Click here to close Hello! We notice that you are using Internet Explorer, which is not supported by Xenbase and may cause the site to display incorrectly. We suggest using a current version of Chrome, FireFox, or Safari.

Profile Publications (22)
XB-PERS-2449

Publications By Sangwoo Shim

???pagination.result.count???

???pagination.result.page??? 1


Motorless transport of microtubules along tubulin, RanGTP, and salt gradients., Shim S, Gouveia B, Ramm B, Valdez VA, Petry S, Stone HA., Nat Commun. November 1, 2024; 15 (1): 9434.   


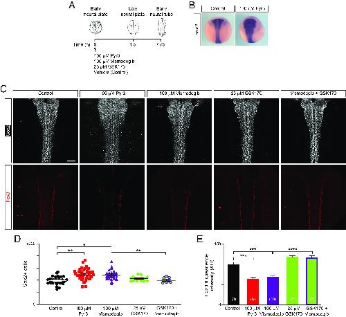
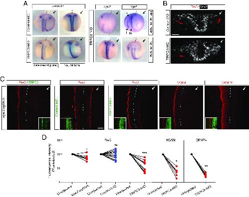
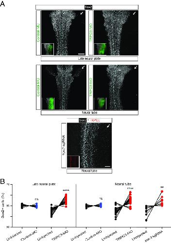
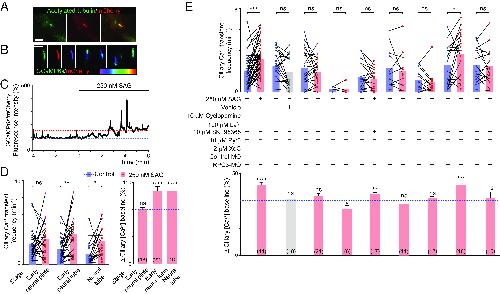
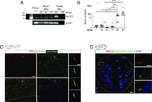
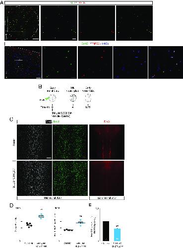
Calcium dynamics at the neural cell primary cilium regulate Hedgehog signaling-dependent neurogenesis in the embryonic neural tube., Shim S, Goyal R, Panoutsopoulos AA, Balashova OA, Lee D, Borodinsky LN., Proc Natl Acad Sci U S A. June 6, 2023; 120 (23): e2220037120.   


Signal amplification in growth cone gradient sensing by a double negative feedback loop among PTEN, PI(3,4,5)P3 and actomyosin., Li X, Shim S, Hardin KR, Vanaja KG, Song H, Levchenko A, Ming GL, Zheng JQ., Mol Cell Neurosci. December 1, 2022; 123 103772.


Growth at Cold Temperature Increases the Number of Motor Neurons to Optimize Locomotor Function., Spencer KA, Belgacem YH, Visina O, Shim S, Genus H, Borodinsky LN., Curr Biol. June 3, 2019; 29 (11): 1787-1799.e5.   


Spatiotemporal integration of developmental cues in neural development., Borodinsky LN, Belgacem YH, Swapna I, Visina O, Balashova OA, Sequerra EB, Tu MK, Levin JB, Spencer KA, Castro PA, Hamilton AM, Shim S., Dev Neurobiol. April 1, 2015; 75 (4): 349-59.   


A critical role for STIM1 in filopodial calcium entry and axon guidance., Shim S, Zheng JQ, Ming GL., Mol Brain. December 1, 2013; 6 51.   


Dynamic localization of G-actin during membrane protrusion in neuronal motility., Lee CW, Vitriol EA, Shim S, Wise AL, Velayutham RP, Zheng JQ., Curr Biol. June 17, 2013; 23 (12): 1046-56.


