Click here to close Hello! We notice that you are using Internet Explorer, which is not supported by Xenbase and may cause the site to display incorrectly. We suggest using a current version of Chrome, FireFox, or Safari.

Profile Publications (6)
XB-PERS-3594

Publications By Daniel Meulemans Medeiros

???pagination.result.count???

???pagination.result.page??? 1


Evolution of the endothelin pathway drove neural crest cell diversification., Square TA, Jandzik D, Massey JL, Romášek M, Stein HP, Hansen AW, Purkayastha A, Cattell MV, Medeiros DM., Nature. September 1, 2020; 585 (7826): 563-568.


Embryonic expression of endothelins and their receptors in lamprey and frog reveals stem vertebrate origins of complex Endothelin signaling., Square T, Jandzik D, Cattell M, Hansen A, Medeiros DM., Sci Rep. September 28, 2016; 6 34282.   


Mesodermal origin of median fin mesenchyme and tail muscle in amphibian larvae., Taniguchi Y, Kurth T, Medeiros DM, Tazaki A, Ramm R, Epperlein HH., Sci Rep. June 18, 2015; 5 11428.   


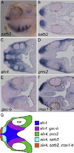
A gene expression map of the larval Xenopus laevis head reveals developmental changes underlying the evolution of new skeletal elements., Square T, Jandzik D, Cattell M, Coe A, Doherty J, Medeiros DM., Dev Biol. January 15, 2015; 397 (2): 293-304.   


A maternally established SoxB1/SoxF axis is a conserved feature of chordate germ layer patterning., Cattell MV, Garnett AT, Klymkowsky MW, Medeiros DM., Evol Dev. January 1, 2012; 14 (1): 104-15.


Mitochondrial transcription factor A is increased but expression of ATP synthase beta subunit and medium-chain acyl-CoA dehydrogenase genes are decreased in hearts of copper-deficient rats., Mao S, Leone TC, Kelly DP, Medeiros DM., J Nutr. September 1, 2000; 130 (9): 2143-50.

???pagination.result.page??? 1