|
XB-PERS-2269
Publications By Jacqueline van der Wees
???pagination.result.count??????pagination.result.page??? 1
|
Graded retinoid responses in the developing hindbrain., Godsave SF, Koster CH, Getahun A, Mathu M, Hooiveld M, van der Wees J, Hendriks J, Durston AJ., Dev Dyn. September 1, 1998; 213 (1): 39-49. |
|
Inhibition of retinoic acid receptor-mediated signalling alters positional identity in the developing hindbrain., van der Wees J, Schilthuis JG, Koster CH, Diesveld-Schipper H, Folkers GE, van der Saag PT, Dawson MI, Shudo K, van der Burg B, Durston AJ., Development. February 1, 1998; 125 (3): 545-56. |
|
Retinoid signalling and axial patterning during early vertebrate embryogenesis., Durston AJ, van der Wees J, Pijnappel WW, Schilthuis JG, Godsave SF., Cell Mol Life Sci. April 1, 1997; 53 (4): 339-49. |
|
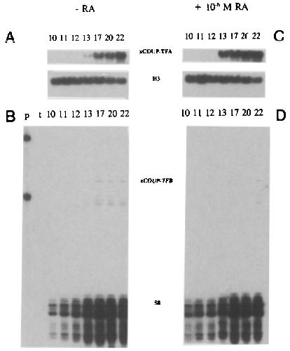
Developmental expression and differential regulation by retinoic acid of Xenopus COUP-TF-A and COUP-TF-B., van der Wees J, Matharu PJ, de Roos K, Destrée OH, Godsave SF, Durston AJ, Sweeney GE., Mech Dev. February 1, 1996; 54 (2): 173-84. |
???pagination.result.page??? 1
