Click here to close Hello! We notice that you are using Internet Explorer, which is not supported by Xenbase and may cause the site to display incorrectly. We suggest using a current version of Chrome, FireFox, or Safari.

Profile Publications (28)
XB-PERS-4131

Publications By Sherrill Green

???pagination.result.count???

???pagination.result.page??? 1


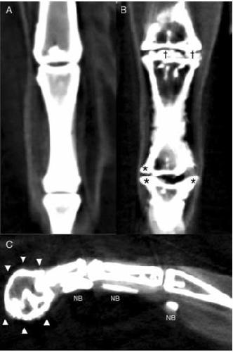
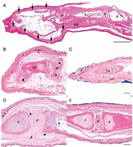
Degenerative Osteoarthropathy in Laboratory Housed Xenopus (Silurana) tropicalis., Zhang M, Wilson SS, Casey KM, Thomson PE, Zlatow AL, Langlois VS, Green SL., Comp Med. December 1, 2021; 71 (6): 512-520.   


Axial Skeletal Malformations in Genetically Modified Xenopus laevis and Xenopus tropicalis., Zlatow AL, Wilson SS, Bouley DM, Tetens-Woodring J, Buchholz DR, Green SL., Comp Med. December 1, 2020; 70 (6): 532-541.


Acute and Chronic Outcomes of Gas-Bubble Disease in a Colony of African Clawed Frogs (Xenopus laevis)., Tsai JY, Felt SA, Bouley DM, Green SL., Comp Med. February 1, 2017; 67 (1): 4-10.


Prevalence of Batrachochytrium dendrobatidis in Xenopus Collected in Africa (1871-2000) and in California (2001-2010)., Vredenburg VT, Felt SA, Morgan EC, McNally SV, Wilson S, Green SL., PLoS One. May 15, 2013; 8 (5): e63791.


Tissue distribution of enrofloxacin in African clawed frogs (Xenopus laevis) after intramuscular and subcutaneous administration., Felt S, Papich MG, Howard A, Long T, McKeon G, Torreilles S, Green S., J Am Assoc Lab Anim Sci. March 1, 2013; 52 (2): 186-8.


Mortality and morbidity in African clawed frogs (Xenopus laevis) associated with construction noise and vibrations., Felt SA, Cowan AM, Luong R, Green SL., J Am Assoc Lab Anim Sci. March 1, 2012; 51 (2): 253-6.


Serum clinical biochemical and hematologic reference ranges of laboratory-reared and wild-caught Xenopus laevis., Wilson S, Felt S, Torreilles S, Howard A, Behan C, Moorhead R, Green S., J Am Assoc Lab Anim Sci. September 1, 2011; 50 (5): 635-40.


The pharmacokinetics of enrofloxacin in adult African clawed frogs (Xenopus laevis)., Howard AM, Papich MG, Felt SA, Long CT, McKeon GP, Bond ES, Torreilles SL, Luong RH, Green SL., J Am Assoc Lab Anim Sci. November 1, 2010; 49 (6): 800-4.


Evaluation and refinement of euthanasia methods for Xenopus laevis., Torreilles SL, McClure DE, Green SL., J Am Assoc Lab Anim Sci. September 1, 2009; 48 (5): 512-6.


Diversification of the expression patterns and developmental functions of the dishevelled gene family during chordate evolution., Gray RS, Bayly RD, Green SA, Agarwala S, Lowe CJ, Wallingford JB., Dev Dyn. August 1, 2009; 238 (8): 2044-57.   


Refuge cover decreases the incidence of bite wounds in laboratory South African clawed frogs (Xenopus laevis)., Torreilles SL, Green SL., J Am Assoc Lab Anim Sci. September 1, 2007; 46 (5): 33-6.


Ovarian hyperstimulation syndrome in gonadotropin-treated laboratory South African clawed frogs (Xenopus laevis)., Green SL, Parker J, Davis C, Bouley DM., J Am Assoc Lab Anim Sci. May 1, 2007; 46 (3): 64-7.


