Click here to close Hello! We notice that you are using Internet Explorer, which is not supported by Xenbase and may cause the site to display incorrectly. We suggest using a current version of Chrome, FireFox, or Safari.

Profile Publications (2)
XB-PERS-4109

Publications By Vicky Zhang

???pagination.result.count???

???pagination.result.page??? 1


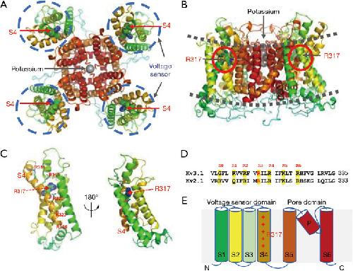
Kv3.1 channelopathy: a novel loss-of-function variant and the mechanistic basis of its clinical phenotypes., Li X, Zheng Y, Li S, Nair U, Sun C, Zhao C, Lu J, Zhang VW, Maljevic S, Petrou S, Lin J., Ann Transl Med. September 1, 2021; 9 (18): 1397.   


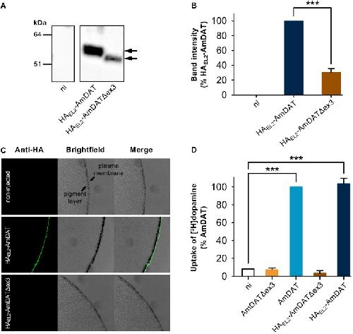
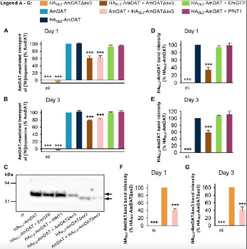
Characterization of a Dopamine Transporter and Its Splice Variant Reveals Novel Features of Dopaminergic Regulation in the Honey Bee., Zhang V, Kucharski R, Landers C, Richards SN, Bröer S, Martin RE, Maleszka R., Front Physiol. January 1, 2019; 10 1375.   

???pagination.result.page??? 1