|
XB-PERS-4880
Publications By Jakub Harnos
???pagination.result.count??????pagination.result.page??? 1
|
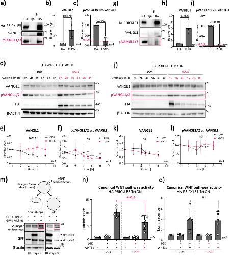
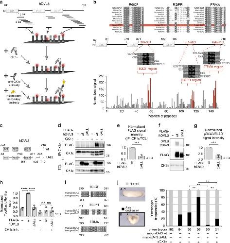
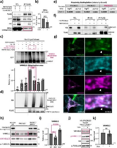
PRICKLE3 protects VANGL proteins from CK1-mediated phosphorylation and RNF43-mediated degradation., Radaszkiewicz KA, Radaszkiewicz TW, Kolářová P, Paclíková P, Gömöryová K, Novotná Š, Maia LA, Číhalová T, Le Y, Bárta T, Hanáková K, Hýsková A, Tripsianes K, Zdráhal Z, Winkler C, Harnoš J., Commun Biol. December 27, 2025; 9 (1): 142. |
|
Developmental toxicity of fluconazole and 1,2,4-triazole in Xenopus laevis., Riesova B, Maia LA, Hesova R, Peskova N, Marsalek P, Blahova J, Lakdawala P, Harnos J., Sci Rep. December 6, 2025; |
|
Structural basis of bis-quinolinium ligands binding to quadruplex-duplex hybrids from PIM1 oncogene., Ghosh A, Harnos J, Stadlbauer P, Sponer J, Lenarcic Zivkovic M, Trantirek L., Nucleic Acids Res. September 5, 2025; 53 (17): |
|
In-cell NMR spectroscopy of nucleic acids: Basic concepts, practical aspects, and applications., Foldynova-Trantirkova S, Harnos J, Rynes J, Zlinska V, Trantirek L., Prog Nucl Magn Reson Spectrosc. February 24, 2025; 148-149 101560. |
|
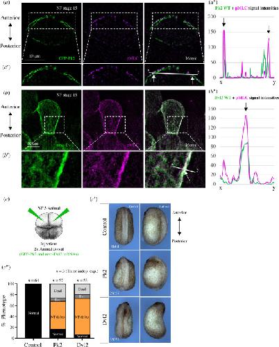
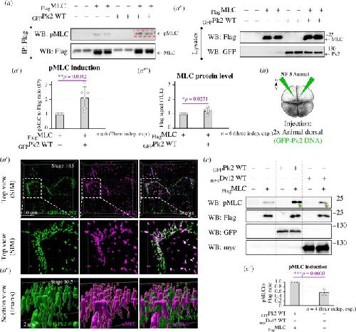
Linking planar polarity signalling to actomyosin contractility during vertebrate neurulation., Novotna S, Maia LA, Radaszkiewicz KA, Roudnicky P, Harnos J., Open Biol. November 20, 2024; 14 (11): 240251. |
|
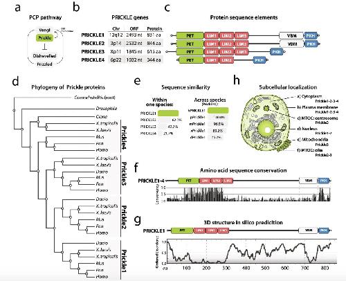
The role of prickle proteins in vertebrate development and pathology., Radaszkiewicz KA, Sulcova M, Kohoutkova E, Harnos J., Mol Cell Biochem. May 1, 2024; 479 (5): 1199-1221. |
|
Unveiling vertebrate development dynamics in frog Xenopus laevis using micro-CT imaging., Laznovsky J, Kavkova M, Helena Reis A, Robovska-Havelkova P, Maia LA, Krivanek J, Zikmund T, Kaiser J, Buchtova M, Harnos J., Gigascience. January 2, 2024; 13 |
|
Spatiotemporal monitoring of hard tissue development reveals unknown features of tooth and bone development., Gonzalez Lopez M, Huteckova B, Lavicky J, Zezula N, Rakultsev V, Fridrichova V, Tuaima H, Nottmeier C, Petersen J, Kavkova M, Zikmund T, Kaiser J, Lav R, Star H, Bryja V, Henyš P, Vořechovský M, Tucker AS, Harnos J, Buchtova M, Krivanek J., Sci Adv. August 2, 2023; 9 (31): eadi0482. |
|
Roles of individual human Dishevelled paralogs in the Wnt signalling pathways., Paclíková P, Radaszkiewicz TW, Potěšil D, Harnoš J, Zdráhal Z, Bryja V., Cell Signal. September 1, 2021; 85 110058. |
|
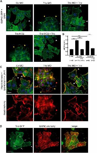
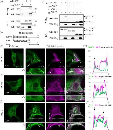
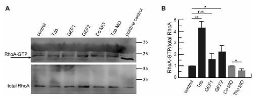
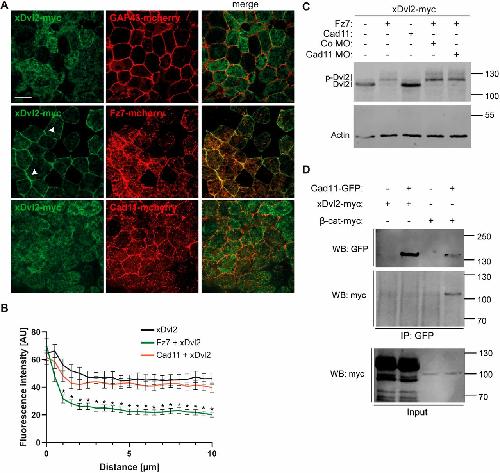
The Rho guanine nucleotide exchange factor Trio is required for neural crest cell migration and interacts with Dishevelled., Kratzer MC, Becker SFS, Grund A, Merks A, Harnoš J, Bryja V, Giehl K, Kashef J, Borchers A., Development. May 22, 2020; 147 (10): |
|
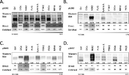
Comparative phosphorylation map of Dishevelled 3 links phospho-signatures to biological outputs., Hanáková K, Bernatík O, Kravec M, Micka M, Kumar J, Harnoš J, Ovesná P, Paclíková P, Rádsetoulal M, Potěšil D, Tripsianes K, Čajánek L, Zdráhal Z, Bryja V., Cell Commun Signal. December 23, 2019; 17 (1): 170. |
|
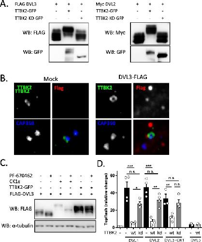
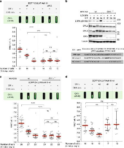
Dishevelled-3 conformation dynamics analyzed by FRET-based biosensors reveals a key role of casein kinase 1., Harnoš J, Cañizal MCA, Jurásek M, Kumar J, Holler C, Schambony A, Hanáková K, Bernatík O, Zdráhal Z, Gömöryová K, Gybeľ T, Radaszkiewicz TW, Kravec M, Trantírek L, Ryneš J, Dave Z, Fernández-Llamazares AI, Vácha R, Tripsianes K, Hoffmann C, Bryja V., Nat Commun. April 18, 2019; 10 (1): 1804. |
???pagination.result.page??? 1
