|
XB-PERS-3851
Publications By Bernard Zalc, MD, PhD.
???pagination.result.count??????pagination.result.page??? 1
|
The Xenopus tadpole: An in vivo model to screen drugs favoring remyelination., Mannioui A, Vauzanges Q, Fini JB, Henriet E, Sekizar S, Azoyan L, Thomas JL, Pasquier DD, Giovannangeli C, Demeneix B, Lubetzki C, Zalc B., Mult Scler. October 1, 2018; 24 (11): 1421-1432. |
|
Myelination., Salzer JL, Zalc B., Curr Biol. October 24, 2016; 26 (20): R971-R975. |
|
The acquisition of myelin: An evolutionary perspective., Zalc B., Brain Res. June 15, 2016; 1641 (Pt A): 4-10. |
|
Repair strategies for multiple sclerosis: challenges, achievements and perspectives., Stankoff B, Jadasz JJ, Hartung HP, Küry P, Zalc B, Lubetzki C., Curr Opin Neurol. June 1, 2016; 29 (3): 286-92. |
|
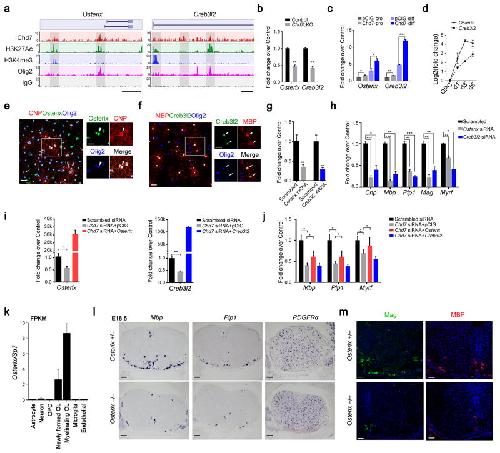
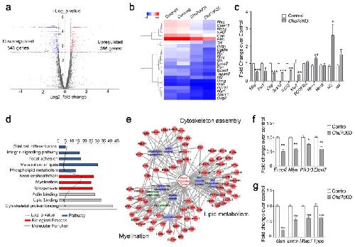
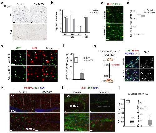
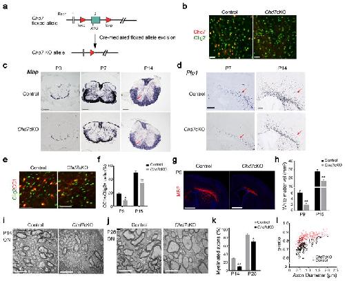
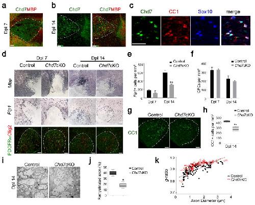
Chd7 cooperates with Sox10 and regulates the onset of CNS myelination and remyelination., He D, Marie C, Zhao C, Kim B, Wang J, Deng Y, Clavairoly A, Frah M, Wang H, He X, Hmidan H, Jones BV, Witte D, Zalc B, Zhou X, Choo DI, Martin DM, Parras C, Lu QR., Nat Neurosci. May 1, 2016; 19 (5): 678-89. |
|
Remyelination by Resident Oligodendrocyte Precursor Cells in a Xenopus laevis Inducible Model of Demyelination., Sekizar S, Mannioui A, Azoyan L, Colin C, Thomas JL, Du Pasquier D, Mallat M, Zalc B., Dev Neurosci. January 1, 2015; 37 (3): 232-42. |
|
Perlecan is required for FGF-2 signaling in the neural stem cell niche., Kerever A, Mercier F, Nonaka R, de Vega S, Oda Y, Zalc B, Okada Y, Hattori N, Yamada Y, Arikawa-Hirasawa E., Stem Cell Res. March 1, 2014; 12 (2): 492-505. |
|
Ascl1/Mash1 promotes brain oligodendrogenesis during myelination and remyelination., Nakatani H, Martin E, Hassani H, Clavairoly A, Maire CL, Viadieu A, Kerninon C, Delmasure A, Frah M, Weber M, Nakafuku M, Zalc B, Thomas JL, Guillemot F, Nait-Oumesmar B, Parras C., J Neurosci. June 5, 2013; 33 (23): 9752-9768. |
