 (12): 1027-33.


The mechanism of CSF arrest in vertebrate oocytes., Maller JL, Schwab MS, Gross SD, Taieb FE, Roberts BT, Tunquist BJ., Mol Cell Endocrinol. February 22, 2002; 187 (1-2): 173-8.


Calcium, calmodulin, and CaMKII requirement for initiation of centrosome duplication in Xenopus egg extracts., Matsumoto Y, Maller JL., Science. January 18, 2002; 295 (5554): 499-502.


A constitutively active form of the protein kinase p90Rsk1 is sufficient to trigger the G2/M transition in Xenopus oocytes., Gross SD, Lewellyn AL, Maller JL., J Biol Chem. December 7, 2001; 276 (49): 46099-103.


The pathway of MAP kinase mediation of CSF arrest in Xenopus oocytes., Maller JL, Schwab MS, Roberts BT, Gross SD, Taieb FE, Tunquist BJ., Biol Cell. September 1, 2001; 93 (1-2): 27-33.


Progesterone receptor contains a proline-rich motif that directly interacts with SH3 domains and activates c-Src family tyrosine kinases., Boonyaratanakornkit V, Scott MP, Ribon V, Sherman L, Anderson SM, Maller JL, Miller WT, Edwards DP., Mol Cell. August 1, 2001; 8 (2): 269-80.


The polo-like kinase Plx1 is required for activation of the phosphatase Cdc25C and cyclin B-Cdc2 in Xenopus oocytes., Qian YW, Erikson E, Taieb FE, Maller JL., Mol Biol Cell. June 1, 2001; 12 (6): 1791-9.


Activation of the anaphase-promoting complex and degradation of cyclin B is not required for progression from Meiosis I to II in Xenopus oocytes., Taieb FE, Gross SD, Lewellyn AL, Maller JL., Curr Biol. April 3, 2001; 11 (7): 508-13.


Bub1 is activated by the protein kinase p90(Rsk) during Xenopus oocyte maturation., Schwab MS, Roberts BT, Gross SD, Tunquist BJ, Taieb FE, Lewellyn AL, Maller JL., Curr Biol. February 6, 2001; 11 (3): 141-50.   


The midblastula transition in Xenopus embryos activates multiple pathways to prevent apoptosis in response to DNA damage., Finkielstein CV, Lewellyn AL, Maller JL., Proc Natl Acad Sci U S A. January 30, 2001; 98 (3): 1006-11.   


The elusive progesterone receptor in Xenopus oocytes., Maller JL., Proc Natl Acad Sci U S A. January 2, 2001; 98 (1): 8-10.


Cell cycle transitions in early Xenopus development., Maller JL, Gross SD, Schwab MS, Finkielstein CV, Taieb FE, Qian YW., Novartis Found Symp. January 1, 2001; 237 58-73; discussion 73-8.


The critical role of the MAP kinase pathway in meiosis II in Xenopus oocytes is mediated by p90(Rsk)., Gross SD, Schwab MS, Taieb FE, Lewellyn AL, Qian YW, Maller JL., Curr Biol. April 20, 2000; 10 (8): 430-8.


Mitotic effects of a constitutively active mutant of the Xenopus polo-like kinase Plx1., Qian YW, Erikson E, Maller JL., Mol Cell Biol. December 1, 1999; 19 (12): 8625-32.


Induction of metaphase arrest in cleaving Xenopus embryos by the protein kinase p90Rsk., Gross SD, Schwab MS, Lewellyn AL, Maller JL., Science. November 12, 1999; 286 (5443): 1365-7.


Two distinct mechanisms control the accumulation of cyclin B1 and Mos in Xenopus oocytes in response to progesterone., Frank-Vaillant M, Jessus C, Ozon R, Maller JL, Haccard O., Mol Biol Cell. October 1, 1999; 10 (10): 3279-88.


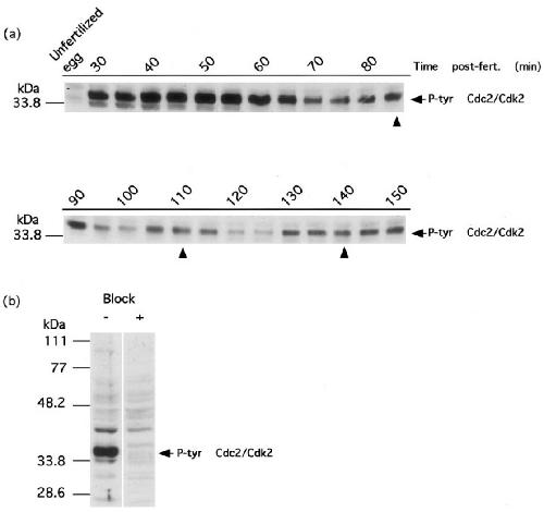
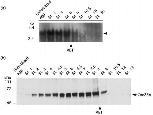
A maternal form of the phosphatase Cdc25A regulates early embryonic cell cycles in Xenopus laevis., Kim SH, Li C, Maller JL., Dev Biol. August 15, 1999; 212 (2): 381-91.   


p70(S6K) controls selective mRNA translation during oocyte maturation and early embryogenesis in Xenopus laevis., Schwab MS, Kim SH, Terada N, Edfjäll C, Kozma SC, Thomas G, Maller JL., Mol Cell Biol. April 1, 1999; 19 (4): 2485-94.


DNA replication in vertebrates requires a homolog of the Cdc7 protein kinase., Roberts BT, Ying CY, Gautier J, Maller JL., Proc Natl Acad Sci U S A. March 16, 1999; 96 (6): 2800-4.

???pagination.result.page??? 1 2 3 ???pagination.result.next???