Click here to close Hello! We notice that you are using Internet Explorer, which is not supported by Xenbase and may cause the site to display incorrectly. We suggest using a current version of Chrome, FireFox, or Safari.

Profile Publications (8)
XB-PERS-2605

Publications By Alexander M. Schreiber

???pagination.result.count???

???pagination.result.page??? 1


Lessons From Tadpoles on the Physiological Roles of Corticosteroids., Schreiber AM., Endocrinology. January 9, 2023; 164 (3):


Visualizing and quantifying the suppressive effects of glucocorticoids on the tadpole immune system in vivo., Schreiber AM., Adv Physiol Educ. December 1, 2011; 35 (4): 445-53.


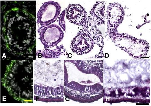
Cell-cell interactions during remodeling of the intestine at metamorphosis in Xenopus laevis., Schreiber AM, Mukhi S, Brown DD., Dev Biol. July 1, 2009; 331 (1): 89-98.   


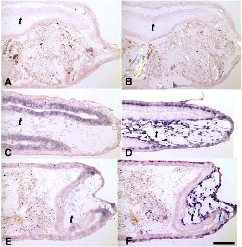
Thyroid hormone controls multiple independent programs required for limb development in Xenopus laevis metamorphosis., Brown DD, Cai L, Das B, Marsh-Armstrong N, Schreiber AM, Juste R., Proc Natl Acad Sci U S A. August 30, 2005; 102 (35): 12455-8.   


Remodeling of the intestine during metamorphosis of Xenopus laevis., Schreiber AM, Cai L, Brown DD., Proc Natl Acad Sci U S A. March 8, 2005; 102 (10): 3720-5.   


Tadpole skin dies autonomously in response to thyroid hormone at metamorphosis., Schreiber AM, Brown DD., Proc Natl Acad Sci U S A. February 18, 2003; 100 (4): 1769-74.   


Multiple thyroid hormone-induced muscle growth and death programs during metamorphosis in Xenopus laevis., Das B, Schreiber AM, Huang H, Brown DD., Proc Natl Acad Sci U S A. September 17, 2002; 99 (19): 12230-5.   


Diverse developmental programs of Xenopus laevis metamorphosis are inhibited by a dominant negative thyroid hormone receptor., Schreiber AM, Das B, Huang H, Marsh-Armstrong N, Brown DD., Proc Natl Acad Sci U S A. September 11, 2001; 98 (19): 10739-44.

???pagination.result.page??? 1