|
XB-PERS-3661
Publications By Eric Lee
???pagination.result.count??????pagination.result.page??? 1
|
Tracking the movement of discrete gating charges in a voltage-gated potassium channel., Priest MF, Lee EE, Bezanilla F., Elife. November 15, 2021; 10 |
|
The acute effects of hydrocortisone on cardiac electrocardiography, action potentials, intracellular calcium, and contraction: The role of protein kinase C., Park MH, Park SI, Kim JH, Yu J, Lee EH, Seo SR, Jo SH., Mol Cell Endocrinol. August 20, 2019; 494 110488. |
|
Methodological improvements for fluorescence recordings in Xenopus laevis oocytes., Lee EEL, Bezanilla F., J Gen Physiol. February 4, 2019; 151 (2): 264-272. |
|
Development of light-driven gas-forming liposomes for efficient tumor treatment., Lee JM, Youn YS, Lee ES., Int J Pharm. June 15, 2017; 525 (1): 218-225. |
|
The microtubule plus-end-tracking protein TACC3 promotes persistent axon outgrowth and mediates responses to axon guidance signals during development., Erdogan B, Cammarata GM, Lee EJ, Pratt BC, Francl AF, Rutherford EL, Lowery LA., Neural Dev. February 15, 2017; 12 (1): 3. |
|
ACT-PRESTO: Rapid and consistent tissue clearing and labeling method for 3-dimensional (3D) imaging., Lee E, Choi J, Jo Y, Kim JY, Jang YJ, Lee HM, Kim SY, Lee HJ, Cho K, Jung N, Hur EM, Jeong SJ, Moon C, Choe Y, Rhyu IJ, Kim H, Sun W., Sci Rep. January 11, 2016; 6 18631. |
|
Bimodal Interaction of Mammalian Polo-Like Kinase 1 and a Centrosomal Scaffold, Cep192, in the Regulation of Bipolar Spindle Formation., Meng L, Park JE, Kim TS, Lee EH, Park SY, Zhou M, Bang JK, Lee KS., Mol Cell Biol. August 1, 2015; 35 (15): 2626-40. |
|
Peptoid-Substituted Hybrid Antimicrobial Peptide Derived from Papiliocin and Magainin 2 with Enhanced Bacterial Selectivity and Anti-inflammatory Activity., Shin A, Lee E, Jeon D, Park YG, Bang JK, Park YS, Shin SY, Kim Y., Biochemistry. June 30, 2015; 54 (25): 3921-31. |
|
A Protein Kinase C Phosphorylation Motif in GLUT1 Affects Glucose Transport and is Mutated in GLUT1 Deficiency Syndrome., Lee EE, Ma J, Sacharidou A, Mi W, Salato VK, Nguyen N, Jiang Y, Pascual JM, North PE, Shaul PW, Mettlen M, Wang RC., Mol Cell. June 4, 2015; 58 (5): 845-53. |
|
Distinct action of the α-glucosidase inhibitor miglitol on SGLT3, enteroendocrine cells, and GLP1 secretion., Lee EY, Kaneko S, Jutabha P, Zhang X, Seino S, Jomori T, Anzai N, Miki T., J Endocrinol. March 1, 2015; 224 (3): 205-14. |
|
Drosophila Claspin is required for the G2 arrest that is induced by DNA replication stress but not by DNA double-strand breaks., Lee EM, Trinh TT, Shim HJ, Park SY, Nguyen TT, Kim MJ, Song YH., DNA Repair (Amst). September 1, 2012; 11 (9): 741-52. |
|
