Click here to close Hello! We notice that you are using Internet Explorer, which is not supported by Xenbase and may cause the site to display incorrectly. We suggest using a current version of Chrome, FireFox, or Safari.

Profile Publications (37)
XB-PERS-3086

Publications By Nerea Moreno

???pagination.result.count???

???pagination.result.page??? 1


Development of subdomains in the medial pallium of Xenopus laevis and Trachemys scripta: Insights into the anamniote-amniote transition., Jiménez S, Moreno N., Front Neuroanat. 16 1039081.   


Developmental and adult expression of the Meis2 transcription factor in the central nervous system of Xenopus laevis: a developmental and evolutive analysis., Morona R, Martinez A, Moreno N., Front Neuroanat. November 6, 2025; 19 1677413.   


Microtransplantation of Postmortem Native Synaptic mGluRs Receptors into Xenopus Oocytes for Their Functional Analysis., Miller B, Moreno N, Gutierrez BA, Limon A., Membranes (Basel). September 26, 2022; 12 (10):   


Analysis of the Expression Pattern of Cajal-Retzius Cell Markers in the Xenopus laevis Forebrain., Jiménez S, Moreno N., Brain Behav Evol. January 1, 2022; 96 (4-6): 263-282.


Analysis of the Pallial Amygdala in Anurans: Derivatives and Cellular Components., Jiménez S, Moreno N., Brain Behav Evol. January 1, 2022; 97 (6): 309-320.


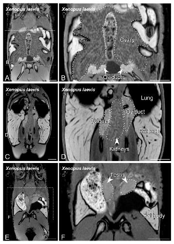
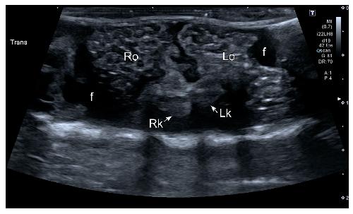
Sex Determination in Two Species of Anuran Amphibians by Magnetic Resonance Imaging and Ultrasound Techniques., Ruiz-Fernández MJ, Jiménez S, Fernández-Valle E, García-Real MI, Castejón D, Moreno N, Ardiaca M, Montesinos A, Ariza S, González-Soriano J., Animals (Basel). November 18, 2020; 10 (11):   


Amphibian thalamic nuclear organization during larval development and in the adult frog Xenopus laevis: Genoarchitecture and hodological analysis., Morona R, Bandín S, López JM, Moreno N, González A., J Comp Neurol. October 1, 2020; 528 (14): 2361-2403.   


Analysis of pallial/cortical interneurons in key vertebrate models of Testudines, Anurans and Polypteriform fishes., Jiménez S, López JM, Lozano D, Morona R, González A, Moreno N., Brain Struct Funct. September 1, 2020; 225 (7): 2239-2269.


Pattern of Neurogenesis and Identification of Neuronal Progenitor Subtypes during Pallial Development in Xenopus laevis., Moreno N, González A., Front Neuroanat. March 27, 2017; 11 24.   


Patterns of hypothalamic regionalization in amphibians and reptiles: common traits revealed by a genoarchitectonic approach., Domínguez L, González A, Moreno N., Front Neuroanat. February 3, 2015; 9 3.   


Immunohistochemical analysis of Pax6 and Pax7 expression in the CNS of adult Xenopus laevis., Bandín S, Morona R, López JM, Moreno N, González A., J Chem Neuroanat. May 1, 2014; 57-58 24-41.


Characterization of the hypothalamus of Xenopus laevis during development. II. The basal regions., Domínguez L, González A, Moreno N., J Comp Neurol. April 1, 2014; 522 (5): 1102-31.   


Regional expression of Pax7 in the brain of Xenopus laevis during embryonic and larval development., Bandín S, Morona R, Moreno N, González A., Front Neuroanat. December 24, 2013; 7 48.   


Characterization of the hypothalamus of Xenopus laevis during development. I. The alar regions., Domínguez L, Morona R, González A, Moreno N., J Comp Neurol. March 1, 2013; 521 (4): 725-59.   


Characterization of the bed nucleus of the stria terminalis in the forebrain of anuran amphibians., Moreno N, Morona R, López JM, Domínguez L, Joven A, Bandín S, González A., J Comp Neurol. February 1, 2012; 520 (2): 330-63.


Ontogenetic distribution of the transcription factor nkx2.2 in the developing forebrain of Xenopus laevis., Domínguez L, González A, Moreno N., Front Neuroanat. March 2, 2011; 5 11.   


