|
XB-PERS-3904
Publications By Mikel Garcia-Marcos
???pagination.result.count??????pagination.result.page??? 1
|
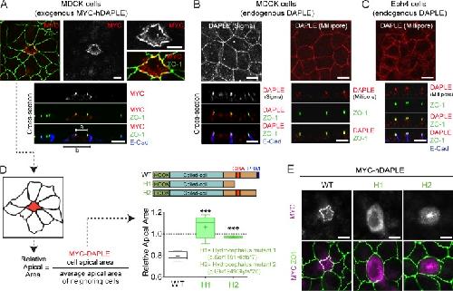
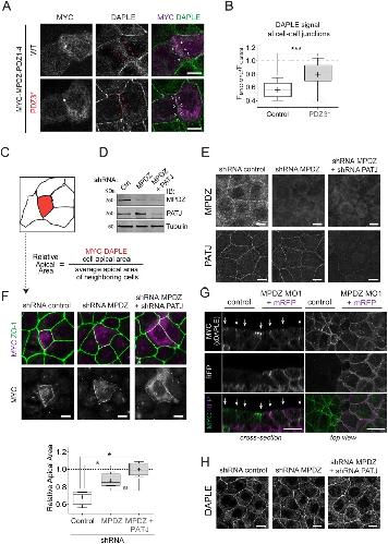
DAPLE and MPDZ bind to each other and cooperate to promote apical cell constriction., Marivin A, Garcia-Marcos M., Mol Biol Cell. July 22, 2019; 30 (16): 1900-1910. |
|
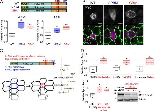
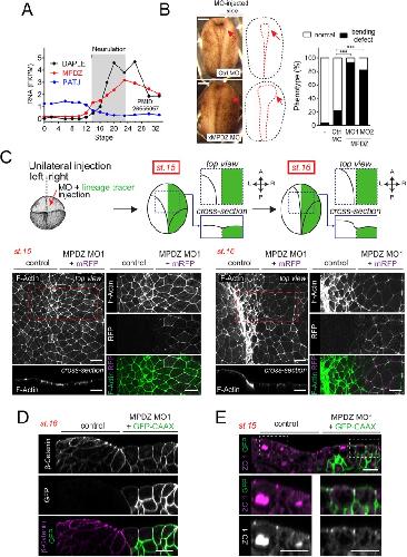
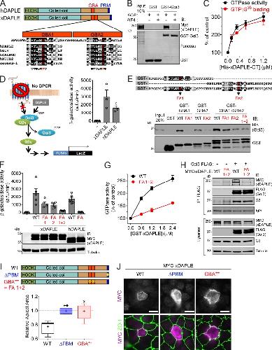
GPCR-independent activation of G proteins promotes apical cell constriction in vivo., Marivin A, Morozova V, Walawalkar I, Leyme A, Kretov DA, Cifuentes D, Dominguez I, Garcia-Marcos M., J Cell Biol. May 6, 2019; 218 (5): 1743-1763. |
|
Specific inhibition of GPCR-independent G protein signaling by a rationally engineered protein., Leyme A, Marivin A, Maziarz M, DiGiacomo V, Papakonstantinou MP, Patel PP, Blanco-Canosa JB, Walawalkar IA, Rodriguez-Davila G, Dominguez I, Garcia-Marcos M., Proc Natl Acad Sci U S A. November 28, 2017; 114 (48): E10319-E10328. |
|
Dominant-negative Gα subunits are a mechanism of dysregulated heterotrimeric G protein signaling in human disease., Marivin A, Leyme A, Parag-Sharma K, DiGiacomo V, Cheung AY, Nguyen LT, Dominguez I, Garcia-Marcos M., Sci Signal. April 12, 2016; 9 (423): ra37. |
???pagination.result.page??? 1
