|
XB-PERS-3392
Publications By David A. Tonge
???pagination.result.count??????pagination.result.page??? 1
|
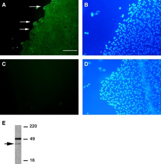
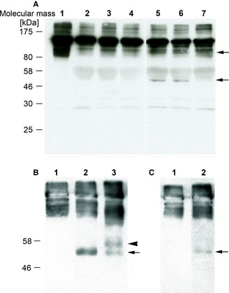
Axonal growth towards Xenopus skin in vitro is mediated by matrix metalloproteinase activity., Tonge D, Zhu N, Lynham S, Leclere P, Snape A, Brewer A, Schlomann U, Ferdous T, Tennyson C, Bartsch JW, Ward M, Pizzey J., Eur J Neurosci. February 1, 2013; 37 (4): 519-31. |
|
Enhancement of axonal regeneration by in vitro conditioning and its inhibition by cyclopentenone prostaglandins., Tonge D, Chan K, Zhu N, Panjwani A, Arno M, Lynham S, Ward M, Snape A, Pizzey J., J Cell Sci. August 1, 2008; 121 (Pt 15): 2565-77. |
|
Neurotrophin-independent attraction of growing sensory and motor axons towards developing Xenopus limb buds in vitro., Tonge DA, Pountney DJ, Leclere PG, Zhu N, Pizzey JA., Dev Biol. January 1, 2004; 265 (1): 169-80. |
???pagination.result.page??? 1
