Click here to close Hello! We notice that you are using Internet Explorer, which is not supported by Xenbase and may cause the site to display incorrectly. We suggest using a current version of Chrome, FireFox, or Safari.

Profile Publications (33)
XB-PERS-2569

Publications By Klaus Richter

???pagination.result.count???

???pagination.result.page??? 1


Pharmacological profiles and anti-inflammatory activity of pCN-diEPP and mCN-diEPP, new alpha9alpha10 nicotinic receptor ligands., Richter K, Herz SM, Stokes C, Damaj MI, Grau V, Papke RL., Neuropharmacology. December 1, 2023; 240 109717.


SLPI Inhibits ATP-Mediated Maturation of IL-1β in Human Monocytic Leukocytes: A Novel Function of an Old Player., Zakrzewicz A, Richter K, Zakrzewicz D, Siebers K, Damm J, Agné A, Hecker A, McIntosh JM, Chamulitrat W, Krasteva-Christ G, Manzini I, Tikkanen R, Padberg W, Janciauskiene S, Grau V., Front Immunol. April 4, 2019; 10 664.   


Electrophysiological characterization of a large set of novel variants in the SCN5A-gene: identification of novel LQTS3 and BrS mutations., Ortiz-Bonnin B, Rinné S, Moss R, Streit AK, Scharf M, Richter K, Stöber A, Pfeufer A, Seemann G, Kääb S, Beckmann BM, Decher N., Pflugers Arch. August 1, 2016; 468 (8): 1375-87.


Hydrostatic pressure activates ATP-sensitive K+ channels in lung epithelium by ATP release through pannexin and connexin hemichannels., Richter K, Kiefer KP, Grzesik BA, Clauss WG, Fronius M., FASEB J. January 1, 2014; 28 (1): 45-55.


Evidence for basolateral Cl- channels as modulators of apical Cl- secretion in pulmonary epithelia of Xenopus laevis., Berger J, Richter K, Clauss WG, Fronius M., Am J Physiol Regul Integr Comp Physiol. March 1, 2011; 300 (3): R616-23.


Decreased renal organic anion secretion and plasma accumulation of endogenous organic anions in OAT1 knock-out mice., Eraly SA, Vallon V, Vaughn DA, Gangoiti JA, Richter K, Nagle M, Monte JC, Rieg T, Truong DM, Long JM, Barshop BA, Kaler G, Nigam SK., J Biol Chem. February 24, 2006; 281 (8): 5072-83.


Characterization of nuclear compartments identified by ectopic markers in mammalian cells with distinctly different karyotype., Scheuermann MO, Murmann AE, Richter K, Görisch SM, Herrmann H, Lichter P., Chromosoma. May 1, 2005; 114 (1): 39-53.


Characterization of a nuclear compartment shared by nuclear bodies applying ectopic protein expression and correlative light and electron microscopy., Richter K, Reichenzeller M, Görisch SM, Schmidt U, Scheuermann MO, Herrmann H, Lichter P., Exp Cell Res. February 1, 2005; 303 (1): 128-37.


Impaired renal Na(+) retention in the sgk1-knockout mouse., Wulff P, Vallon V, Huang DY, Völkl H, Yu F, Richter K, Jansen M, Schlünz M, Klingel K, Loffing J, Kauselmann G, Bösl MR, Lang F, Kuhl D., J Clin Invest. November 1, 2002; 110 (9): 1263-8.


A Shaker homologue encodes an A-type current in Xenopus laevis., Kerschbaum HH, Grissmer S, Engel E, Richter K, Lehner C, Jäger H., Brain Res. February 8, 2002; 927 (1): 55-68.


Expression pattern of XIRG, a marker for non-neural ectoderm., Schmidt G, Richter K., Dev Genes Evol. November 1, 2000; 210 (11): 575-8.


Anterior specification of embryonic ectoderm: the role of the Xenopus cement gland-specific gene XAG-2., Aberger F, Weidinger G, Grunz H, Richter K., Mech Dev. March 1, 1998; 72 (1-2): 115-30.   


A retinoid-binding lipocalin, Xlcpl1, relevant for embryonic pattern formation is expressed in the nervous system of Xenopus laevis., Lepperdinger G, Engel E, Richter K., Dev Genes Evol. August 1, 1997; 207 (3): 177-185.   


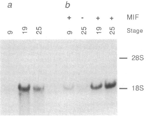
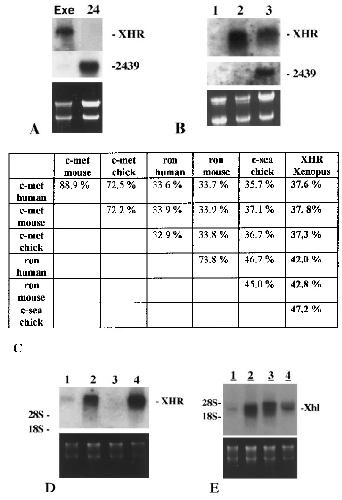
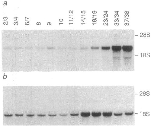
A member of the Met/HGF-receptor family is expressed in a BMP-4-like pattern in the ectoderm of Xenopus gastrulae., Aberger F, Weidinger G, Richter K., Biochem Biophys Res Commun. February 3, 1997; 231 (1): 191-5.   