Species-specific variation of RPA-interacting protein (RIP) splice isoforms., Kim K, Lee EJ, Lee SH, Seo T, Jang IS, Park J, Lee JH., BMB Rep. January 31, 2009; 42 (1): 22-7. |
|
Lead discovery and optimization of T-type calcium channel blockers., Park JH, Choi JK, Lee E, Lee JK, Rhim H, Seo SH, Kim Y, Doddareddy MR, Pae AN, Kang J, Roh EJ., Bioorg Med Chem. February 1, 2007; 15 (3): 1409-19. |
|
Optical frequency domain imaging with a rapidly swept laser in the 815-870 nm range., Lim H, de Boer JF, Park BH, Lee EC, Yelin R, Yun SH., Opt Express. June 26, 2006; 14 (13): 5937-44. |
|
Sequencing and analysis of 10,967 full-length cDNA clones from Xenopus laevis and Xenopus tropicalis reveals post-tetraploidization transcriptome remodeling., Morin RD, Chang E, Petrescu A, Liao N, Griffith M, Chow W, Kirkpatrick R, Butterfield YS, Young AC, Stott J, Barber S, Babakaiff R, Dickson MC, Matsuo C, Wong D, Yang GS, Smailus DE, Wetherby KD, Kwong PN, Grimwood J, Brinkley CP, Brown-John M, Reddix-Dugue ND, Mayo M, Schmutz J, Beland J, Park M, Gibson S, Olson T, Bouffard GG, Tsai M, Featherstone R, Chand S, Siddiqui AS, Jang W, Lee E, Klein SL, Blakesley RW, Zeeberg BR, Narasimhan S, Weinstein JN, Pennacchio CP, Myers RM, Green ED, Wagner L, Gerhard DS, Marra MA, Jones SJ, Holt RA., Genome Res. June 1, 2006; 16 (6): 796-803. |
|
Characterization of peripherin/rds and rom-1 transport in rod photoreceptors of transgenic and knockout animals., Lee ES, Burnside B, Flannery JG., Invest Ophthalmol Vis Sci. May 1, 2006; 47 (5): 2150-60. |
|
Electrophysiological characterization and modeling of the structure activity relationship of the human concentrative nucleoside transporter 3 (hCNT3)., Hu H, Endres CJ, Chang C, Umapathy NS, Lee EW, Fei YJ, Itagaki S, Swaan PW, Ganapathy V, Unadkat JD., Mol Pharmacol. May 1, 2006; 69 (5): 1542-53. |
|
Zinc activates TREK-2 potassium channel activity., Kim JS, Park JY, Kang HW, Lee EJ, Bang H, Lee JH., J Pharmacol Exp Ther. August 1, 2005; 314 (2): 618-25. |
|
The Biomolecular Interaction Network Database and related tools 2005 update., Alfarano C, Andrade CE, Anthony K, Bahroos N, Bajec M, Bantoft K, Betel D, Bobechko B, Boutilier K, Burgess E, Buzadzija K, Cavero R, D'Abreo C, Donaldson I, Dorairajoo D, Dumontier MJ, Dumontier MR, Earles V, Farrall R, Feldman H, Garderman E, Gong Y, Gonzaga R, Grytsan V, Gryz E, Gu V, Haldorsen E, Halupa A, Haw R, Hrvojic A, Hurrell L, Isserlin R, Jack F, Juma F, Khan A, Kon T, Konopinsky S, Le V, Lee E, Ling S, Magidin M, Moniakis J, Montojo J, Moore S, Muskat B, Ng I, Paraiso JP, Parker B, Pintilie G, Pirone R, Salama JJ, Sgro S, Shan T, Shu Y, Siew J, Skinner D, Snyder K, Stasiuk R, Strumpf D, Tuekam B, Tao S, Wang Z, White M, Willis R, Wolting C, Wong S, Wrong A, Xin C, Yao R, Yates B, Zhang S, Zheng K, Pawson T, Ouellette BF, Hogue CW., Nucleic Acids Res. January 1, 2005; 33 (Database issue): D418-24. |
