Click here to close Hello! We notice that you are using Internet Explorer, which is not supported by Xenbase and may cause the site to display incorrectly. We suggest using a current version of Chrome, FireFox, or Safari.

Profile Publications (6)
XB-PERS-2843

Publications By Roger S Bradley

???pagination.result.count???

???pagination.result.page??? 1


The voltage sensing phosphatase (VSP) localizes to the apical membrane of kidney tubule epithelial cells., Ratzan W, Rayaprolu V, Killian SE, Bradley R, Kohout SC., PLoS One. January 1, 2019; 14 (4): e0209056.   


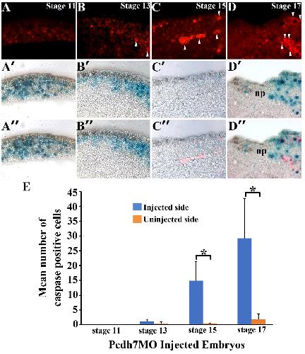
Neural crest development in Xenopus requires Protocadherin 7 at the lateral neural crest border., Bradley RS., Mech Dev. February 1, 2018; 149 41-52.   


NF-protocadherin and TAF1 regulate retinal axon initiation and elongation in vivo., Piper M, Dwivedy A, Leung L, Bradley RS, Holt CE., J Neurosci. January 2, 2008; 28 (1): 100-5.   


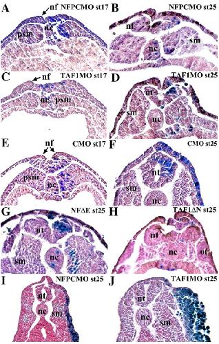
A requirement for NF-protocadherin and TAF1/Set in cell adhesion and neural tube formation., Rashid D, Newell K, Shama L, Bradley R., Dev Biol. March 1, 2006; 291 (1): 170-81.   


The cytoplasmic domain of Xenopus NF-protocadherin interacts with TAF1/set., Heggem MA, Bradley RS., Dev Cell. March 1, 2003; 4 (3): 419-29.   


NF-protocadherin, a novel member of the cadherin superfamily, is required for Xenopus ectodermal differentiation., Bradley RS, Espeseth A, Kintner C., Curr Biol. March 12, 1998; 8 (6): 325-34.   

???pagination.result.page??? 1