|
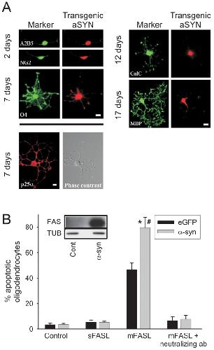
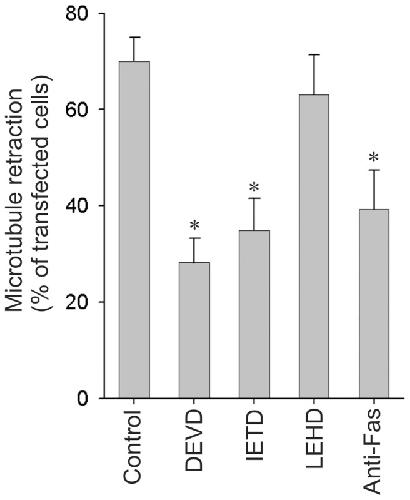
FAS-dependent cell death in α-synuclein transgenic oligodendrocyte models of multiple system atrophy., Kragh CL, Fillon G, Gysbers A, Hansen HD, Neumann M, Richter-Landsberg C, Haass C, Zalc B, Lubetzki C, Gai WP, Halliday GM, Kahle PJ, Jensen PH., PLoS One. January 1, 2013; 8 (1): e55243. |
|
Opposing roles for Hoxa2 and Hoxb2 in hindbrain oligodendrocyte patterning., Miguez A, Ducret S, Di Meglio T, Parras C, Hmidan H, Haton C, Sekizar S, Mannioui A, Vidal M, Kerever A, Nyabi O, Haigh J, Zalc B, Rijli FM, Thomas JL., J Neurosci. November 28, 2012; 32 (48): 17172-85. |
|
Live imaging of targeted cell ablation in Xenopus: a new model to study demyelination and repair., Kaya F, Mannioui A, Chesneau A, Sekizar S, Maillard E, Ballagny C, Houel-Renault L, Dupasquier D, Bronchain O, Holtzmann I, Desmazieres A, Thomas JL, Demeneix BA, Brophy PJ, Zalc B, Mazabraud A., J Neurosci. September 12, 2012; 32 (37): 12885-95. |
|
Olig2 lineage cells generate GABAergic neurons in the prethalamic nuclei, including the zona incerta, ventral lateral geniculate nucleus and reticular thalamic nucleus., Inamura N, Ono K, Takebayashi H, Zalc B, Ikenaka K., Dev Neurosci. January 1, 2011; 33 (2): 118-29. |
|
From fish to man: understanding endogenous remyelination in central nervous system demyelinating diseases., Dubois-Dalcq M, Williams A, Stadelmann C, Stankoff B, Zalc B, Lubetzki C., Brain. July 1, 2008; 131 (Pt 7): 1686-700. |
|
The origin of the myelination program in vertebrates., Zalc B, Goujet D, Colman D., Curr Biol. June 24, 2008; 18 (12): R511-2. |
|
VEGF-C is a trophic factor for neural progenitors in the vertebrate embryonic brain., Le Bras B, Barallobre MJ, Homman-Ludiye J, Ny A, Wyns S, Tammela T, Haiko P, Karkkainen MJ, Yuan L, Muriel MP, Chatzopoulou E, Bréant C, Zalc B, Carmeliet P, Alitalo K, Eichmann A, Thomas JL., Nat Neurosci. March 1, 2006; 9 (3): 340-8. |
???pagination.result.page??? 1