Targeting protein for xenopus kinesin-like protein 2 (TPX2) regulates γ-histone 2AX (γ-H2AX) levels upon ionizing radiation., Neumayer G, Helfricht A, Shim SY, Le HT, Lundin C, Belzil C, Chansard M, Yu Y, Lees-Miller SP, Gruss OJ, van Attikum H, Helleday T, Nguyen MD., J Biol Chem. December 7, 2012; 287 (50): 42206-22.


Postsynaptic TRPC1 function contributes to BDNF-induced synaptic potentiation at the developing neuromuscular junction., McGurk JS, Shim S, Kim JY, Wen Z, Song H, Ming GL., J Neurosci. October 12, 2011; 31 (41): 14754-62.   


Peptidyl-prolyl isomerase FKBP52 controls chemotropic guidance of neuronal growth cones via regulation of TRPC1 channel opening., Shim S, Yuan JP, Kim JY, Zeng W, Huang G, Milshteyn A, Kern D, Muallem S, Ming GL, Worley PF., Neuron. November 25, 2009; 64 (4): 471-83.


A microfluidics-based turning assay reveals complex growth cone responses to integrated gradients of substrate-bound ECM molecules and diffusible guidance cues., Joanne Wang C, Li X, Lin B, Shim S, Ming GL, Levchenko A., Lab Chip. February 1, 2008; 8 (2): 227-37.


Identification and expression of XRTN1-A and XRTN1-C in Xenopus laevis., Park EC, Shim S, Han JK., Dev Dyn. December 1, 2007; 236 (12): 3545-53.   


BMP gradients steer nerve growth cones by a balancing act of LIM kinase and Slingshot phosphatase on ADF/cofilin., Wen Z, Han L, Bamburg JR, Shim S, Ming GL, Zheng JQ., J Cell Biol. July 2, 2007; 178 (1): 107-19.   


Isolation of Xenopus FGF-8b and comparison with FGF-8a., Shim S, Bae N, Park SY, Kim WS, Han JK., Mol Cells. June 30, 2005; 19 (3): 310-7.


XTRPC1-dependent chemotropic guidance of neuronal growth cones., Shim S, Goh EL, Ge S, Sailor K, Yuan JP, Roderick HL, Bootman MD, Worley PF, Song H, Ming GL., Nat Neurosci. June 1, 2005; 8 (6): 730-5.


Identification and expression of XRTN2 and XRTN3 during Xenopus development., Park EC, Shim S, Han JK., Dev Dyn. May 1, 2005; 233 (1): 240-7.   


A putative Xenopus Rho-GTPase activating protein (XrGAP) gene is expressed in the notochord and brain during the early embryogenesis., Kim J, Shim S, Choi SC, Han JK., Gene Expr Patterns. May 1, 2003; 3 (2): 219-23.   


Bone morphogenetic protein-4-induced activation of Xretpos is mediated by Smads and Olf-1/EBF associated zinc finger (OAZ)., Shim S, Bae N, Han JK., Nucleic Acids Res. July 15, 2002; 30 (14): 3107-17.   


A novel family of retrotransposons in Xenopus with a developmentally regulated expression., Shim S, Lee SK, Han JK., Genesis. March 1, 2000; 26 (3): 198-207.   


A novel gene family with a developmentally regulated expression in Xenopus laevis., Shim S, Yoon CS, Han JK., Biochem Biophys Res Commun. January 19, 2000; 267 (2): 558-64.


Different signaling pathway between sphingosine-1-phosphate and lysophosphatidic acid in Xenopus oocytes: functional coupling of the sphingosine-1-phosphate receptor to PLC-xbeta in Xenopus oocytes., Noh SJ, Kim MJ, Shim S, Han JK., J Cell Physiol. August 1, 1998; 176 (2): 412-23.


Identification and expression study of a Xenopus homologue of prenylated SNARE gene., Park HS, Kim M, Shim S, Han JK., Biochem Biophys Res Commun. July 20, 1998; 248 (2): 235-9.   

???pagination.result.page??? 1