Click here to close Hello! We notice that you are using Internet Explorer, which is not supported by Xenbase and may cause the site to display incorrectly. We suggest using a current version of Chrome, FireFox, or Safari.

Profile Publications (10)
XB-PERS-3153

Publications By Antonella Franchini

???pagination.result.count???

???pagination.result.page??? 1


The spleen and skin wound healing in Xenopus adults., Franchini A, Della Rocca A, Bertolotti E., J Morphol. July 1, 2016; 277 (7): 888-95.


The thymus and skin wound healing in Xenopus laevis adults., Franchini A, Bertolotti E., Acta Histochem. September 1, 2014; 116 (7): 1141-7.


Skin wound healing in different aged Xenopus laevis., Bertolotti E, Malagoli D, Franchini A., J Morphol. August 1, 2013; 274 (8): 956-64.


The thymus and tail regenerative capacity in Xenopus laevis tadpoles., Franchini A, Bertolotti E., Acta Histochem. July 1, 2012; 114 (4): 334-41.


Tail regenerative capacity and iNOS immunolocalization in Xenopus laevis tadpoles., Franchini A, Bertolotti E., Cell Tissue Res. May 1, 2011; 344 (2): 261-9.


Targets and effects of yessotoxin, okadaic acid and palytoxin: a differential review., Franchini A, Malagoli D, Ottaviani E., Mar Drugs. March 16, 2010; 8 (3): 658-77.   


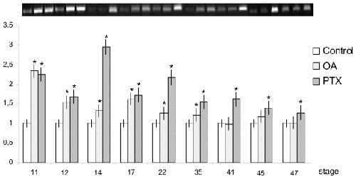
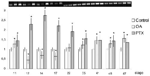
Expression of the genes siamois, engrailed-2, bmp4 and myf5 during Xenopus development in presence of the marine toxins okadaic acid and palytoxin., Franchini A, Casarini L, Malagoli D, Ottaviani E., Chemosphere. October 1, 2009; 77 (3): 308-12.


Toxicological effects of marine palytoxin evaluated by FETAX assay., Franchini A, Casarini L, Ottaviani E., Chemosphere. September 1, 2008; 73 (3): 267-71.


Evaluation of the effects of the marine toxin okadaic acid by using FETAX assay., Casarini L, Franchini A, Malagoli D, Ottaviani E., Toxicol Lett. March 8, 2007; 169 (2): 145-51.


Immunocytochemical evidence of PDGF- and TGF-beta-like molecules in invertebrate and vertebrate immunocytes: an evolutionary approach., Franchini A, Kletsas D, Ottaviani E., Histochem J. September 1, 1996; 28 (9): 599-605.

???pagination.result.page??? 1