Click here to close Hello! We notice that you are using Internet Explorer, which is not supported by Xenbase and may cause the site to display incorrectly. We suggest using a current version of Chrome, FireFox, or Safari.

Profile Publications (19)
XB-PERS-3466

Publications By Brigid L. Hogan

???pagination.result.count???

???pagination.result.page??? 1


The forkhead genes, Foxc1 and Foxc2, regulate paraxial versus intermediate mesoderm cell fate., Wilm B, James RG, Schultheiss TM, Hogan BL., Dev Biol. July 1, 2004; 271 (1): 176-89.   


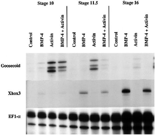
A mouse homologue of FAST-1 transduces TGF beta superfamily signals and is expressed during early embryogenesis., Weisberg E, Winnier GE, Chen X, Farnsworth CL, Hogan BL, Whitman M., Mech Dev. December 1, 1998; 79 (1-2): 17-27.   


Evidence for the involvement of the Gli gene family in embryonic mouse lung development., Grindley JC, Bellusci S, Perkins D, Hogan BL., Dev Biol. August 15, 1997; 188 (2): 337-48.


Haploinsufficient phenotypes in Bmp4 heterozygous null mice and modification by mutations in Gli3 and Alx4., Dunn NR, Winnier GE, Hargett LK, Schrick JJ, Fogo AB, Hogan BL., Dev Biol. August 15, 1997; 188 (2): 235-47.


Bone morphogenetic proteins in development., Hogan BL., Curr Opin Genet Dev. August 1, 1996; 6 (4): 432-8.


Bone morphogenetic protein-4 (BMP-4) acts during gastrula stages to cause ventralization of Xenopus embryos., Jones CM, Dale L, Hogan BL, Wright CV, Smith JC., Development. May 1, 1996; 122 (5): 1545-54.   


PDX-1 is required for pancreatic outgrowth and differentiation of the rostral duodenum., Offield MF, Jetton TL, Labosky PA, Ray M, Stein RW, Magnuson MA, Hogan BL, Wright CV., Development. March 1, 1996; 122 (3): 983-95.


Nodal-related signals induce axial mesoderm and dorsalize mesoderm during gastrulation., Jones CM, Kuehn MR, Hogan BL, Smith JC, Wright CV., Development. November 1, 1995; 121 (11): 3651-62.   


Molecular morphogens. Upside-down ideas vindicated., Hogan BL., Nature. July 20, 1995; 376 (6537): 210-1.


TGF-beta related genes in development., Wall NA, Hogan BL., Curr Opin Genet Dev. August 1, 1994; 4 (4): 517-22.


Embryonic expression of Lim-1, the mouse homolog of Xenopus Xlim-1, suggests a role in lateral mesoderm differentiation and neurogenesis., Barnes JD, Crosby JL, Jones CM, Wright CV, Hogan BL., Dev Biol. January 1, 1994; 161 (1): 168-78.   


Nodal is a novel TGF-beta-like gene expressed in the mouse node during gastrulation., Zhou X, Sasaki H, Lowe L, Hogan BL, Kuehn MR., Nature. February 11, 1993; 361 (6412): 543-7.


Isolation of Vgr-2, a novel member of the transforming growth factor-beta-related gene family., Jones CM, Simon-Chazottes D, Guenet JL, Hogan BL., Mol Endocrinol. November 1, 1992; 6 (11): 1961-8.


DVR-4 (bone morphogenetic protein-4) as a posterior-ventralizing factor in Xenopus mesoderm induction., Jones CM, Lyons KM, Lapan PM, Wright CV, Hogan BL., Development. June 1, 1992; 115 (2): 639-47.


Growth factors in development: the role of TGF-beta related polypeptide signalling molecules in embryogenesis., Hogan BL, Blessing M, Winnier GE, Suzuki N, Jones CM., Dev Suppl. January 1, 1992; 53-60.


The TGF-beta-related DVR gene family in mammalian development., Lyons KM, Jones CM, Hogan BL., Ciba Found Symp. January 1, 1992; 165 219-30; discussion 230-4.


Expression of TGF-beta-related genes during mouse embryo whisker morphogenesis., Jones CM, Lyons KM, Hogan BL., Ann N Y Acad Sci. December 26, 1991; 642 339-44; discussion 344-5.


The DVR gene family in embryonic development., Lyons KM, Jones CM, Hogan BL., Trends Genet. January 1, 1991; 7 (11-12): 408-12.


Vgr-1, a mammalian gene related to Xenopus Vg-1, is a member of the transforming growth factor beta gene superfamily., Lyons K, Graycar JL, Lee A, Hashmi S, Lindquist PB, Chen EY, Hogan BL, Derynck R., Proc Natl Acad Sci U S A. June 1, 1989; 86 (12): 4554-8.

???pagination.result.page??? 1