|
XB-PERS-4923
Publications By Kristian Franze
???pagination.result.count??????pagination.result.page??? 1
|
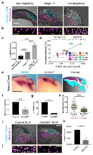
Long-range chemical signalling in vivo is regulated by mechanical signals., Pillai EK, Mukherjee S, Gampl N, McGinn RJ, Mooslehner KA, Becker JM, Winkel AK, Thompson AJ, Franze K., Nat Mater. January 19, 2026; |
|
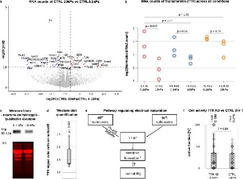
Environmental stiffness regulates neuronal maturation via Piezo1-mediated transthyretin activity., Kreysing E, Gautier HOB, Mukherjee S, Mooslehner KA, Muresan L, Haarhoff D, Zhao X, Winkel AK, Borić T, Vásquez-Sepúlveda S, Gampl N, Dimitracopoulos A, Pillai EK, Humphrey R, Káradóttir RT, Franze K., Nat Commun. November 7, 2025; 16 (1): 9842. |
|
Mutation of the ALS/FTD-associated RNA-binding protein FUS affects axonal development., van Tartwijk FW, Wunderlich LCS, Mela I, Makarchuk S, Jakobs MAH, Qamar S, Franze K, Kaminski Schierle GS, St George-Hyslop PH, Lin JQ, Holt CE, Kaminski CF., J Neurosci. July 3, 2024; 44 (27): |
|
Theory for Durotactic Axon Guidance., Oliveri H, Franze K, Goriely A., Phys Rev Lett. March 19, 2021; 126 (11): 118101. |
|
All-Optical Detection of Neuronal Membrane Depolarization in Live Cells Using Colloidal Quantum Dots., Caglar M, Pandya R, Xiao J, Foster SK, Divitini G, Chen RYS, Greenham NC, Franze K, Rao A, Keyser UF., Nano Lett. December 11, 2019; 19 (12): 8539-8549. |
|
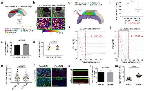
Rapid changes in tissue mechanics regulate cell behaviour in the developing embryonic brain., Thompson AJ, Pillai EK, Dimov IB, Foster SK, Holt CE, Franze K., Elife. January 15, 2019; 8 |
|
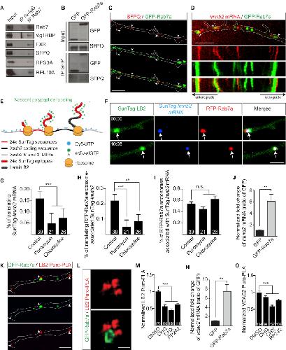
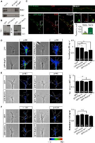
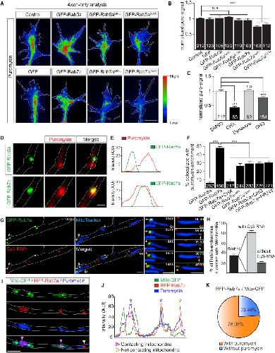
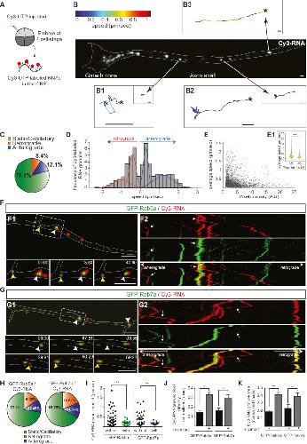
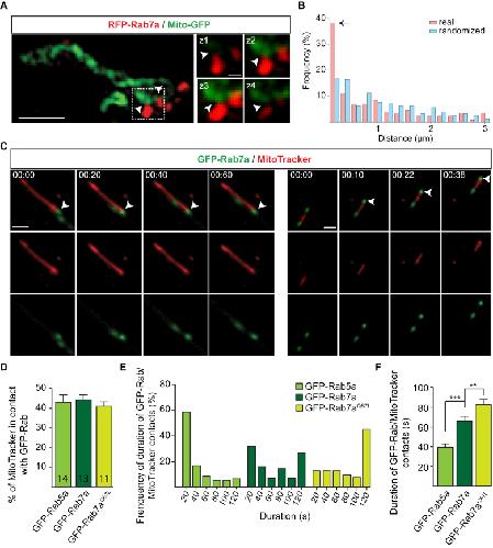
Late Endosomes Act as mRNA Translation Platforms and Sustain Mitochondria in Axons., Cioni JM, Lin JQ, Holtermann AV, Koppers M, Jakobs MAH, Azizi A, Turner-Bridger B, Shigeoka T, Franze K, Harris WA, Holt CE., Cell. January 10, 2019; 176 (1-2): 56-72.e15. |
|
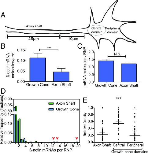
Single-molecule analysis of endogenous β-actin mRNA trafficking reveals a mechanism for compartmentalized mRNA localization in axons., Turner-Bridger B, Jakobs M, Muresan L, Wong HH, Franze K, Harris WA, Holt CE., Proc Natl Acad Sci U S A. October 9, 2018; 115 (41): E9697-E9706. |
|
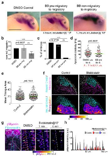
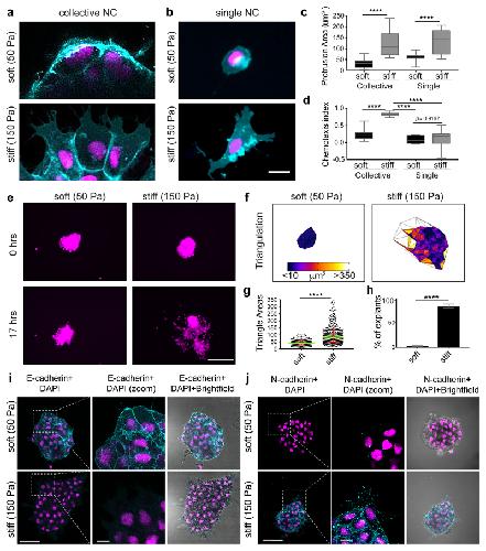
Tissue stiffening coordinates morphogenesis by triggering collective cell migration in vivo., Barriga EH, Franze K, Charras G, Mayor R., Nature. February 22, 2018; 554 (7693): 523-527. |
|
The role of cell body density in ruminant retina mechanics assessed by atomic force and Brillouin microscopy., Weber IP, Yun SH, Scarcelli G, Franze K., Phys Biol. November 16, 2017; 14 (6): 065006. |
|
Mechanosensing is critical for axon growth in the developing brain., Koser DE, Thompson AJ, Foster SK, Dwivedy A, Pillai EK, Sheridan GK, Svoboda H, Viana M, Costa LD, Guck J, Holt CE, Franze K., Nat Neurosci. December 1, 2016; 19 (12): 1592-1598. |
???pagination.result.page??? 1
