Click here to close Hello! We notice that you are using Internet Explorer, which is not supported by Xenbase and may cause the site to display incorrectly. We suggest using a current version of Chrome, FireFox, or Safari.

Profile Publications (24)
XB-PERS-3489

Publications By Werner Hoffmann

???pagination.result.count???

???pagination.result.page??? 1


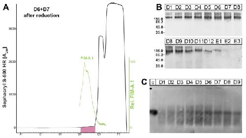
Trefoil Factor Family (TFF) Modules Are Characteristic Constituents of Separate Mucin Complexes in the Xenopus laevis Integumentary Mucus: In Vitro Binding Studies with FIM-A.1., Stürmer R, Reising J, Hoffmann W., Int J Mol Sci. March 31, 2020; 21 (7):   


Subcellular Localization of the TFF Peptides xP1 and xP4 in the Xenopus laevis Gastric/Esophageal Mucosa: Different Secretion Modes Reflecting Diverse Protective Functions., Schwarz H, Hoffmann W., Int J Mol Sci. January 23, 2020; 21 (3):   


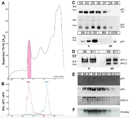
The TFF Peptides xP1 and xP4 Appear in Distinctive Forms in the Xenopus laevis Gastric Mucosa: Indications for Different Protective Functions., Stürmer R, Reising J, Hoffmann W., Int J Mol Sci. November 30, 2019; 20 (23):   


Discovery of 4-(5-methyloxazolo[4,5-b]pyridin-2-yl)-1,4-diazabicyclo[3.2.2]nonane (CP-810,123), a novel alpha 7 nicotinic acetylcholine receptor agonist for the treatment of cognitive disorders in schizophrenia: synthesis, SAR development, and in vivo efficacy in cognition models., O'Donnell CJ, Rogers BN, Bronk BS, Bryce DK, Coe JW, Cook KK, Duplantier AJ, Evrard E, Hajós M, Hoffmann WE, Hurst RS, Maklad N, Mather RJ, McLean S, Nedza FM, O'Neill BT, Peng L, Qian W, Rottas MM, Sands SB, Schmidt AW, Shrikhande AV, Spracklin DK, Wong DF, Zhang A, Zhang L., J Med Chem. February 11, 2010; 53 (3): 1222-37.


A novel positive allosteric modulator of the alpha7 neuronal nicotinic acetylcholine receptor: in vitro and in vivo characterization., Hurst RS, Hajós M, Raggenbass M, Wall TM, Higdon NR, Lawson JA, Rutherford-Root KL, Berkenpas MB, Hoffmann WE, Piotrowski DW, Groppi VE, Allaman G, Ogier R, Bertrand S, Bertrand D, Arneric SP., J Neurosci. April 27, 2005; 25 (17): 4396-405.


Cell type specific expression of secretory TFF peptides: colocalization with mucins and synthesis in the brain., Hoffmann W, Jagla W., Int Rev Cytol. January 1, 2002; 213 147-81.


Structure of the Xenopus laevis TFF-gene xP4.1, differentially expressed to its duplicated homolog xP4.2., Botzler C, Oertel M, Hinz M, Hoffmann W., Biochim Biophys Acta. December 23, 1999; 1489 (2-3): 345-53.


Differential expression of the TFF-peptides xP1 and xP4 in the gastrointestinal tract of Xenopus laevis., Jagla W, Wiede A, Kölle S, Hoffmann W., Cell Tissue Res. January 1, 1998; 291 (1): 13-8.


Similarities of integumentary mucin B.1 from Xenopus laevis and prepro-von Willebrand factor at their amino-terminal regions., Joba W, Hoffmann W., J Biol Chem. January 17, 1997; 272 (3): 1805-10.


Alternative splicing of repetitive units is responsible for the polydispersities of integumentary mucin B.1 (FIM-B.1) from Xenopus laevis., Joba W, Hoffmann W., Glycoconj J. October 1, 1996; 13 (5): 735-40.


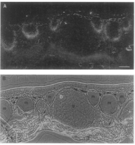
Molecular anatomy of a skin gland: histochemical and biochemical investigations on the mucous glands of Xenopus laevis., Schumacher U, Adam E, Hauser F, Probst JC, Hoffmann W., J Histochem Cytochem. January 1, 1994; 42 (1): 57-65.   


Biosynthesis of frog skin mucins: cysteine-rich shuffled modules, polydispersities and genetic polymorphism., Hoffmann W, Hauser F., Comp Biochem Physiol B. January 1, 1993; 105 (3-4): 465-72.


P-domains as shuffled cysteine-rich modules in integumentary mucin C.1 (FIM-C.1) from Xenopus laevis. Polydispersity and genetic polymorphism., Hauser F, Hoffmann W., J Biol Chem. December 5, 1992; 267 (34): 24620-4.   


xP2, a new member of the P-domain peptide family of potential growth factors, is synthesized in Xenopus laevis skin., Hauser F, Roeben C, Hoffmann W., J Biol Chem. July 15, 1992; 267 (20): 14451-5.   


The polymorphic integumentary mucin B.1 from Xenopus laevis contains the short consensus repeat., Probst JC, Hauser F, Joba W, Hoffmann W., J Biol Chem. March 25, 1992; 267 (9): 6310-6.   


xP1 and xP4. P-domain peptides expressed in Xenopus laevis stomach mucosa., Hauser F, Hoffmann W., J Biol Chem. November 5, 1991; 266 (31): 21306-9.   


Expression of spasmolysin (FIM-A.1): an integumentary mucin from Xenopus laevis., Hauser F, Gertzen EM, Hoffmann W., Exp Cell Res. August 1, 1990; 189 (2): 157-62.   


An integumentary mucin (FIM-B.1) from Xenopus laevis homologous with von Willebrand factor., Probst JC, Gertzen EM, Hoffmann W., Biochemistry. July 3, 1990; 29 (26): 6240-4.   


Amino acid sequence microheterogeneities of a type I cytokeratin of Mr 51,000 from Xenopus laevis epidermis., Hoffmann W, Sterrer S, Königstorfer A., FEBS Lett. September 12, 1988; 237 (1-2): 178-82.


A new repetitive protein from Xenopus laevis skin highly homologous to pancreatic spasmolytic polypeptide., Hoffmann W., J Biol Chem. June 5, 1988; 263 (16): 7686-90.


Amino acid sequence microheterogeneities of basic (type II) cytokeratins of Xenopus laevis epidermis and evolutionary conservativity of helical and non-helical domains., Hoffmann W, Franz JK, Franke WW., J Mol Biol. August 20, 1985; 184 (4): 713-24.


Amino acid sequence of the carboxy-terminal part of an acidic type I cytokeratin of molecular weight 51 000 from Xenopus laevis epidermis as predicted from the cDNA sequence., Hoffmann W, Franz JK., EMBO J. June 1, 1984; 3 (6): 1301-6.


Biosynthesis of caerulein in the skin of Xenopus laevis: partial sequences of precursors as deduced from cDNA clones., Hoffmann W, Bach TC, Seliger H, Kreil G., EMBO J. January 1, 1983; 2 (1): 111-4.


A novel peptide designated PYLa and its precursor as predicted from cloned mRNA of Xenopus laevis skin., Hoffmann W, Richter K, Kreil G., EMBO J. January 1, 1983; 2 (5): 711-4.

???pagination.result.page??? 1