Click here to close Hello! We notice that you are using Internet Explorer, which is not supported by Xenbase and may cause the site to display incorrectly. We suggest using a current version of Chrome, FireFox, or Safari.

Profile Publications (7)
XB-PERS-2940

Publications By Ines Hoffmann

???pagination.result.count???

???pagination.result.page??? 1


Polo-like kinase-2 is required for centriole duplication in mammalian cells., Warnke S, Kemmler S, Hames RS, Tsai HL, Hoffmann-Rohrer U, Fry AM, Hoffmann I., Curr Biol. July 13, 2004; 14 (13): 1200-7.


Molecular analysis of two closely related mouse aldehyde dehydrogenase genes: identification of a role for Aldh1, but not Aldh-pb, in the biosynthesis of retinoic acid., Hsu LC, Chang WC, Hoffmann I, Duester G., Biochem J. April 15, 1999; 339 ( Pt 2) 387-95.


Distinct functions for Aldh1 and Raldh2 in the control of ligand production for embryonic retinoid signaling pathways., Haselbeck RJ, Hoffmann I, Duester G., Dev Genet. January 1, 1999; 25 (4): 353-64.


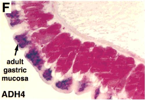
Alcohol dehydrogenases in Xenopus development: conserved expression of ADH1 and ADH4 in epithelial retinoid target tissues., Hoffmann I, Ang HL, Duester G., Dev Dyn. November 1, 1998; 213 (3): 261-70.   


Dephosphorylation of cdc25-C by a type-2A protein phosphatase: specific regulation during the cell cycle in Xenopus egg extracts., Clarke PR, Hoffmann I, Draetta G, Karsenti E., Mol Biol Cell. April 1, 1993; 4 (4): 397-411.


Phosphorylation and activation of human cdc25-C by cdc2--cyclin B and its involvement in the self-amplification of MPF at mitosis., Hoffmann I, Clarke PR, Marcote MJ, Karsenti E, Draetta G., EMBO J. January 1, 1993; 12 (1): 53-63.


3 processing of histone RNA precursors., Vasserot AP, Hoffmann I, Tabiti K, Birnstiel ML., Mol Biol Rep. January 1, 1990; 14 (2-3): 211-2.

???pagination.result.page??? 1