|
XB-PERS-3008
Publications By Artur Llobet
???pagination.result.count??????pagination.result.page??? 1
|
Photoswitching endogenous glutamate receptors in neural ensembles and single synapses in vivo., Garrido-Charles A, Bosch M, Lee H, Rovira X, Pittolo S, Llobet A, Wong HH, Trapero A, Matera C, Papotto C, Serra C, Llebaria A, Soriano E, Sanchez-Vives MV, Holt CE, Gorostiza P., Brain Stimul. September 11, 2025; 18 (6): 1779-1793. |
|
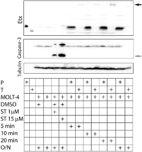
The epsilon toxin from Clostridium perfringens stimulates calcium-activated chloride channels, generating extracellular vesicles in Xenopus oocytes., Cases M, Dorca-Arévalo J, Blanch M, Rodil S, Terni B, Martín-Satué M, Llobet A, Blasi J, Solsona C., Pharmacol Res Perspect. October 1, 2024; 12 (5): e70005. |
|
Axon terminals control endolysosome diffusion to support synaptic remodelling., Terni B, Llobet A., Life Sci Alliance. July 5, 2021; 4 (8): |
|
Functional Evaluation of Olfactory Pathways in Living Xenopus Tadpoles., Terni B, Pacciolla P, Perelló M, Llobet A., J Vis Exp. December 11, 2018; (142): |
|
Tight temporal coupling between synaptic rewiring of olfactory glomeruli and the emergence of odor-guided behavior in Xenopus tadpoles., Terni B, Pacciolla P, Masanas H, Gorostiza P, Llobet A., J Comp Neurol. December 1, 2017; 525 (17): 3769-3783. |
|
SPARC triggers a cell-autonomous program of synapse elimination., López-Murcia FJ, Terni B, Llobet A., Proc Natl Acad Sci U S A. October 27, 2015; 112 (43): 13366-71. |
|
An allosteric modulator to control endogenous G protein-coupled receptors with light., Pittolo S, Gómez-Santacana X, Eckelt K, Rovira X, Dalton J, Goudet C, Pin JP, Llobet A, Giraldo J, Llebaria A, Gorostiza P., Nat Chem Biol. October 1, 2014; 10 (10): 813-5. |
|
Role of connexin 32 hemichannels in the release of ATP from peripheral nerves., Nualart-Marti A, del Molino EM, Grandes X, Bahima L, Martin-Satué M, Puchal R, Fasciani I, González-Nieto D, Ziganshin B, Llobet A, Barrio LC, Solsona C., Glia. December 1, 2013; 61 (12): 1976-89. |
???pagination.result.page??? 1
