Click here to close Hello! We notice that you are using Internet Explorer, which is not supported by Xenbase and may cause the site to display incorrectly. We suggest using a current version of Chrome, FireFox, or Safari.

Profile Publications (11)
XB-PERS-2256

Publications By Malcolm Moos

???pagination.result.count???

???pagination.result.page??? 1


SMOC can act as both an antagonist and an expander of BMP signaling., Thomas JT, Eric Dollins D, Andrykovich KR, Chu T, Stultz BG, Hursh DA, Moos M., Elife. March 21, 2017; 6   


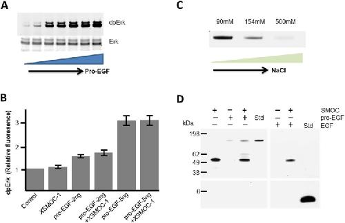
SMOC Binds to Pro-EGF, but Does Not Induce Erk Phosphorylation via the EGFR., Thomas JT, Chhuy-Hy L, Andrykovich KR, Moos M., PLoS One. April 21, 2016; 11 (4): e0154294.   


A homolog of Subtilisin-like Proprotein Convertase 7 is essential to anterior neural development in Xenopus., Senturker S, Thomas JT, Mateshaytis J, Moos M., PLoS One. January 1, 2012; 7 (6): e39380.   


Xenopus SMOC-1 Inhibits bone morphogenetic protein signaling downstream of receptor binding and is essential for postgastrulation development in Xenopus., Thomas JT, Canelos P, Luyten FP, Moos M., J Biol Chem. July 10, 2009; 284 (28): 18994-9005.   


Vg1 has specific processing requirements that restrict its action to body axis patterning centers., Thomas JT, Moos M., Dev Biol. October 1, 2007; 310 (1): 129-39.   


CDMP1/GDF5 has specific processing requirements that restrict its action to joint surfaces., Thomas JT, Prakash D, Weih K, Moos M., J Biol Chem. September 8, 2006; 281 (36): 26725-33.   


A novel Xenopus homologue of bone morphogenetic protein-7 (BMP-7)., Wang S, Krinks M, Kleinwaks L, Moos M., Genes Funct. November 1, 1997; 1 (4): 259-71.


The cysteine-rich frizzled domain of Frzb-1 is required and sufficient for modulation of Wnt signaling., Lin K, Wang S, Julius MA, Kitajewski J, Moos M, Luyten FP., Proc Natl Acad Sci U S A. October 14, 1997; 94 (21): 11196-200.


Frzb-1, an antagonist of Wnt-1 and Wnt-8, does not block signaling by Wnts -3A, -5A, or -11., Wang S, Krinks M, Moos M., Biochem Biophys Res Commun. July 18, 1997; 236 (2): 502-4.


Frzb, a secreted protein expressed in the Spemann organizer, binds and inhibits Wnt-8., Wang S, Krinks M, Lin K, Luyten FP, Moos M., Cell. March 21, 1997; 88 (6): 757-66.   


Anti-dorsalizing morphogenetic protein is a novel TGF-beta homolog expressed in the Spemann organizer., Moos M, Wang S, Krinks M., Development. December 1, 1995; 121 (12): 4293-301.   

???pagination.result.page??? 1