???pagination.result.count???
RNF43 and ZNRF3 in Wnt Signaling - A Master Regulator at the Membrane. , Farnhammer F, Colozza G , Kim J ., Int J Stem Cells. August 30, 2023; 16 (4): 376-384.
Clone wars: From molecules to cell competition in intestinal stem cell homeostasis and disease. , Colozza G , Park SY, Koo BK., Exp Mol Med. September 18, 2022; 54 (9): 1367-1378.
The cytokine FAM3B/PANDER is an FGFR ligand that promotes posterior development in Xenopus. , Zhang F, Zhu X, Wang P, He Q, Huang H, Zheng T, Li Y, Jia H, Xu L, Zhao H , Colozza G , Tao Q , De Robertis EM , Ding Y ., Proc Natl Acad Sci U S A. May 18, 2021; 118 (20):
Wnt/β-catenin signaling: Structure, assembly and endocytosis of the signalosome. , Colozza G , Koo BK., Dev Growth Differ. April 26, 2021; 63 (3): 199-218.
Purified Bighead protein efficiently promotes head development in the South African clawed frog, Xenopus laevis. , Colozza G ., MicroPubl Biol. January 5, 2021; 2021
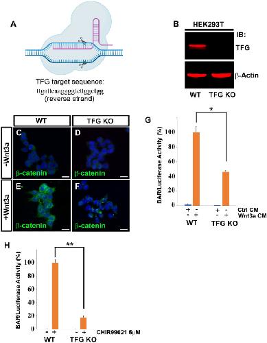
Wnt-inducible Lrp6- APEX2 interacting proteins identify ESCRT machinery and Trk-fused gene as components of the Wnt signaling pathway. , Colozza G , Jami-Alahmadi Y, Dsouza A, Tejeda-Muñoz N, Albrecht LV, Sosa EA, Wohlschlegel JA, De Robertis EM ., Sci Rep. December 9, 2020; 10 (1): 21555.
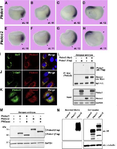
Dact-4 is a Xenopus laevis Spemann organizer gene related to the Dapper/Frodo antagonist of β-catenin family of proteins. , Colozza G , De Robertis EM ., Gene Expr Patterns. December 1, 2020; 38 119153.
GSK3 Inhibits Macropinocytosis and Lysosomal Activity through the Wnt Destruction Complex Machinery. , Albrecht LV, Tejeda-Muñoz N , Bui MH, Cicchetto AC, Di Biagio D, Colozza G , Schmid E, Piccolo S , Christofk HR, De Robertis EM ., Cell Rep. July 28, 2020; 32 (4): 107973.
Transcriptome analysis of regeneration during Xenopus laevis experimental twinning. , Sosa EA, Moriyama Y , Ding Y , Tejeda-Muñoz N, Colozza G , De Robertis EM ., Int J Dev Biol. January 1, 2019; 63 (6-7): 301-309.
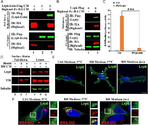
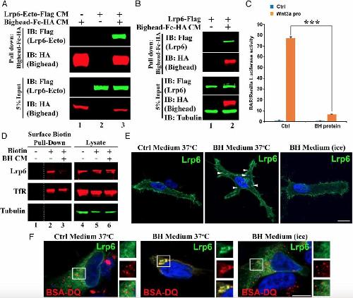
Bighead is a Wnt antagonist secreted by the Xenopus Spemann organizer that promotes Lrp6 endocytosis. , Ding Y , Colozza G , Sosa EA, Moriyama Y , Rundle S, Salwinski L, De Robertis EM ., Proc Natl Acad Sci U S A. September 25, 2018; 115 (39): E9135-E9144.
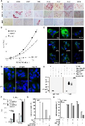
Angiopoietin-like 4 Is a Wnt Signaling Antagonist that Promotes LRP6 Turnover. , Kirsch N, Chang LS, Koch S, Glinka A , Dolde C, Colozza G , Benitez MDJ, De Robertis EM , Niehrs C ., Dev Cell. October 9, 2017; 43 (1): 71-82.e6.
Generation of animal form by the Chordin/Tolloid/BMP gradient: 100 years after D'Arcy Thompson. , De Robertis EM , Moriyama Y , Colozza G ., Dev Growth Differ. September 1, 2017; 59 (7): 580-592.
Müller glial cell reactivation in Xenopus models of retinal degeneration. , Langhe R, Chesneau A, Colozza G , Hidalgo M, Ail D, Locker M , Perron M ., Glia. August 1, 2017; 65 (8): 1333-1349.
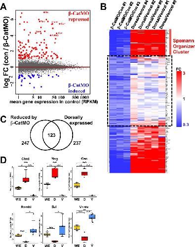
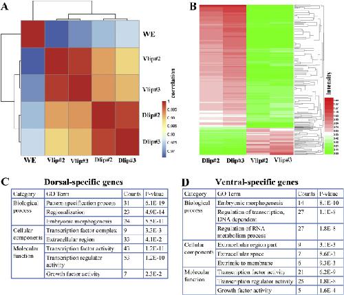
Genome-wide analysis of dorsal and ventral transcriptomes of the Xenopus laevis gastrula. , Ding Y , Colozza G , Zhang K, Moriyama Y , Ploper D, Sosa EA, Benitez MDJ, De Robertis EM ., Dev Biol. June 15, 2017; 426 (2): 176-187.
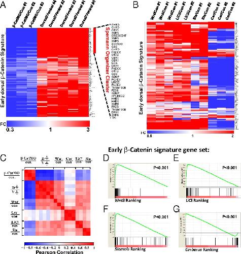
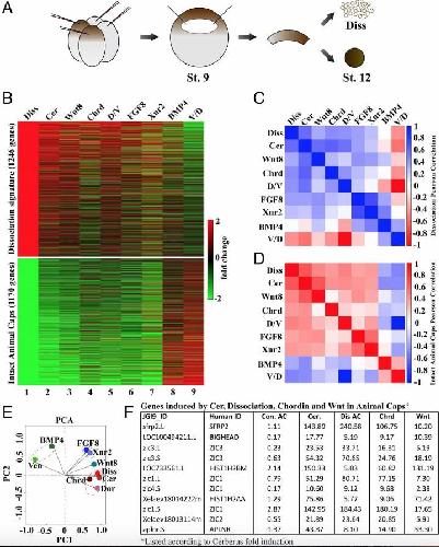
Spemann organizer transcriptome induction by early beta-catenin, Wnt, Nodal, and Siamois signals in Xenopus laevis. , Ding Y , Ploper D, Sosa EA, Colozza G , Moriyama Y , Benitez MD, Zhang K, Merkurjev D, De Robertis EM ., Proc Natl Acad Sci U S A. April 11, 2017; 114 (15): E3081-E3090.
Maternal syntabulin is required for dorsal axis formation and is a germ plasm component in Xenopus. , Colozza G , De Robertis EM ., Differentiation. July 1, 2014; 88 (1): 17-26.
Development: scaling to size by protease inhibition. , De Robertis EM , Colozza G ., Curr Biol. August 5, 2013; 23 (15): R652-4.
A large scale screen for neural stem cell markers in Xenopus retina. , Parain K , Mazurier N, Bronchain O , Borday C, Cabochette P, Chesneau A, Colozza G , El Yakoubi W, Hamdache J, Locker M , Gilchrist MJ , Pollet N , Perron M ., Dev Neurobiol. April 1, 2012; 72 (4): 491-506.