Click here to close Hello! We notice that you are using Internet Explorer, which is not supported by Xenbase and may cause the site to display incorrectly. We suggest using a current version of Chrome, FireFox, or Safari.

Profile Publications (5)
XB-PERS-3616

Publications By Nitin Sabherwal

???pagination.result.count???

???pagination.result.page??? 1


aPKC phosphorylates p27Xic1, providing a mechanistic link between apicobasal polarity and cell-cycle control., Sabherwal N, Thuret R, Lea R, Stanley P, Papalopulu N., Dev Cell. December 8, 2014; 31 (5): 559-71.   


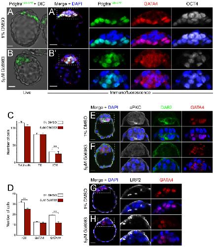
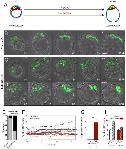
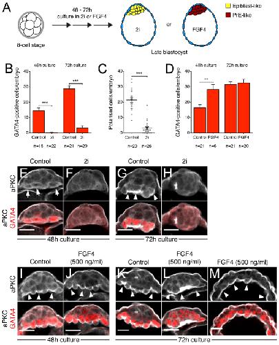
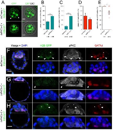
Atypical protein kinase C couples cell sorting with primitive endoderm maturation in the mouse blastocyst., Saiz N, Grabarek JB, Sabherwal N, Papalopulu N, Plusa B., Development. November 1, 2013; 140 (21): 4311-22.   


Apicobasal polarity and cell proliferation during development., Sabherwal N, Papalopulu N., Essays Biochem. January 1, 2012; 53 95-109.


pTransgenesis: a cross-species, modular transgenesis resource., Love NR, Thuret R, Chen Y, Ishibashi S, Sabherwal N, Paredes R, Alves-Silva J, Dorey K, Noble AM, Guille MJ, Sasai Y, Papalopulu N, Amaya E., Development. December 1, 2011; 138 (24): 5451-8.   


The apicobasal polarity kinase aPKC functions as a nuclear determinant and regulates cell proliferation and fate during Xenopus primary neurogenesis., Sabherwal N, Tsutsui A, Hodge S, Wei J, Chalmers AD, Papalopulu N., Development. August 1, 2009; 136 (16): 2767-77.   

???pagination.result.page??? 1