|
XB-PERS-3858
Publications By Paul Lukas
???pagination.result.count??????pagination.result.page??? 1
|
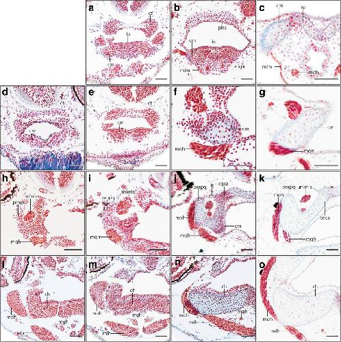
Embryonic pattern of cartilaginous head development in the European toad, Bufo bufo., Lukas P., J Exp Zool B Mol Dev Evol. November 1, 2023; 340 (7): 437-454. |
|
Sequence of chondrocranial development in basal anurans-Let's make a cranium., Lukas P, Ziermann JM., Front Zool. May 3, 2022; 19 (1): 17. |
|
Bapx1 is required for jaw joint development in amphibians., Lukas P, Olsson L., Evol Dev. November 1, 2018; 20 (6): 192-206. |
|
Sequence and timing of early cranial skeletal development in Xenopus laevis., Lukas P, Olsson L., J Morphol. January 1, 2018; 279 (1): 62-74. |
|
Bapx1 upregulation is associated with ectopic mandibular cartilage development in amphibians., Lukas P, Olsson L., Zoological Lett. January 1, 2018; 4 16. |
???pagination.result.page??? 1