|
The status, quality, and expansion of the NIH full-length cDNA project: the Mammalian Gene Collection (MGC)., Gerhard DS, Wagner L, Feingold EA, Shenmen CM, Grouse LH, Schuler G, Klein SL, Old S, Rasooly R, Good P, Guyer M, Peck AM, Derge JG, Lipman D, Collins FS, Jang W, Sherry S, Feolo M, Misquitta L, Lee E, Rotmistrovsky K, Greenhut SF, Schaefer CF, Buetow K, Bonner TI, Haussler D, Kent J, Kiekhaus M, Furey T, Brent M, Prange C, Schreiber K, Shapiro N, Bhat NK, Hopkins RF, Hsie F, Driscoll T, Soares MB, Casavant TL, Scheetz TE, Brown-stein MJ, Usdin TB, Toshiyuki S, Carninci P, Piao Y, Dudekula DB, Ko MS, Kawakami K, Suzuki Y, Sugano S, Gruber CE, Smith MR, Simmons B, Moore T, Waterman R, Johnson SL, Ruan Y, Wei CL, Mathavan S, Gunaratne PH, Wu J, Garcia AM, Hulyk SW, Fuh E, Yuan Y, Sneed A, Kowis C, Hodgson A, Muzny DM, McPherson J, Gibbs RA, Fahey J, Helton E, Ketteman M, Madan A, Rodrigues S, Sanchez A, Whiting M, Madari A, Young AC, Wetherby KD, Granite SJ, Kwong PN, Brinkley CP, Pearson RL, Bouffard GG, Blakesly RW, Green ED, Dickson MC, Rodriguez AC, Grimwood J, Schmutz J, Myers RM, Butterfield YS, Griffith M, Griffith OL, Krzywinski MI, Liao N, Morin R, Morrin R, Palmquist D, Petrescu AS, Skalska U, Smailus DE, Stott JM, Schnerch A, Schein JE, Jones SJ, Holt RA, Baross A, Marra MA, Clifton S, Makowski KA, Bosak S, Malek J, MGC Project Team., Genome Res. October 1, 2004; 14 (10B): 2121-7. |
|
Functional characterization of pendrin in a polarized cell system. Evidence for pendrin-mediated apical iodide efflux., Gillam MP, Sidhaye AR, Lee EJ, Rutishauser J, Stephan CW, Kopp P., J Biol Chem. March 26, 2004; 279 (13): 13004-10. |
|
The human checkpoint Rad protein Rad17 is chromatin-associated throughout the cell cycle, localizes to DNA replication sites, and interacts with DNA polymerase epsilon., Post SM, Tomkinson AE, Lee EY., Nucleic Acids Res. October 1, 2003; 31 (19): 5568-75. |
|
Substrate recognition by the Cdc20 and Cdh1 components of the anaphase-promoting complex., Pfleger CM, Lee E, Kirschner MW., Genes Dev. September 15, 2001; 15 (18): 2396-407. |
|
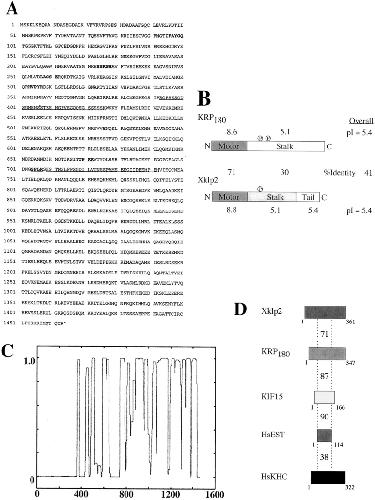
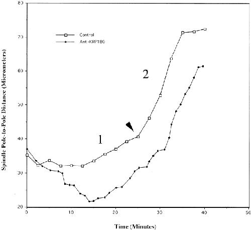
A kinesin-related protein, KRP(180), positions prometaphase spindle poles during early sea urchin embryonic cell division., Rogers GC, Chui KK, Lee EW, Wedaman KP, Sharp DJ, Holland G, Morris RL, Scholey JM., J Cell Biol. August 7, 2000; 150 (3): 499-512. |
|
High levels of ascorbic acid, not glutathione, in the CNS of anoxia-tolerant reptiles contrasted with levels in anoxia-intolerant species., Rice ME, Lee EJ, Choy Y., J Neurochem. April 1, 1995; 64 (4): 1790-9. |
???pagination.result.page??? 1
