Click here to close Hello! We notice that you are using Internet Explorer, which is not supported by Xenbase and may cause the site to display incorrectly. We suggest using a current version of Chrome, FireFox, or Safari.

Profile Publications (17)
XB-PERS-3080

Publications By Francesca M Spagnoli

???pagination.result.count???

???pagination.result.page??? 1


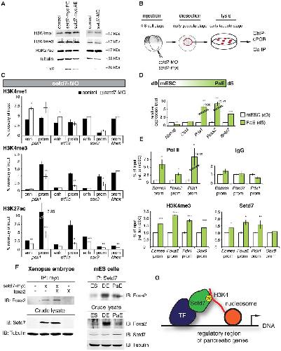
The histone methyltransferase Setd7 promotes pancreatic progenitor identity., Kofent J, Zhang J, Spagnoli FM., Development. October 1, 2016; 143 (19): 3573-3581.   


Xenopus as a model system for studying pancreatic development and diabetes., Kofent J, Spagnoli FM., Semin Cell Dev Biol. March 1, 2016; 51 106-16.   


Recessive mutations in PCBD1 cause a new type of early-onset diabetes., Simaite D, Kofent J, Gong M, Rüschendorf F, Jia S, Arn P, Bentler K, Ellaway C, Kühnen P, Hoffmann GF, Blau N, Spagnoli FM, Hübner N, Raile K., Diabetes. October 1, 2014; 63 (10): 3557-64.


Glimpse into Hox and tale regulation of cell differentiation and reprogramming., Cerdá-Esteban N, Spagnoli FM., Dev Dyn. January 1, 2014; 243 (1): 76-87.   


Mutually exclusive signaling signatures define the hepatic and pancreatic progenitor cell lineage divergence., Rodríguez-Seguel E, Mah N, Naumann H, Pongrac IM, Cerdá-Esteban N, Fontaine JF, Wang Y, Chen W, Andrade-Navarro MA, Spagnoli FM., Genes Dev. September 1, 2013; 27 (17): 1932-46.   


Rho signalling restriction by the RhoGAP Stard13 integrates growth and morphogenesis in the pancreas., Petzold KM, Naumann H, Spagnoli FM., Development. January 1, 2013; 140 (1): 126-35.


RhoGAP control of pancreas development: putting cells in the right place at the right time., Zygmunt T, Spagnoli FM., Small GTPases. January 1, 2013; 4 (2): 127-31.


Two novel GATA6 mutations cause childhood-onset diabetes mellitus, pancreas malformation and congenital heart disease., Gong M, Simaite D, Kühnen P, Heldmann M, Spagnoli F, Blankenstein O, Hübner N, Hussain K, Raile K., Horm Res Paediatr. January 1, 2013; 79 (4): 250-6.


A system for ex vivo culturing of embryonic pancreas., Petzold KM, Spagnoli FM., J Vis Exp. August 27, 2012; (66): e3979.


Where do you come from; where do you go? Pluripotency, differentiation and malfunction of stem cells., Spagnoli FM, Besser D, Benitah SA., EMBO Rep. December 23, 2011; 13 (1): 9-11.


The miR-430/427/302 family controls mesendodermal fate specification via species-specific target selection., Rosa A, Spagnoli FM, Brivanlou AH., Dev Cell. April 1, 2009; 16 (4): 517-27.   


The Gata5 target, TGIF2, defines the pancreatic region by modulating BMP signals within the endoderm., Spagnoli FM, Brivanlou AH., Development. February 1, 2008; 135 (3): 451-61.   


From endoderm to pancreas: a multistep journey., Spagnoli FM., Cell Mol Life Sci. September 1, 2007; 64 (18): 2378-90.


Balancing BMP signaling through integrated inputs into the Smad1 linker., Sapkota G, Alarcón C, Spagnoli FM, Brivanlou AH, Massagué J., Mol Cell. February 9, 2007; 25 (3): 441-54.


Guiding embryonic stem cells towards differentiation: lessons from molecular embryology., Spagnoli FM, Hemmati-Brivanlou A., Curr Opin Genet Dev. October 1, 2006; 16 (5): 469-75.   


The RNA-binding protein, Vg1RBP, is required for pancreatic fate specification., Spagnoli FM, Brivanlou AH., Dev Biol. April 15, 2006; 292 (2): 442-56.   


A full menu for stem-cell research., Spagnoli FM, Brivanlou AH., Genome Biol. January 1, 2005; 6 (3): 311.

???pagination.result.page??? 1