Click here to close Hello! We notice that you are using Internet Explorer, which is not supported by Xenbase and may cause the site to display incorrectly. We suggest using a current version of Chrome, FireFox, or Safari.

Profile Publications (17)
XB-PERS-3520

Publications By Toshihiko Fukuzawa

???pagination.result.count???

???pagination.result.page??? 1


Periodic albinism of a widely used albino mutant of Xenopus laevis caused by deletion of two exons in the Hermansky-Pudlak syndrome type 4 gene., Fukuzawa T., Genes Cells. January 1, 2021; 26 (1): 31-39.   


Unusual light-reflecting pigment cells appear in the Xenopus neural tube culture system in the presence of guanosine., Fukuzawa T, Kikuchi Y., Tissue Cell. October 1, 2018; 54 55-58.


A wide variety of Mitf transcript variants are expressed in the Xenopus laevis periodic albino mutant., Fukuzawa T., Genes Cells. June 19, 2018;   


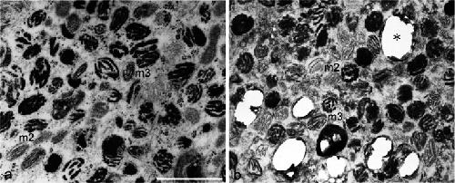
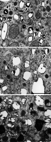
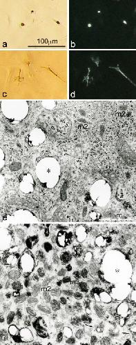
Ferritin H subunit gene is specifically expressed in melanophore precursor-derived white pigment cells in which reflecting platelets are formed from stage II melanosomes in the periodic albino mutant of Xenopus laevis., Fukuzawa T., Cell Tissue Res. September 1, 2015; 361 (3): 733-44.   


Unusual development of light-reflecting pigment cells in intact and regenerating tail in the periodic albino mutant of Xenopus laevis., Fukuzawa T., Cell Tissue Res. October 1, 2010; 342 (1): 53-66.   


Unusual leucophore-like cells specifically appear in the lineage of melanophores in the periodic albino mutant of Xenopus laevis., Fukuzawa T., Pigment Cell Res. June 1, 2004; 17 (3): 252-61.


Melanophore lineage and clonal organization of the epidermis in Xenopus embryos as revealed by expression of a biogenic marker, GFP., Fukuzawa T., Pigment Cell Res. June 1, 2000; 13 (3): 151-7.


The site and time of expression of MIF in frog development., Fukuzawa T, Okumoto H, Nishioka M., Pigment Cell Res. December 1, 1997; 10 (6): 401-9.


N-CAM and N-cadherin are specifically expressed in xanthophores, but not in the other types of pigment cells, melanophores, and iridiphores., Fukuzawa T, Obika M., Pigment Cell Res. February 1, 1995; 8 (1): 1-9.


Evidence that MIF plays a role in the development of pigmentation patterns in the frog., Fukuzawa T, Samaraweera P, Mangano FT, Law JH, Bagnara JT., Dev Biol. January 1, 1995; 167 (1): 148-58.


Intrinsic pigment cell stimulating activity in the skin of the leopard frog, Rana pipiens., Mangano FT, Fukuzawa T, Johnson WC, Bagnara JT., J Exp Zool. August 1, 1992; 263 (1): 112-8.


Integumental pigmentary factors of lower vertebrates--models for human hypo- and hypermelanoses., Bagnara JT, Fukuzawa T, Johnson WC, Law JH, Samaraweera P, Zuasti A., Pigment Cell Res. January 1, 1992; Suppl 2 254-61.


Control of melanoblast differentiation in amphibia by alpha-melanocyte stimulating hormone, a serum melanization factor, and a melanization inhibiting factor., Fukuzawa T, Bagnara JT., Pigment Cell Res. January 1, 1989; 2 (3): 171-81.


A ventrally localized inhibitor of melanization in Xenopus laevis skin., Fukuzawa T, Ide H., Dev Biol. September 1, 1988; 129 (1): 25-36.


Melanophore differentiation in the periodic albino mutant of Xenopus laevis., Fukuzawa T, Ide H., Pigment Cell Res. January 1, 1987; 1 (3): 197-201.


Further studies on the melanophores of periodic albino mutant of Xenopus laevis., Fukuzawa T, Ide H., J Embryol Exp Morphol. February 1, 1986; 91 65-78.


Proliferation in vitro of melanophores from Xenopus laevis., Fukuzawa T, Ide H., J Exp Zool. May 1, 1983; 226 (2): 239-44.

???pagination.result.page??? 1