|
XB-PERS-2584
Publications By Steven A Vokes
???pagination.result.count??????pagination.result.page??? 1
|
A role for the RNA-binding protein, hermes, in the regulation of heart development., Gerber WV, Vokes SA, Zearfoss NR, Krieg PA., Dev Biol. July 1, 2002; 247 (1): 116-26. |
|
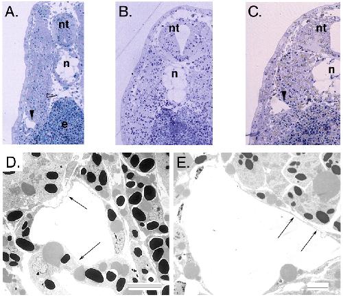
Endoderm is required for vascular endothelial tube formation, but not for angioblast specification., Vokes SA, Krieg PA., Development. February 1, 2002; 129 (3): 775-85. |
|
Developmental expression of the Xenopus Iroquois-family homeobox genes, Irx4 and Irx5., Garriock RJ, Vokes SA, Small EM, Larson R, Krieg PA., Dev Genes Evol. May 1, 2001; 211 (5): 257-60. |
|
Developmental expression of the Xenopus Nkx2-1 and Nkx2-4 genes., Small EM, Vokes SA, Garriock RJ, Li D, Krieg PA., Mech Dev. September 1, 2000; 96 (2): 259-62. |
|
Gdf16, a novel member of the growth/differentiation factor subgroup of the TGF-beta superfamily, is expressed in the hindbrain and epibranchial placodes., Vokes SA, Krieg PA., Mech Dev. July 1, 2000; 95 (1-2): 279-82. |
???pagination.result.page??? 1
