Click here to close Hello! We notice that you are using Internet Explorer, which is not supported by Xenbase and may cause the site to display incorrectly. We suggest using a current version of Chrome, FireFox, or Safari.

Profile Publications (9)
XB-PERS-2642

Publications By Luciana Dente

???pagination.result.count???

???pagination.result.page??? 1


pdzrn3 is required for pronephros morphogenesis in Xenopus laevis., Marracci S, Vangelisti A, Raffa V, Andreazzoli M, Dente L., Int J Dev Biol. January 1, 2016; 60 (1-3): 57-63.   


Comparative expression analysis of pfdn6a and tcp1α during Xenopus development., Marracci S, Martini D, Giannaccini M, Giudetti G, Dente L, Andreazzoli M., Int J Dev Biol. January 1, 2015; 59 (4-6): 235-40.   


Non-mammalian vertebrate embryos as models in nanomedicine., Giannaccini M, Cuschieri A, Dente L, Raffa V., Nanomedicine. May 1, 2014; 10 (4): 703-19.


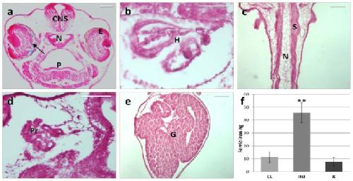
Magnetic nanoparticles as intraocular drug delivery system to target retinal pigmented epithelium (RPE)., Giannaccini M, Giannini M, Calatayud MP, Goya GF, Cuschieri A, Dente L, Raffa V., Int J Mol Sci. January 22, 2014; 15 (1): 1590-605.   


Kidins220/ARMS is dynamically expressed during Xenopus laevis development., Marracci S, Giannini M, Vitiello M, Andreazzoli M, Dente L., Int J Dev Biol. January 1, 2013; 57 (9-10): 787-92.   


Dystroglycan is required for proper retinal layering., Lunardi A, Cremisi F, Dente L., Dev Biol. February 15, 2006; 290 (2): 411-20.   


Molecular cloning and expression analysis of dystroglycan during Xenopus laevis embryogenesis., Lunardi A, Dente L., Mech Dev. December 1, 2002; 119 Suppl 1 S49-54.   


Common and interchangeable elements in the promoters of genes transcribed by RNA polymerase iii., Ciliberto G, Raugei G, Costanzo F, Dente L, Cortese R., Cell. March 1, 1983; 32 (3): 725-33.


A prokaryotic tRNATyr gene, inactive in Xenopus laevis oocytes, is activated by recombination with an eukaryotic tRNAPro gene., Dente L, Fasano O, Costanzo F, Traboni C, Ciliberto G, Cortese R., EMBO J. January 1, 1982; 1 (7): 817-20.

???pagination.result.page??? 1