Aurora-A over-expression in high-grade PIN lesions and prostate cancer., Buschhorn HM, Klein RR, Chambers SM, Hardy MC, Green S, Bearss D, Nagle RB., Prostate. September 1, 2005; 64 (4): 341-6.


Postoperative analgesics in South African Clawed frogs (Xenopus laevis) after surgical harvest of oocytes., Green SL., Comp Med. June 1, 2003; 53 (3): 244-7.


Thermal shock in a colony of South African clawed frogs (Xenopus laevis)., Green SL, Moorhead RC, Bouley DM., Vet Rec. March 15, 2003; 152 (11): 336-7.


Cryptosporidiosis associated with emaciation and proliferative gastritis in a laboratory-reared South African clawed frog (Xenopus laevis)., Green SL, Bouley DM, Josling CA, Fayer R., Comp Med. February 1, 2003; 53 (1): 81-4.


Factors affecting oogenesis in the South African clawed frog (Xenopus laevis)., Green SL., Comp Med. August 1, 2002; 52 (4): 307-12.


Identification of Tah11/Sid2 as the ortholog of the replication licensing factor Cdt1 in Saccharomyces cerevisiae., Devault A, Vallen EA, Yuan T, Green S, Bensimon A, Schwob E., Curr Biol. April 16, 2002; 12 (8): 689-94.


Disease attributed to Mycobacterium chelonae in South African clawed frogs (Xenopus laevis)., Green SL, Lifland BD, Bouley DM, Brown BA, Wallace RJ, Ferrell JE., Comp Med. December 1, 2000; 50 (6): 675-9.


Identification and management of an outbreak of Flavobacterium meningosepticum infection in a colony of South African clawed frogs (Xenopus laevis)., Green SL, Bouley DM, Tolwani RJ, Waggie KS, Lifland BD, Otto GM, Ferrell JE., J Am Vet Med Assoc. June 15, 1999; 214 (12): 1833-8, 1792-3.


Regulation of apoptosis by BH3 domains in a cell-free system., Cosulich SC, Worrall V, Hedge PJ, Green S, Clarke PR., Curr Biol. December 1, 1997; 7 (12): 913-20.


Bcl-2 regulates activation of apoptotic proteases in a cell-free system., Cosulich SC, Green S, Clarke PR., Curr Biol. August 1, 1996; 6 (8): 997-1005.


The alpha1-fetoprotein locus is activated by a nuclear receptor of the Drosophila FTZ-F1 family., Galarneau L, Paré JF, Allard D, Hamel D, Levesque L, Tugwood JD, Green S, Bélanger L., Mol Cell Biol. July 1, 1996; 16 (7): 3853-65.


Cloning and expression in Xenopus oocytes of a mouse homologue of the human acylcoenzyme A: cholesterol acyltransferase and its potential role in metabolism of oxidized LDL., Green S, Steinberg D, Quehenberger O., Biochem Biophys Res Commun. January 26, 1996; 218 (3): 924-9.


Peroxisome proliferators: a model for receptor mediated carcinogenesis., Green S., Cancer Surv. January 1, 1992; 14 221-32.


Expression of human estrogen receptor mutants in Xenopus oocytes: correlation between transcriptional activity and ability to form protein-DNA complexes., Theulaz I, Hipskind R, ten Heggeler-Bordier B, Green S, Kumar V, Chambon P, Wahli W., EMBO J. June 1, 1988; 7 (6): 1653-60.


Oestradiol induction of a glucocorticoid-responsive gene by a chimaeric receptor., Green S, Chambon P., Nature. January 1, 1987; 325 (6099): 75-8.


Introduction of estrogen-responsiveness into mammalian cell lines., Druege PM, Klein-Hitpass L, Green S, Stack G, Chambon P, Ryffel GU., Nucleic Acids Res. December 9, 1986; 14 (23): 9329-37.

???pagination.result.page??? 1