Sonic hedgehog expression during Xenopus laevis forebrain development., Domínguez L, González A, Moreno N., Dev Biol. August 6, 2010; 1347 19-32.   


Spatio-temporal expression of Pax6 in Xenopus forebrain., Moreno N, Rétaux S, González A., Brain Res. November 6, 2008; 1239 92-9.   


Islet1 as a marker of subdivisions and cell types in the developing forebrain of Xenopus., Moreno N, Domínguez L, Rétaux S, González A., Neuroscience. July 17, 2008; 154 (4): 1423-39.


Anuran olfactory bulb organization: embryology, neurochemistry and hodology., Moreno N, Morona R, López JM, Dominguez L, Muñoz M, González A., Brain Res Bull. March 18, 2008; 75 (2-4): 241-5.


Evidences for tangential migrations in Xenopus telencephalon: developmental patterns and cell tracking experiments., Moreno N, González A, Rétaux S., Dev Neurobiol. March 1, 2008; 68 (4): 504-20.   


Origins of spinal cholinergic pathways in amphibians demonstrated by retrograde transport and choline acetyltransferase immunohistochemistry., López JM, Morona R, Moreno N, Domínguez L, González A., Neurosci Lett. September 25, 2007; 425 (2): 73-7.


Development of the vomeronasal amygdala in anuran amphibians: hodological, neurochemical, and gene expression characterization., Moreno N, González A., J Comp Neurol. August 20, 2007; 503 (6): 815-31.


Spatiotemporal sequence of appearance of NPFF-immunoreactive structures in the developing central nervous system of Xenopus laevis., López JM, Moreno N, Morona R, Muñoz M, González A., Peptides. May 1, 2006; 27 (5): 1036-53.


Immunohistochemical localization of calbindin-D28k and calretinin in the spinal cord of Xenopus laevis., Morona R, Moreno N, López JM, González A., J Comp Neurol. February 10, 2006; 494 (5): 763-83.


Colocalization of nitric oxide synthase and monoamines in neurons of the amphibian brain., López JM, Moreno N, Morona R, Muñoz M, González A., Brain Res Bull. September 15, 2005; 66 (4-6): 555-9.


Calbindin-D28k immunoreactivity in the spinal cord of Xenopus laevis and its participation in ascending and descending projections., Morona R, Moreno N, López JM, Muñoz M, Ten Donkelaar HJ, González A., Brain Res Bull. September 15, 2005; 66 (4-6): 550-4.


Lateral and medial amygdala of anuran amphibians and their relation to olfactory and vomeronasal information., Moreno N, Morona R, López JM, Muñoz M, González A., Brain Res Bull. September 15, 2005; 66 (4-6): 332-6.


Central amygdala in anuran amphibians: neurochemical organization and connectivity., Moreno N, González A., J Comp Neurol. August 15, 2005; 489 (1): 69-91.


LIM-homeodomain genes as territory markers in the brainstem of adult and developing Xenopus laevis., Moreno N, Bachy I, Rétaux S, González A., J Comp Neurol. May 9, 2005; 485 (3): 240-54.


Localization and connectivity of the lateral amygdala in anuran amphibians., Moreno N, González A., J Comp Neurol. November 8, 2004; 479 (2): 130-48.   


LIM-homeodomain genes as developmental and adult genetic markers of Xenopus forebrain functional subdivisions., Moreno N, Bachy I, Rétaux S, González A., J Comp Neurol. April 19, 2004; 472 (1): 52-72.   


Pallial origin of mitral cells in the olfactory bulbs of Xenopus., Moreno N, Bachy I, Rétaux S, González A., Neuroreport. December 19, 2003; 14 (18): 2355-8.


Hodological characterization of the medial amygdala in anuran amphibians., Moreno N, González A., J Comp Neurol. November 17, 2003; 466 (3): 389-408.


Comparative analysis of neuropeptide FF-like immunoreactivity in the brain of anuran (Rana perezi, Xenopus laevis) and urodele (Pleurodeles waltl) amphibians., Crespo M, Moreno N, López JM, González A., J Chem Neuroanat. January 1, 2003; 25 (1): 53-71.


Localization of choline acetyltransferase in the developing and adult retina of Xenopus laevis., López JM, Moreno N, González A., Neurosci Lett. September 13, 2002; 330 (1): 61-4.


Origin and development of descending catecholaminergic pathways to the spinal cord in amphibians., Sánchez-Camacho C, Marín O, López JM, Moreno N, Smeets WJ, ten Donkelaar HJ, González A., Brain Res Bull. February 1, 2002; 57 (3-4): 325-30.

???pagination.result.page??? 1