B-50/growth-associated protein-43, a marker of neural development in Xenopus laevis., Schrama LH, Lepperdinger G, Moritz A, van den Engel NK, Marquart A, Oestreicher AB, Eggen BJ, Hage WJ, Richter K, Destrée OH., Neuroscience. January 1, 1997; 76 (2): 635-52.


The Xenopus homologue of hepatocyte growth factor-like protein is specifically expressed in the presumptive neural plate during gastrulation., Aberger F, Schmidt G, Richter K., Mech Dev. January 1, 1996; 54 (1): 23-37.   


The role of vertical and planar signals during the early steps of neural induction., Grunz H, Schüren C, Richter K., Int J Dev Biol. June 1, 1995; 39 (3): 539-43.   


Cutting artefacts on ultrathin cryosections of biological bulk specimens., Richter K., Micron. January 1, 1994; 25 (4): 297-308.


Isolation and sequence of a cDNA encoding the precursor of a bombesinlike peptide from brain and early embryos of Xenopus laevis., Wechselberger C, Kreil G, Richter K., Proc Natl Acad Sci U S A. October 15, 1992; 89 (20): 9819-22.   


A cDNA from brain of Xenopus laevis coding for a new precursor of thyrotropin-releasing hormone., Bulant M, Richter K, Kuchler K, Kreil G., FEBS Lett. January 27, 1992; 296 (3): 292-6.


Processing, intracellular transport, and functional expression of endogenous and exogenous alpha-beta 3 Na,K-ATPase complexes in Xenopus oocytes., Jaunin P, Horisberger JD, Richter K, Good PJ, Rossier BC, Geering K., J Biol Chem. January 5, 1992; 267 (1): 577-85.


Localization of a nervous system-specific class II beta-tubulin gene in Xenopus laevis embryos by whole-mount in situ hybridization., Oschwald R, Richter K, Grunz H., Int J Dev Biol. December 1, 1991; 35 (4): 399-405.   


A nervous system-specific isotype of the beta subunit of Na+,K(+)-ATPase expressed during early development of Xenopus laevis., Good PJ, Richter K, Dawid IB., Proc Natl Acad Sci U S A. December 1, 1990; 87 (23): 9088-92.   


Two precursors of thyrotropin-releasing hormone from skin of Xenopus laevis. Each contains seven copies of the end product., Kuchler K, Richter K, Trnovsky J, Egger R, Kreil G., J Biol Chem. July 15, 1990; 265 (20): 11731-3.


A developmentally regulated, nervous system-specific gene in Xenopus encodes a putative RNA-binding protein., Richter K, Good PJ, Dawid IB., New Biol. June 1, 1990; 2 (6): 556-65.


The sequence of a nervous system-specific, class II beta-tubulin gene from Xenopus laevis., Good PJ, Richter K, Dawid IB., Nucleic Acids Res. October 11, 1989; 17 (19): 8000.


Gene expression in the embryonic nervous system of Xenopus laevis., Richter K, Grunz H, Dawid IB., Proc Natl Acad Sci U S A. November 1, 1988; 85 (21): 8086-90.   


Xenopus endo B is a keratin preferentially expressed in the embryonic notochord., LaFlamme SE, Jamrich M, Richter K, Sargent TD, Dawid IB., Genes Dev. July 1, 1988; 2 (7): 853-62.   


Conserved exon-intron organization in two different caerulein precursor genes of Xenopus laevis. Additional detection of an exon potentially coding for a new peptide., Vlasak R, Wiborg O, Richter K, Burgschwaiger S, Vuust J, Kreil G., Eur J Biochem. November 16, 1987; 169 (1): 53-8.


Sequence of preprocaerulein cDNAs cloned from skin of Xenopus laevis. A small family of precursors containing one, three, or four copies of the final product., Richter K, Egger R, Kreil G., J Biol Chem. March 15, 1986; 261 (8): 3676-80.


Biosynthesis of peptides in the skin of Xenopus laevis: isolation of novel peptides predicted from the sequence of cloned cDNAs., Richter K, Aschauer H, Kreil G., Peptides. January 1, 1985; 6 Suppl 3 17-21.


Biosynthesis of thyrotropin releasing hormone in the skin of Xenopus laevis: partial sequence of the precursor deduced from cloned cDNA., Richter K, Kawashima E, Egger R, Kreil G., EMBO J. March 1, 1984; 3 (3): 617-21.


A novel peptide designated PYLa and its precursor as predicted from cloned mRNA of Xenopus laevis skin., Hoffmann W, Richter K, Kreil G., EMBO J. January 1, 1983; 2 (5): 711-4.

???pagination.result.page??? 1