Click here to close Hello! We notice that you are using Internet Explorer, which is not supported by Xenbase and may cause the site to display incorrectly. We suggest using a current version of Chrome, FireFox, or Safari.

Profile Publications (11)
XB-PERS-2553

Publications By Joachim Wittbrodt

???pagination.result.count???

???pagination.result.page??? 1


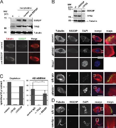
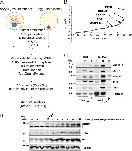
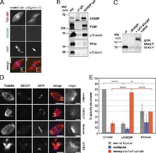
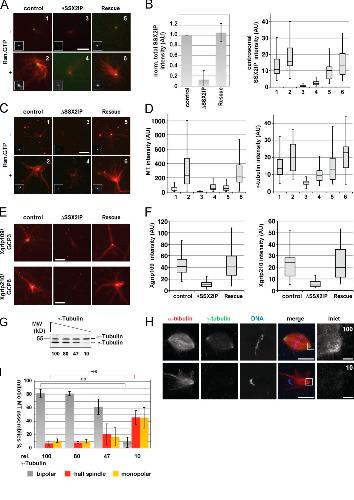
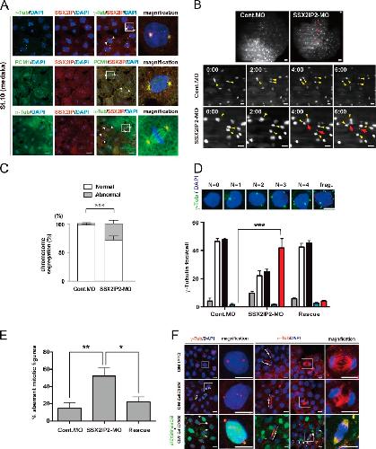
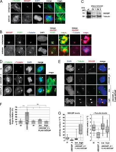
The centriolar satellite protein SSX2IP promotes centrosome maturation., Bärenz F, Inoue D, Yokoyama H, Tegha-Dunghu J, Freiss S, Draeger S, Mayilo D, Cado I, Merker S, Klinger M, Hoeckendorf B, Pilz S, Hupfeld K, Steinbeisser H, Lorenz H, Ruppert T, Wittbrodt J, Gruss OJ., J Cell Biol. July 8, 2013; 202 (1): 81-95.   


Quantitative analysis of embryogenesis: a perspective for light sheet microscopy., Höckendorf B, Thumberger T, Wittbrodt J., Dev Cell. December 11, 2012; 23 (6): 1111-20.


GSD: a genetic screen database., Henrich T, Ramialison M, Segerdell E, Westerfield M, Furutani-Seiki M, Wittbrodt J, Kondoh H., Mech Dev. July 1, 2004; 121 (7-8): 959-63.


The homeobox gene Xbh1 cooperates with proneural genes to specify ganglion cell fate within the Xenopus neural retina., Poggi L, Vottari T, Barsacchi G, Wittbrodt J, Vignali R., Development. May 1, 2004; 131 (10): 2305-15.   


Direct interaction of geminin and Six3 in eye development., Del Bene F, Tessmar-Raible K, Wittbrodt J., Nature. February 19, 2004; 427 (6976): 745-9.


Loss of maternal Smad5 in zebrafish embryos affects patterning and morphogenesis of optic primordia., Hammerschmidt M, Kramer C, Nowak M, Herzog W, Wittbrodt J., Dev Dyn. May 1, 2003; 227 (1): 128-33.


Six3 and Six6 activity is modulated by members of the groucho family., López-Ríos J, Tessmar K, Loosli F, Wittbrodt J, Bovolenta P., Development. January 1, 2003; 130 (1): 185-95.


A screen for co-factors of Six3., Tessmar K, Loosli F, Wittbrodt J., Mech Dev. September 1, 2002; 117 (1-2): 103-13.   


The midbrain-hindbrain boundary genetic cascade is activated ectopically in the diencephalon in response to the widespread expression of one of its components, the medaka gene Ol-eng2., Ristoratore F, Carl M, Deschet K, Richard-Parpaillon L, Boujard D, Wittbrodt J, Chourrout D, Bourrat F, Joly JS., Development. September 1, 1999; 126 (17): 3769-79.


Ectopic lens induction in fish in response to the murine homeobox gene Six3., Oliver G, Loosli F, Köster R, Wittbrodt J, Gruss P., Mech Dev. December 1, 1996; 60 (2): 233-9.


Disruption of mesoderm and axis formation in fish by ectopic expression of activin variants: the role of maternal activin., Wittbrodt J, Rosa FM., Genes Dev. June 15, 1994; 8 (12): 1448-62.

???pagination.result.page??? 1