Click here to close Hello! We notice that you are using Internet Explorer, which is not supported by Xenbase and may cause the site to display incorrectly. We suggest using a current version of Chrome, FireFox, or Safari.

Profile Publications (15)
XB-PERS-3394

Publications By Anthony L Mescher (retired)

???pagination.result.count???

???pagination.result.page??? 1


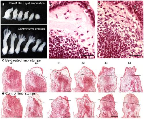
Studies of Limb Regeneration in Larval Xenopus., Mescher AL, Neff AW., Cold Spring Harb Protoc. April 1, 2019; 2019 (4):


Inflammation and immunity in organ regeneration., Mescher AL, Neff AW, King MW., Dev Comp Immunol. January 1, 2017; 66 98-110.


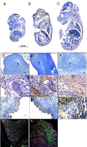
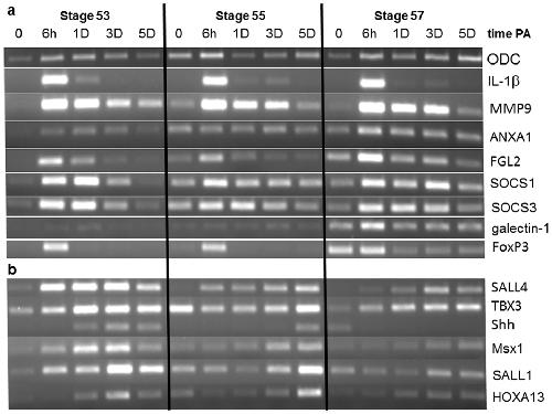
Changes in the inflammatory response to injury and its resolution during the loss of regenerative capacity in developing Xenopus limbs., Mescher AL, Neff AW, King MW., PLoS One. January 1, 2013; 8 (11): e80477.   


The developing Xenopus limb as a model for studies on the balance between inflammation and regeneration., King MW, Neff AW, Mescher AL., Anat Rec (Hoboken). October 1, 2012; 295 (10): 1552-61.


Dedifferentiation and the role of sall4 in reprogramming and patterning during amphibian limb regeneration., Neff AW, King MW, Mescher AL., Dev Dyn. May 1, 2011; 240 (5): 979-89.   


RNA helicase Ddx39 is expressed in the developing central nervous system, limb, otic vesicle, branchial arches and facial mesenchyme of Xenopus laevis., Wilson JM, Martinez-De Luna RI, Hodiri HM, Smith R, King MW, Mescher AL, Neff AW, Belecky-Adams TL., Gene Expr Patterns. January 1, 2010; 10 (1): 44-52.   


Proteomics analysis of regenerating amphibian limbs: changes during the onset of regeneration., King MW, Neff AW, Mescher AL., Int J Dev Biol. January 1, 2009; 53 (7): 955-69.


Neural MMP-28 expression precedes myelination during development and peripheral nerve repair., Werner SR, Mescher AL, Neff AW, King MW, Chaturvedi S, Duffin KL, Harty MW, Smith RC., Dev Dyn. October 1, 2007; 236 (10): 2852-64.   


Cells of cutaneous immunity in Xenopus: studies during larval development and limb regeneration., Mescher AL, Wolf WL, Moseman EA, Hartman B, Harrison C, Nguyen E, Neff AW., Dev Comp Immunol. January 1, 2007; 31 (4): 383-93.   


Global analysis of gene expression in Xenopus hindlimbs during stage-dependent complete and incomplete regeneration., Grow M, Neff AW, Mescher AL, King MW., Dev Dyn. October 1, 2006; 235 (10): 2667-85.   


Expression of Xenopus XlSALL4 during limb development and regeneration., Neff AW, King MW, Harty MW, Nguyen T, Calley J, Smith RC, Mescher AL., Dev Dyn. June 1, 2005; 233 (2): 356-67.   


Identification of genes expressed during Xenopus laevis limb regeneration by using subtractive hybridization., King MW, Nguyen T, Calley J, Harty MW, Muzinich MC, Mescher AL, Chalfant C, N'Cho M, McLeaster K, McEntire J, Stocum D, Smith RC, Neff AW., Dev Dyn. February 1, 2003; 226 (2): 398-409.


Cloning and expression of the axolotl proto-oncogene ski., Ludolph DC, Neff AW, Parker MA, Mescher AL, Smith RC, Malacinski GM., Biochim Biophys Acta. January 2, 1995; 1260 (1): 102-4.


Overexpression of XMyoD or XMyf5 in Xenopus embryos induces the formation of enlarged myotomes through recruitment of cells of nonsomitic lineage., Ludolph DC, Neff AW, Mescher AL, Malacinski GM, Parker MA, Smith RC., Dev Biol. November 1, 1994; 166 (1): 18-33.   


Protein synthesis in the newt regenerating limb. Comparative two-dimensional PAGE, computer analysis and protein sequencing., Tsonis PA, Mescher AL, Del Rio-Tsonis K., Biochem J. February 1, 1992; 281 ( Pt 3) 665-8.

???pagination.result.page??? 1